Diseases & Conditions
Rheumatoid Arthritis of the Foot and Ankle
Rheumatoid arthritis is a chronic disease that attacks multiple joints throughout the body. It most often starts in the small joints of the hands and feet, and usually affects the same joints on both sides of the body.
More than 90% of people with rheumatoid arthritis (RA) develop symptoms in the foot and ankle over the course of the disease.
Description
Rheumatoid arthritis is an autoimmune disease. This means that the immune system attacks its own tissues. In RA, the defenses that protect the body from infection instead damage normal tissue (such as cartilage and ligaments) and soften bone.
How It Happens
The joints of your body are covered with a lining — called synovium — that lubricates the joint and makes it easier to move. Rheumatoid arthritis causes an overactivity of this lining. It swells and becomes inflamed, damaging the cartilage and destroying the joint, as well as the ligaments and other tissues that support it.
Weakened ligaments can cause joint deformities — such as claw toe or hammer toe. Softening of the bone (osteopenia) can result in stress fractures and collapse of bone.
Rheumatoid arthritis is not an isolated disease of the bones and joints. It affects tissues throughout the body, causing damage to the blood vessels, nerves, and tendons. Deformities of the hands and feet are the more obvious signs of RA. In about 20% of patients, foot and ankle symptoms are the first signs of the disease.
Statistics
- Rheumatoid arthritis affects approximately 1% of the population.
- Women are affected 3 times more often than men.
- Symptoms most commonly develop between the ages of 40 and 60 years.
Cause
The exact cause of RA is not known. There may be a genetic reason — meaning some people may be more likely to develop the disease because of family heredity. However, doctors suspect that it takes a chemical or environmental "trigger" to activate the disease in people who inherit RA.
Symptoms
- The most common symptoms are pain, swelling, and stiffness.
- Unlike osteoarthritis, which typically affects one specific joint, symptoms of RA usually appear in both feet, affecting the same joints on each foot.
Ankle
- Difficulty with inclines (ramps) and stairs are the early signs of ankle involvement.
- As the disease progresses, simple walking and standing can become painful.
Hindfoot (Heel Region of the Foot)
The main function of the hindfoot is to perform the side-to-side motion of the foot.
- Difficulty walking on uneven ground, grass, or gravel are the initial signs.
- Pain is common just beneath the fibula (the smaller lower leg bone) on the outside of the foot.
- As the disease progresses, the alignment of the foot may shift as the bones move out of their normal positions. This can result in a flatfoot deformity. You may feel pain and discomfort along the posterior tibial tendon (the main tendon that supports the arch) on the inside of the ankle, or on the outside of the ankle beneath the fibula.
Midfoot (Top of the Foot)
With RA, the ligaments that support the midfoot become weakened and the arch collapses.
- With loss of the arch, the foot commonly collapses and the front of the foot points outward.
- RA also damages the cartilage, causing arthritic pain that is present with or without shoes.
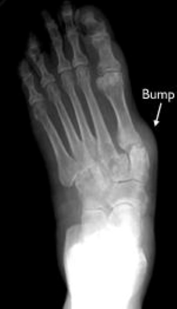
- Over time, the shape of the foot can change because the structures that support it degenerate. This can create a large bony prominence (bump) on the arch. All of these changes in the shape of the foot can make it very difficult to wear shoes.
Forefoot (Toes and Ball of the Foot)
The changes that occur to the front of the foot are unique to patients with RA. These problems include:
Although each individual deformity is common, it is the combination of deformities that compounds the problem.
- The bunion is typically severe, and the big toe commonly crosses over the second toe.
- There can also be very painful bumps on the ball of the foot, creating calluses. The bumps develop when bones in the middle of the foot (midfoot) are pushed down from joint dislocations in the toes. The dislocations of the lesser toes (toes 2 through 5) cause them to become very prominent on the top of the foot. This creates claw toes and makes it very difficult to wear shoes. In severe situations, ulcers can form from the abnormal pressure.
Doctor Examination
Medical History and Physical Examination
After listening to your symptoms and discussing your general health and medical history, your doctor will examine your foot and ankle.
Skin. The location of callouses indicate areas of abnormal pressure on the foot. The most common location is on the ball of the foot (the underside of the forefoot). If the middle of the foot is involved, there may be a large prominence (bump) on the inside and bottom of the foot. This can cause callouses.
Foot shape. Your doctor will look for specific deformities, such as bunions, claw toes, and flat feet.
Flexibility. In the early stages of RA, the joints will typically still have movement. As arthritis progresses and there is more loss of cartilage, the joints become very stiff. Whether there is motion within the joints will influence treatment options.
Tenderness. Although applying pressure to an already sensitive foot can be very uncomfortable, it is critical for your doctor to identify the areas of the foot and ankle that are causing the pain. By applying gentle pressure to specific joints, your doctor can determine which joints have symptoms and need treatment. The areas on the X-ray that look abnormal are not always the same ones that are causing the pain.
Imaging Tests
Other tests that your doctor may order to help confirm your diagnosis include:
X-rays. X-rays create images of dense structures, like bone, and they will show your doctor the position of the bones. The X-rays can be used by your doctor to make measurements of the alignment of the bones and joint spaces, which will help your doctor determine which surgery would be best.
Computerized tomography (CT) scan. When the deformity is severe, the shape of the foot can be abnormal enough to make it difficult to determine which joints have been affected and the extent of the disease. CT scans allow your doctor to more closely examine each joint for the presence of arthritis.
Magnetic resonance imaging (MRI) scan. An MRI scan will show the soft tissues in the foot, including the ligaments and tendons. Your doctor can use these images to determine whether the tendon is inflamed (tendinitis) or torn (ruptured).
Rheumatology Referral
If your doctor suspects RA, they may refer you to a rheumatologist. Although your symptoms and the results from a physical examination and tests may be consistent with RA, a rheumatologist will be able to determine the specific diagnosis. There are other less common types of inflammatory arthritis that will be considered.
Nonsurgical Treatment
Although there is no cure for RA, there are many treatment options available to help people manage pain, stay active, and lead fulfilling lives.
Rheumatoid arthritis is often treated by a team of healthcare professionals. These professionals may include rheumatologists, physical and occupational therapists, social workers, rehabilitation specialists, and orthopaedic surgeons.
Although orthopaedic treatment may relieve symptoms, it will not stop the disease from progressing (getting worse). Specific medicines called disease-modifying anti-rheumatic drugs (DMARDs) are designed to stop the immune system from destroying the joints. The appropriate use of these medications is directed by a rheumatologist.
Orthopaedic treatment of RA depends on the location of the pain and the extent of cartilage damage. Many patients will have some symptom relief with appropriate nonsurgical treatment.
Rest
Limiting or stopping activities that make the pain worse is the first step in minimizing the pain. Biking, elliptical training machines, and swimming are activities that allow patients to maintain their health without placing a large impact load on the foot.
Ice
Placing ice on the most painful area of the foot for 20 minutes is effective. This can be done 3 or 4 times a day. Ice application is best done right after you are done with a physical activity. Do not apply ice directly to your skin.
Nonsteroidal Anti-inflammatory Drugs (NSAIDs)
NSAIDs, such as ibuprofen or naproxen, reduce pain and inflammation. In patients with RA, the use of these types of medications should be reviewed with your rheumatologist or primary care doctor.
Orthotics
An orthotic (shoe insert) is a very effective tool to minimize the pressure from prominent bones in the foot.
It is important to note that the orthotic will not be able to correct the shape of your foot. The primary goal of wearing an orthotic is to minimize the pressure and decrease the pain and callous formation. This is more effective for deformity in the front and middle of the foot.
For people with RA, hard or rigid orthotics generally cause too much pressure on the bone prominences, creating more pain. A custom orthotic is generally made of softer material and relieves pressure on the foot.
Supportive Shoewear
Shoes that provide more support or have soles that are more rigid (not as flexible) will help protect the foot and ankle from bending forces while standing or walking.
Some people with RA will opt for softer, more flexible shoes because they are more comfortable initially; however, this type of shoewear generally will lead to greater pain throughout the day. A supportive shoe can be combined with an orthotic to relieve pressure on the foot.
Braces
A lace-up ankle brace can be an effective treatment for mild to moderate pain in the back of the foot and the ankle. The brace supports the joints of the back of the foot and ankle. In patients with a severe flatfoot or a very stiff arthritic ankle, a custom-molded plastic or leather brace is needed. The brace can be a very effective device for some patients, allowing them to avoid surgery.
Steroid Injection
An injection of cortisone into the affected joint can help in the early stages of the disease.
Although it will not stop or slow progression of the disease, a steroid injection helps to reduce inflammation within the joint. It may also have diagnostic value, helping your doctor determine some of the areas that may be causing you pain.
Surgical Treatment
Your doctor may recommend surgery depending on the extent of cartilage damage and your response to nonsurgical options.
Fusion. Fusion of the affected joints is the most common type of surgery performed for RA. Fusion takes the two bones that form a joint and fuses them together to make one bone.
During the surgery, the surgeon exposes the joints are removes the remaining cartilage. The two bones are then held together with screws or a combination of screws and plates. This prevents the bones from moving. By limiting motion, fusion thereby reduces the pain.
Because the joint is no longer intact, this surgery does limit joint motion, but depending on which joints are fused, the patient may not notice the limitation.
- The midfoot joints often do not have much motion to begin with, and fusing them does not create increased stiffness.
- The ankle joint normally does have a lot of motion, so fusing it will be noticeable to the patient.
Fusion can be a successful technique. However, because patients with RA also experience damaged cartilage and loose ligaments, the success rate of this type of surgery is lower in patients with RA than in patients without RA. The use of newer medication can slow the progression of the disease and impact the type of surgeries that can be performed successfully.
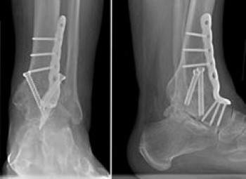
Ankle
Ankle fusion and total ankle replacement are the two primary surgical options for treating RA of the ankle. Both treatment options can be successful in minimizing the pain and discomfort in the ankle. The appropriate surgery is based on multiple factors and is individualized for every patient.
Ankle replacement may be right for you if you have:
- Severe involvement of other joints around the heel — meaning those joints are also severely affected by RA
- Previously undergone a fusion on the other leg
- Fusions within the same foot
Newer generation ankle replacement implants have shown promising early results. Ankle replacement implants have not yet been shown to be as long-lasting as those for the hip or knee, however, because the newer generation of implants have not been available long enough to determine how long they will last.
After ankle fusion, there is a loss of the up and down motion of the ankle. The up and down motion is transferred to the joints near the ankle. This creates a potential for pain in those joints, and possibly arthritis.
Patients are able to walk in shoes on flat, level ground without much difficulty after ankle fusion, despite the loss of ankle motion. The joints in the foot next to the ankle joint allow for motion similar to the ankle joint; this help patients with fused ankle joints walk more normally.
Hindfoot (Heel Region of the Foot)
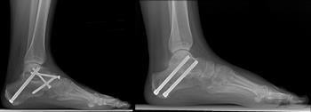
A fusion of the affected joints of the hindfoot is the most common surgery used to treat patients with flatfoot or arthritis of the hindfoot.
- A triple arthrodesis is a fusion that involves all three joints in the back of the foot.
- Occasionally, the joint on the outside of the foot is not fused if there is little to no involvement of that joint (this is at the surgeon's discretion). This type of fusion eliminates the side-to-side motion of the foot, while preserving most of the up and down movement.
- If RA is only in one joint, a fusion of just that affected joint may be all that is needed.
Any fusion of the hindfoot will limit side-to-side motion of the foot. This will affect walking on uneven ground, grass, or gravel. There is no method to replace the joints of the hindfoot.
Midfoot (Middle of the Foot)
Fusion is the most reliable surgical method to treat RA of the midfoot joints. If the shape of the foot is not normal, surgery is designed to help restore the arch and minimize the prominences (bumps) on the foot.
Although the foot cannot be returned to a normal shape, the goals are to reduce pain in the foot and improve the potential for the patient to wear more normal shoes.
Forefoot (Toes and Ball of the Foot)
The choice of treatment for patients with a bunion or lesser toe deformities (hammer or claw toes) depends on a number of factors.
- If the disease is very mild, joint-sparing procedures that preserve motion can be considered. The decision depends on the medication that the patient is taking and the amount of damaged cartilage that is present. A fusion of the big toe may be recommended despite the fact that the bunion is very mild. If there is damage to the cartilage of the big toe joint, correcting the bunion will not minimize the arthritic pain.
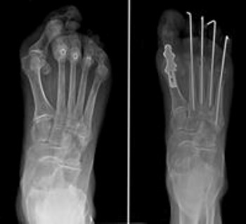
- If the RA has progressed and the lesser toes (2 through 5) have dislocated, a complex operation to minimize the pain and restore the shape of the foot may be recommended. The operation involves fusion of the big toe and removing a portion of bone of each of the metatarsals. This surgery removes the prominent bone on the bottom of the foot that is a source of the pain and allows the toes to re-align into a better position.
- If the deformity has not progressed as far or is relatively mild, the lesser toe metatarsals can be preserved or shortened to allow the toes to resume their position within the joints. This is not always possible, however, and the joint may have to be removed.
To fix the bend in the toes themselves, the surgeon may suggest cutting a tendon or removing a small portion of bone of the toes to allow them to straighten. Pins that stick out of the foot are temporarily required and will be removed in the office after healing takes place.
There are some implants available that can be buried within the toes, which avoid the need for pins sticking out of the foot. These implants may not work if the bone is soft, or if significant destruction of the joints has occurred, and treatment of complications can be more challenging with implanted hardware in the smaller toes.
Forefoot procedures put a lot of stress on the blood vessels and skin of the foot. In severe cases, the toes may not survive the surgery and may require amputation of a portion or the entire toe. If successful, however, these operations can provide the patient with a high level of function and the ability to enjoy a wider variety of shoewear.
Preparing for Surgery
Many of the medications that help with RA also affect the ability of the body to heal wounds and fight infection. Your surgeon will work with your rheumatologist or primary care doctor to review which of your medications will need to be stopped — and for how long — prior to surgery. Once the wounds are healed, the medication is typically resumed.
This period of time can be very difficult for patients with other areas of the body that are affected by RA. Many fusions require at least 6 weeks or more where no pressure can be placed on the foot. Making appropriate preparations to ensure you have help at home is crucial for success after surgery.
Conclusion
Medications developed in recent decades have provided incredible treatment for rheumatoid arthritis; however, deformity and severe disease can still occur.
Orthopaedic treatment is aimed at improving function and decreasing pain. Many patients will have some symptom relief with appropriate nonsurgical treatment.
Ankle replacement has become a more viable option as newer generation of ankle implants have had greater success. Joint replacements in other parts of the foot have not been successful and may require fusions for pain relief and stability. Often, an ankle replacement is performed after other areas of the foot have been fused and are therefore able to provide appropriate support for the ankle replacement.
In every patient, careful consideration of their deformity, goals, and lifestyle is critical to determining the best course of action.
Last Reviewed
June 2024
Contributed and/or Updated by
Peer-Reviewed by
AAOS does not endorse any treatments, procedures, products, or physicians referenced herein. This information is provided as an educational service and is not intended to serve as medical advice. Anyone seeking specific orthopaedic advice or assistance should consult his or her orthopaedic surgeon, or locate one in your area through the AAOS Find an Orthopaedist program on this website.
 
     
             
             
         
         
         
         
         
         
         
         
         
         
         
         
         
         
         
        