Our knowledge of orthopaedics. Your best health.

SYSTEM ALERT: OrthoInfo will be down for maintenance from  8:00 a.m. to 9:00 a.m.(CST) on 12/16/2025.  We apologize for the inconvenience.

SYSTEM ALERT: OrthoInfo will be down for maintenance from  8:00 a.m. to 9:00 a.m.(CST) on 12/16/2025.  We apologize for the inconvenience.

from the American Academy of Orthopaedic Surgeons

Diseases & Conditions

Treatment

Recovery

Staying Healthy

Print

Email

español

Radiografías, tomografías computarizadas (TC) e imágenes por resonancia magnética (IRM) (X-rays, CT Scans, and MRIs) 

Las técnicas de diagnóstico por imágenes ayudan a reducir las causas de una lesión o una enfermedad, y garantizan que el diagnóstico sea preciso. Estas técnicas incluyen las radiografías, las tomografías computarizadas (TC) y las imágenes por resonancia magnética (IRM).

Estas herramientas de diagnóstico por imágenes le permiten al médico "ver" el interior del cuerpo a fin de obtener una imagen de los huesos, los órganos, los discos, los meniscos, los músculos, los tendones, los nervios y los cartílagos. De esta forma, el médico puede determinar si existe alguna anomalía.

Radiografías

Las radiografías (rayos X) son la técnica de diagnóstico por imágenes más común y más accesible. Incluso si necesita pruebas más sofisticadas, es muy probable que primero le realicen una radiografía.

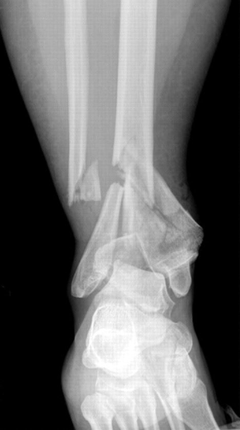
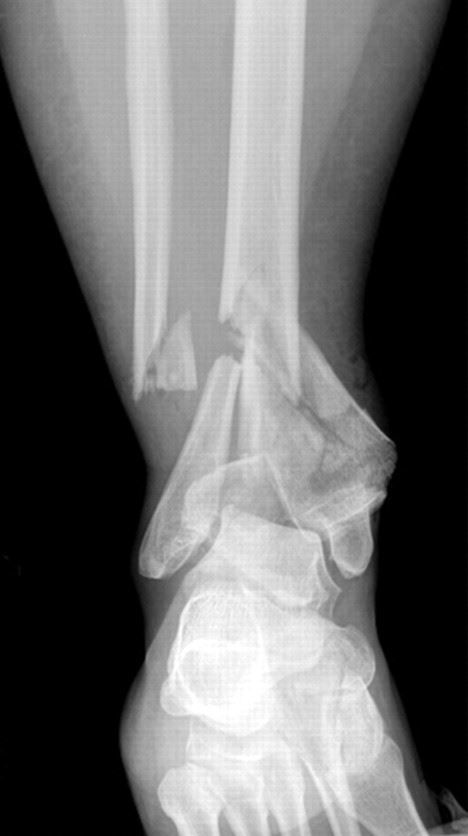
En esta radiografía de tobillo, la tibia y el peroné están fracturados. Las piezas de hueso están marcadamente fuera de lugar.

Reproducido de Crist BD, Khazzam M, Murtha YM, Della Rocca GJ: Pilon fractures: advances in surgical management. J Am Acad Orthop Surg 2011; 19: 612-622.

La parte del cuerpo a la que le toman las imágenes se ubica entre la máquina de rayos X y la película fotográfica o sensor de rayos X digital. Debe mantenerse inmóvil mientras la máquina envía brevemente ondas electromagnéticas (radiación) a través del cuerpo, exponiendo la película para que refleje su estructura interna. El nivel de exposición a la radiación de los rayos X no es perjudicial, pero el médico tomará precauciones especiales si está embarazada.

Los huesos, las calcificaciones, algunos tumores y otra materia densa aparecen en color blanco o claro debido a que absorben la radiación. Los tejidos blandos menos densos y las fracturas en los huesos permiten que la radiación los traspase, lo que hace que estas partes se vean más oscuras en la película de rayos X.

Probablemente le tomen radiografías desde varios ángulos. Si tiene una fractura en una extremidad, tal vez el médico le indique una radiografía para comparar con la extremidad no lesionada. La sesión de radiografías demorará alrededor de 10 minutos. Las imágenes están listas de inmediato. Se desarrollan a partir de la película de rayos X o se graban en un CD para verse en una pantalla de computadora.

En algunas circunstancias, se puede inyectar un material de contraste o tinte en una articulación mientras se toman las radiografías. Este procedimiento, que se llama "artrografía," ayuda a delinear las estructuras de tejido blando en la articulación. También puede confirmar la ubicación de la aguja en la articulación cuando se extrae el líquido o se inyecta medicamento en la articulación.

Es posible que las radiografías no muestren muchos detalles como una imagen producida con técnicas más sofisticadas. Sin embargo, son la herramienta de diagnóstico por imágenes más común que se utiliza para evaluar un problema ortopédico y están fácilmente disponibles en la mayoría de los centros médicos.

Tomografía computarizada (TC)

La tomografía computarizada (TC) es una herramienta de diagnóstico por imágenes que combina rayos X con tecnología computarizada para producir una imagen más detallada y transversal del cuerpo. Una TC le permite al médico ver el tamaño, la forma y la posición de las estructuras que están en la profundidad del cuerpo, como órganos, tejidos o tumores. Infórmele al médico si está embarazada antes de someterse a una TC.

En esta TC transversal de tibia, se puede ver con claridad un tumor óseo en color blanco brillante en comparación con el color más oscuro del hueso.

Para este examen, debe recostarse y permanecer inmóvil tanto como sea posible sobre una camilla que se desliza hacia el centro de un escáner de TC, similar a un cilindro. El proceso es sin dolor. Un tubo de rayos X rota lentamente alrededor del cuerpo, tomando varias imágenes desde todas las direcciones. Una computadora combina las imágenes para producir una vista clara y bidimensional en una pantalla de televisión.

Es posible que necesite una TC si tiene un problema con una estructura ósea pequeña o si tiene un traumatismo grave en el cerebro, la médula espinal, el pecho, el abdomen o la pelvis. A veces, le pueden administrar un tinte o un material de contraste para que determinadas partes del cuerpo se muestren mejor.

Una TC es más costosa y demora más tiempo que una radiografía común. Se puede realizar en un hospital o en un centro de diagnóstico por imágenes en forma ambulatoria.

Imagen por resonancia magnética (IRM)

Una imagen por resonancia magnética (IRM) es otra técnica de diagnóstico por imágenes que produce imágenes transversales del cuerpo. A diferencia de las TC, la IRM trabaja sin radiación. La máquina de IRM usa campos magnéticos y una computadora sofisticada para tomar imágenes de alta resolución de los huesos y los tejidos blandos. Infórmele al médico si tiene un marcapasos, implantes, grapas metálicas u otros objetos metálicos en el cuerpo antes de someterse a una IRM.

(Izquierda)  Esta imagen de IRM de una rodilla tomada desde el costado muestra un ligamento cruzado anterior saludable. (Derecha) Esta IRM muestra un ligamento cruzado anterior desgarrado, lo que hay causado inestabilidad en la rodilla del paciente.

Para este examen, debe recostarse y permanecer inmóvil tanto como sea posible sobre una camilla que se desliza hacia el escáner de IRM con forma de tubo. La IRM crea un campo magnético a su alrededor y luego impulsa ondas de radio hacia la zona del cuerpo de la que se deben tomar las imágenes. Las ondas de radio vibran en los tejidos.

Una computadora registra la tasa a la que las diversas partes del cuerpo (tendones, ligamentos, nervios, etc.) emiten estas vibraciones y traduce los datos en una imagen detallada bidimensional. No sentirá ningún dolor mientras se somete a una IRM, pero la máquina puede ser ruidosa.

Una IRM puede usarse para ayudar a diagnosticar ligamentos y cartílagos de rodilla desgarrados, manguitos rotadores quebrados, hernias de disco, osteonecrosis, tumores óseos y otros problemas. El estudio puede demorar de 30 a 60 minutos. Al igual que una TC, una IRM puede realizarse en un hospital o un centro de diagnóstico por imágenes en forma ambulatoria.

Otros estudios por imágenes

Otros estudios ortopédicos por imágenes incluyen las ecografías y las gammagrafías óseas (imágenes de medicina nuclear).

Ecografía. La ecografía utiliza ondas de sonido de alta frecuencia que rebotan en el cuerpo. Es un procedimiento indoloro y no invasivo, y no emplea radiación. En la mayoría de los casos, la ecografía se utiliza para buscar coágulos de sangre, pero también puede mostrar otros problemas, como el quiste de Baker detrás de la rodilla o incluso un desgarro del manguito rotador en el hombro.

Gammagrafía ósea. Una gammagrafía ósea usa una pequeña cantidad de material radioactivo para identificar zonas de actividad aumentada de los huesos. El material se inyecta en una vena y es absorbido por las zonas que forman hueso nuevo, como una factura que está sanando, un tumor óseo o una infección en el hueso.

La exploración se realiza varias horas después de la inyección. El material radioactivo se elimina rápidamente del cuerpo.

Una gammagrafía ósea tiene la ventaja de que muestra la actividad de los huesos en todo el cuerpo.

Last Reviewed

mayo 2019

AAOS does not endorse any treatments, procedures, products, or physicians referenced herein. This information is provided as an educational service and is not intended to serve as medical advice. Anyone seeking specific orthopaedic advice or assistance should consult his or her orthopaedic surgeon, or locate one in your area through the AAOS Find an Orthopaedist program on this website.