Our knowledge of orthopaedics. Your best health.

SYSTEM ALERT: OrthoInfo will be down for maintenance from  8:00 a.m. to 9:00 a.m.(CST) on 12/16/2025.  We apologize for the inconvenience.

SYSTEM ALERT: OrthoInfo will be down for maintenance from  8:00 a.m. to 9:00 a.m.(CST) on 12/16/2025.  We apologize for the inconvenience.

from the American Academy of Orthopaedic Surgeons

Diseases & Conditions

Treatment

Recovery

Staying Healthy

Fracturas distales del radio (muñeca quebrada) (Distal Radius Fractures (Broken Wrist))

Una fractura de radio distal ocurre cuando el radio, uno de los dos huesos largos del antebrazo, se fractura cerca de la muñeca.

Las fracturas de radio distal son muy frecuentes. De hecho, el radio es el hueso del brazo que más suele fraturarse.

Anatomía

El antebrazo está compuesto por dos huesos largos:

  • El radio, que se encuentra del lado del dedo pulgar
  • El cúbito, que se encuentra del lado del meñique.

En la parte proximal del antebrazo, la parte del antebrazo más cercana codo, el cúbito es más grande. En la parte distal del antebrazo, la parte del antebrazo más cercana a la muñeca, el radio es más grande. 

Ilustración que muestra los huesos largos del antebrazo: el radio y el cúbito.

Descripción

Una fractura de radio distal casi siempre ocurre a aproximadamente 1 pulgada del extremo del hueso. Esta fractura es muy frecuente y puede ocurrir de muchas formas diferentes en personas de todas las edades. En las personas jóvenes, dichas fracturas suelen ocurrir en accidentes de gran impacto, como una caída desde una escalera o un choque automovilístico. En las personas mayores, especialmente las que tienen osteoporosis, las fracturas de radio distal pueden ocurrir por una simple caída sobre la muñeca.

Una de las fracturas más frecuentes de radio distal es la fractura de Colles, en la que el extremo fracturado del radio se inclina hacia arriba. Esta fractura fue descrita por primera vez en 1814 por el cirujano y anatomista irlandés Abraham Colles; de allí proviene el nombre “fractura de Colles”.

Colles Fracture

Una fractura de Colles ocurre cuando el extremo fracturado del radio se inclina hacia arriba.

Estas son otras formas en las que el radio distal puede fracturarse:

  • Fractura intraarticular: Una fractura intraarticular se extiende hacia el interior de la articulación de la muñeca. (Articular significa “relativo a la articulación”).
  • Factura extraarticular: Esta fractura no se extiende hacia el interior de la muñeca.
  • Fractura expuesta: Ocurre cuando un hueso fracturado atraviesa la piel. Estos tipos de fractura requieren atención médica inmediata debido al riesgo de infección.
  • Fractura conminuta: Ocurre cuando un hueso se rompe en más de dos fragmentos.

Es importante clasificar el tipo de fractura porque las fracturas intraarticulares, las fracturas expuestas, las fracturas conminutas y las fracturas desplazadas (cuando las partes fracturadas del hueso no se alinean correctamente) son más difíciles de tratar que otros tipos de fracturas.

A veces, también se fractura el otro hueso del antebrazo (el cúbito). Esto se conoce como fractura de cúbito distal. Dependiendo del tipo de fractura de cúbito distal, usted requerirá o no tratamiento adicional.

Esta ilustración muestra algunos tipos de fracturas de radio distal.

Reproducido con el permiso de JF Sarwark, ed: Essentials of Musculoskeletal Care, ed 4. Rosemont, IL, American Academy of Orthopaedic Surgeons, 2010.

Causas

La causa más frecuente de una fractura de radio distal es una caída sobre el brazo extendido.

La osteoporosis (un trastorno frecuente en adultos mayores en el que los huesos se vuelven muy frágiles y más propensos a fracturarse) puede hacer que una caída relativamente menor provoque una fractura de muñeca. Muchas fracturas de radio distal en personas de más de 60 años derivan de una caída desde una posición de pie.

Una muñeca se puede fracturar incluso en personas con huesos sanos si la fuerza implicada en el traumatismo es lo suficientemente intensa. Por ejemplo, un accidente automovilístico o una caída desde una bicicleta pueden generar la suficiente fuerza para fracturar la muñeca de una persona joven y sana.

Una buena salud ósea podría prevenir fracturas en pacientes mayores. Las personas con antecedentes de osteoporosis deberían consultar con su médico de atención primaria acerca de las opciones para fortalecer los huesos. Obtenga más información: Calcio, nutrición y salud de los huesos

Síntomas

Una muñeca fracturada suele causar dolor inmediato, moretones, hinchazón y dolor a la palpación. En muchos casos, la muñeca queda doblada en un ángulo extraño (deformidad).

En caso de fracturas muy graves, los nervios de la mano pueden verse afectados por la lesión, lo que causa entumecimiento en los dedos. Si usted tiene entumecimiento en los dedos después de una lesión en la muñeca, diríjase de inmediato a un centro de atención de urgencias o a una sala de emergencias. Es posible que la lesión deba atenderse rápidamente para evitar daños permanentes en los nervios.

Examen médico

Si la lesión no es muy dolorosa y la muñeca no está deformada, es posible que pueda esperar al día siguiente para visitar a un médico. Puede proteger la muñeca con una férula, aplicarse una compresa de hielo y elevar la muñeca hasta que un médico pueda atenderlo.

Si la lesión es muy dolorosa, la muñeca tiene una deformidad grave o usted tiene los dedos entumecidos o pálidos, diríjase de inmediato a un centro de atención de urgencias o a una sala de emergencias para recibir tratamiento.

Para confirmar el diagnóstico, es probable que el médico le ordene radiografías de la muñeca. Las radiografías pueden mostrar si el hueso está fracturado y si hay un desplazamiento (un espacio entre los huesos fracturados). Este estudio también puede mostrar en cuántas partes se fracturó el hueso.

En algunos casos, es posible que el médico ordene una tomografía computarizada (TC), que proporciona imágenes tridimensionales del hueso fracturado. Este estudio puede ayudar en la planificación quirúrgica.

(Izquierda) Una radiografía de una muñeca sana. (Derecha) Las flechas blancas señalan una fractura de radio distal.

Tratamiento

El tratamiento de los huesos fracturados sigue una regla básica: las partes fracturadas deben volver a colocarse en la posición correcta y se debe evitar que los fragmentos se muevan de su lugar hasta que se consoliden.

Hay varias opciones de tratamiento para una fractura de radio distal. La elección depende de muchos factores, como la naturaleza de la fractura, la edad y nivel de actividad, y el criterio del cirujano.

Tratamiento no quirúrgico

Si el hueso fracturado está en una buena posición, se puede colocar un yeso hasta que el hueso se consolide.

Si el hueso fracturado tiene una alineación anormal y esto podría limitar el uso del brazo a futuro, puede que sea necesario volver a alinear los fragmentos del hueso fracturado. Reducción es el término técnico del proceso mediante el que el médico reubica las partes fracturadas para restaurar la alineación normal. Cuando se endereza el hueso sin hacer un corte en la piel (incisión), se realiza una reducción cerrada.

Después de que el hueso se alinee de forma adecuada, pueden colocarle una férula o un yeso en el brazo para mantener esta alineación. Por lo general, se usa una férula durante los primeros días para permitir que se produzca un poco de hinchazón normal. Se suele colocar un yeso unos pocos días a una semana más tarde, después de que baje la hinchazón. El yeso generalmente se cambia cada 2 o 3 semanas porque, a medida que el brazo se va deshinchando, el yeso se va aflojando.

Dependiendo de la naturaleza de la fractura, su médico puede hacer un control minucioso de la consolidación tomando radiografías periódicas. En los pacientes tratados sin cirugía, las radiografías suelen tomarse una vez por semana durante 3 semanas y luego una vez más a las 6 semanas. Pueden tomarse radiografías con menos frecuencia si no fue necesaria la reducción de la fractura o si el médico considera que está estable. Si en algún momento la fractura se desalinea, es posible que le recomienden una cirugía.

En las fracturas sin cirugías, es frecuente retirar el yeso aproximadamente 6 semanas después del día de la fractura. En ese momento, es probable que le indiquen sesiones de fisioterapia para ayudarlo a mejorar el movimiento y el funcionamiento de la muñeca lesionada. Por lo general, usará una férula removible entre una sesión de fisioterapia y otra para proteger el hueso que se está consolidando.

Tratamiento quirúrgico

A veces, la posición del hueso no puede corregirse solo con una reducción cerrada o no puede mantenerse alineada con un yeso. Esas fracturas pueden consolidarse con una alineación incorrecta, lo que puede causar un funcionamiento deficiente del brazo. En dichos casos, es posible que necesite someterse a una cirugía para corregir la fractura y mantenerla alineada mientras se consolida.

Procedimiento. Por lo general, la cirugía implica hacer una incisión en la muñeca, sobre la fractura, para acceder a los huesos fracturados. Se identificarán y protegerán estructuras importantes, como arterias, nervios y tendones. El cirujano realineará los huesos fracturados directamente a través de la incisión. Este proceso también se conoce como reducción abierta.

Dependiendo de la fractura, hay varias opciones para mantener el hueso en la posición correcta mientras se consolida después de haber sido realineado:

  • Yeso: pocas veces se usan yesos después de una reducción abierta.
  • Clavos de metal (por lo general, de acero inoxidable o titanio): este tratamiento era común años atrás y sigue usándose con frecuencia en niños cuyos huesos todavía se están desarrollando.
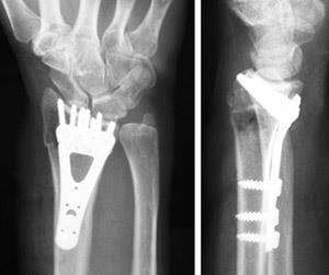
  • Placa y tornillos: esta es la opción más frecuente para el tratamiento quirúrgico de fracturas de radio distal.
  • Fijador externo (un marco de estabilización colocado fuera del cuerpo que mantiene los huesos en la posición correcta para que puedan consolidarse): este dispositivo se ha vuelto menos frecuente en los últimos años, pero sigue siendo una buena opción para las fracturas graves y expuestas.
  • Cualquier combinación de estas técnicas.

Una placa y tornillo mantienen las partes fracturadas en la posición correcta mientras se consolidan.

Fracturas expuestas. Se requiere una cirugía lo antes posible (en general, dentro de las 24 horas o menos después de la lesión) para la mayoría de las fracturas expuestas.

  • El tejido blando expuesto y el hueso se limpian minuciosamente (desbridamiento) y se administran antibióticos para prevenir infecciones.
  • Se suelen usar métodos de fijación interna o externa para mantener los huesos en la posición correcta.
  • Si los tejidos blandos alrededor de la fractura sufren un daño grave, su médico puede colocar un fijador externo temporal.
  • Varios días después, cuando baje la hinchazón y los tejidos que rodean la fractura estén listos, puede utilizarse la fijación interna con placas y tornillos en un segundo procedimiento.

Esta ilustración muestra un fijador externo.

Recuperación

Debido a que los tipos de fracturas de radio distal son muy variadas y las opciones de tratamiento son muy amplias, la recuperación varía para cada persona. Hable con su médico para obtener información específica sobre su programa de recuperación y sobre la reanudación de sus actividades cotidianas. La mayoría de las fracturas de radio distal tardan aproximadamente 3 meses en consolidarse antes de que pueda retomar todas sus actividades, y la recuperación completa de estas lesiones puede tardar hasta 1 año.

Control del dolor

La mayoría de las fracturas causan un dolor moderado durante algunos días a un par de semanas. Muchos pacientes sienten un alivio eficaz del dolor aplicándose hielo, manteniendo el brazo arriba, por encima de la altura del corazón (elevación) y tomando analgésicos de venta libre.

Su médico puede recomendar la combinación de ibuprofeno y paracetamol para aliviar el dolor y la inflamación. La combinación de ambos medicamentos es mucho más eficaz que la toma de uno solo. Si el dolor es muy intenso, su médico puede sugerir un medicamento de venta con receta, como un opioide, durante algunos días.

Tenga en cuenta que, aunque los opioides ayudan a aliviar el dolor después de la cirugía, estos son narcóticos y pueden ser adictivos.  Es fundamental que se consuman opioides solamente según lo que indique el médico y que, apenas el dolor empiece a desaparecer, deje de tomarlos. Hable con el médico si, después de algunos días de la cirugía, el dolor no empieza a aliviarse.

Cuidado de la herida y el yeso

En algunos casos, los yesos originales deben reemplazarse porque la hinchazón de reduce tanto que el yeso se afloja. Para las fracturas que se tratan sin cirugía, el último yeso suele quitarse después de 6 semanas aproximadamente.

Mientras el hueso se consolida, los yesos y las férulas deben mantenerse secos. Es recomendable cubrir el brazo con una bolsa de plástico mientras se ducha ya que, si el yeso se moja, no se secará con facilidad. Puede intentar secarlo con un secador de pelo, usando el modo de aire frío. Por lo general, los yesos deben reemplazarse si se mojan.

La mayoría de las incisiones quirúrgicas deben mantenerse limpias y secas durante al menos 5 días. Su médico le indicará cuándo es el momento de quitar las vendas después de la cirugía.

Complicaciones posibles

Después de la cirugía o la colocación del yeso, es importante que pueda lograr mover los dedos por completo lo antes posible. Si no puede mover los dedos por completo en un plazo de 24 horas debido al dolor o a la hinchazón, comuníquese con su médico para que realice una evaluación.

El médico puede aflojarle el yeso o el vendaje quirúrgico. En algunos casos, necesitará trabajar con un terapeuta ocupacional o fisioterapeuta para recuperar el movimiento completo.

El dolor persistente (constante) puede ser una señal de síndrome de dolor regional complejo (distrofia simpática refleja). Su médico puede administrarle un tratamiento intensivo con medicamentos o bloqueos nerviosos. Infórmele a su médico si tiene un dolor extremo que no se alivia con medicamentos.

Rehabilitación y reanudación de las actividades

La mayoría de las personas no retoma todas sus actividades previas después de sufrir una fractura de radio distal. Todo dependerá de la naturaleza de la lesión, el tipo de tratamiento recibido y la respuesta del cuerpo al tratamiento. En algunos casos, el funcionamiento de la muñeca puede verse limitado de forma permanente después de dichas lesiones.

Casi todos los pacientes tienen algo de rigidez en la muñeca. Por lo general, la rigidez mejora uno o dos meses después del retiro del yeso o después de la cirugía, y continúa mejorando durante al menos 2 años. Si su médico lo considera necesario, usted comenzará con sesiones de fisioterapia algunos días o semanas después de la cirugía, o inmediatamente después del retiro del último yeso.

La mayoría de los pacientes podrá retomar actividades livianas, como nadar o ejercitar la parte inferior del cuerpo en el gimnasio, 1 o 2 meses después del retiro del yeso, o 1 o 2 meses después de la cirugía. Las actividades enérgicas, como esquiar o jugar al fútbol, podrán retomarse entre 3 y 6 meses después del día de la lesión.

Desenlaces clínicos a largo plazo

Se prevé que la recuperación durará al menos 1 año.

Durante el primer año, es esperable que tenga algo de dolor al realizar actividades enérgicas. También es esperable que sienta algo de dolor o rigidez residual durante 2 años o quizás de forma permanente, especialmente si sufrió una lesión de gran impacto (como un accidente de motocicleta), tiene más de 50 años o tiene artrosis. Sin embargo, la rigidez suele ser menor y, a menudo, no afecta el funcionamiento general del brazo.

Finalmente, la osteoporosis está asociada a muchas fracturas de muñeca. Es recomendable que la mayoría de las personas que sufrieron una fractura de muñeca se realicen pruebas para detectar debilidad ósea, especialmente si tienen otros factores de riesgo para la osteoporosis (p. ej., ser adultos mayores). Pregúntele a su médico sobre la prueba de detección de osteoporosis.

Last Reviewed

mayo 2023

AAOS does not endorse any treatments, procedures, products, or physicians referenced herein. This information is provided as an educational service and is not intended to serve as medical advice. Anyone seeking specific orthopaedic advice or assistance should consult his or her orthopaedic surgeon, or locate one in your area through the AAOS Find an Orthopaedist program on this website.