Our knowledge of orthopaedics. Your best health.

from the American Academy of Orthopaedic Surgeons

Diseases & Conditions

Treatment

Recovery

Staying Healthy

Print

Email

español

Fracturas de la diáfisis femoral (ruptura del hueso del muslo) (Femur Shaft Fractures (Broken Thighbone))

El hueso del muslo (fémur) es el hueso más largo y fuerte del cuerpo humano. Debido a su fortaleza, generalmente se necesita un alto grado de fuerza para fracturarlo. Los accidentes automovilísticos son, por ejemplo, la causa principal de fracturas de fémur.

La parte recta y larga del fémur se denomina “diáfisis femoral”. La fractura en alguna parte de este hueso se denomina “fractura de la diáfisis femoral”. Casi siempre se requiere cirugía para reparar este tipo de fractura en la pierna.

La diáfisis femoral va desde la parte inferior de la cadera hasta la parte donde el hueso comienza a ensancharse en la rodilla.

Tipos de fracturas de la diáfisis femoral

Las fracturas de fémur varían ampliamente según la fuerza que las haya provocado. Puede que las partes del huesos estén alineadas correctamente (fractura estable) o que no estén alineadas (fractura desplazada). La piel que rodea la fractura puede quedar intacta (fractura cerrada), o bien el hueso puede perforar la piel (fractura expuesta).

En la comunicación entre médicos, las fracturas se explican mediante sistemas de clasificación. Las fracturas de fémur se clasifican según estos criterios:

  • La ubicación de la fractura (la diáfisis del fémur se divide en tercios: distal, medio y proximal)
  • El patrón de la fractura (por ejemplo, el hueso se puede fracturar en distintas direcciones, como transversal, a lo largo o en el medio)
  • Si la piel o el músculo que recubren el hueso están afectados en la lesión

Estos son algunos de los tipos más frecuentes de fracturas de la diáfisis femoral:

Fractura transversal. En este tipo de fractura, la ruptura se produce en una línea recta horizontal que atraviesa la diáfisis del fémur.

Fractura oblicua. Este tipo de fractura tiene una línea angular a lo largo de la diáfisis.

Fractura en espiral. La línea de la fractura rodea la diáfisis, así como las líneas de un bastón de caramelo. Este tipo de fractura se produce por una fuerza de torsión en el muslo.

Fractura conminuta. En este tipo de fractura, el hueso se rompe en tres o más partes. En la mayoría de los casos, la cantidad de fragmentos de hueso coincide con la intensidad de fuerza necesaria para romper el hueso.

Fractura expuesta. Si el hueso se fractura de forma tal que los fragmentos de hueso salen a través de la piel o si una herida penetra la piel hasta el hueso roto, la fractura se denomina “expuesta o compuesta”. Las fracturas expuestas suelen implicar mucho más daño en los músculos, tendones y ligamentos que las rodean. Existe un mayor riesgo de complicaciones, específicamente de infecciones, y tardan más tiempo en solucionarse.

(Izquierda) Una fractura oblicua con una línea angular a través de la diáfisis. (Derecha) En una fractura conminuta, el hueso se rompe en tres partes o más.

Causa

Las fracturas de la diáfisis femoral en personas jóvenes generalmente se producen a raíz de algún tipo de choque muy potente. La causa más frecuente de fracturas de la diáfisis femoral es un accidente de motocicletas o de automóviles. Otra causa frecuente es el choque a peatones, así como las caídas desde altura y las heridas de bala.

Existen incidentes de fuerza menor, como caídas estando de pie, que pueden provocar una fractura de la diáfisis femoral en personas mayores, que tienen mayor debilidad ósea.

Síntomas

Las fracturas de la diáfisis femoral generalmente provocan un dolor intenso e instantáneo. No es posible cargar peso sobre la pierna lesionada, y esta puede tener un aspecto deforme, es decir, quedar más corta que la otra pierna o ya no estar derecha.

Examen médico

Antecedentes médicos y examen físico

Es importante que su médico esté al tanto de las particularidades del modo en que se lesionó la pierna. Por ejemplo, si estuvo en un accidente automovilístico, sería útil que el médico sepa a qué velocidad iba, si iba conduciendo o de acompañante, si tenía puesto el cinturón de seguridad y si se activaron los airbags. Estos datos ayudarán al médico a determinar cómo fue la lesión y si pudo haberse lesionado otra parte del cuerpo.

También es importante que el médico sepa si usted tiene alguna otra afección, como presión arterial alta, diabetes, asma o alergias. También puede que su médico le pregunte si consume productos de tabaco o si toma medicamentos.

Después de hablar sobre la lesión y los antecedentes médicos, su médico lo examinará atentamente. El médico evaluará su estado de salud general y, luego, se enfocará en la pierna. Se buscarán señales de lo siguiente:

  • Una deformidad evidente en el muslo/la pierna (un ángulo inusual, torceduras o acortamiento de la pierna)
  • Cortes en la piel
  • Moretones
  • Piezas de huesos que puedan estar presionando la piel

Luego de la inspección visual, el médico le palpará los muslos, la pierna y el pie en busca de anomalías y verificando la rigidez de la piel y los músculos alrededor del muslo. El médico también le tomará el pulso. Si usted está despierto, le hará pruebas para ver la sensibilidad y el movimiento de su pierna y pie.

Pruebas de diagnóstico por imágenes

Las pruebas de diagnóstico por imágenes le darán al médico más información sobre la lesión.

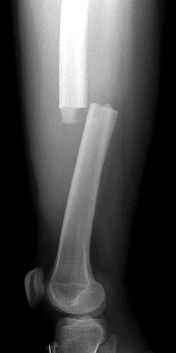
Radiografías. La forma más frecuente de evaluar una fractura es mediante una radiografía, que ofrece imágenes claras del hueso. Las radiografías pueden mostrar si un hueso está intacto o roto. También pueden mostrar el tipo de fractura y dónde se encuentra dentro del fémur.

Una radiografía muestra una fractura transversal del fémur. La ruptura se produce en una línea recta horizontal que atraviesa la diáfisis.
Reproducido desde JF Sarwak (ed): Essentials of Musculoskeletal Care, ed 4. Rosemont, IL. American Academy of Orthopaedic Surgeons, 2010

Tomografías computarizadas (computerized tomography, CT). Si necesita más información después de revisar sus radiografías, su médico puede solicitar una CT, la cual muestra imágenes transversales de la extremidad y pueden ofrecer información importante sobre la gravedad de la fractura. Por ejemplo, a veces, las líneas de la fractura pueden ser demasiado delgadas y difíciles de ver en una radiografía. Una CT puede resultar útil para que el médico vea las líneas con mayor claridad.

Tratamiento

Tratamiento no quirúrgico

La mayoría de las fracturas de la diáfisis femoral requieren una cirugía para su recuperación. Es normal que las fracturas de la diáfisis femoral se traten mediante cirugía. En ocasiones, los niños pequeños reciben tratamiento con un yeso.

Tratamiento quirúrgico

El momento oportuno para la cirugía. La mayoría de las fracturas del fémur se solucionan en un plazo de 24 a 48 horas. En ocasiones, la solución puede demorarse hasta que se estabilicen las lesiones que ponen en peligro la vida o hasta que se solucionen afecciones inestables. Para reducir el riesgo de infección, las fracturas expuestas se tratan con antibióticos en cuanto llega al hospital. Las heridas abiertas, los tejidos y los huesos se limpiarán durante la cirugía.

Durante el tiempo entre la atención inicial de emergencia y la cirugía, puede que su médico le coloque tracción en la pierna o una férula a lo largo de ella. Esto se utiliza para mantener los huesos rotos alineados en la medida de lo posible y para conservar la longitud de la pierna.

La tracción esquelética es un sistema de poleas con pesos y contrapesos que mantiene unidas las piezas de los huesos rotos. Esto mantiene la pierna recta y suele ayudar a calmar el dolor.

Fijación externa. En este tipo de operación, se colocan tornillos o sujetadores metálicos en el hueso por arriba y por debajo del sitio de la fractura. Los sujetadores y tornillos se ajustan a una barra fuera de la piel. Este dispositivo es un marco de estabilización que mantiene los huesos en la posición correcta.

La fijación externa suele ser un tratamiento temporal para las fracturas de fémur. Debido a su fácil aplicación, los fijadores externos suelen colocarse cuando el paciente tiene varias lesiones y aún no está listo para una cirugía más extensa para solucionar la fractura. Un fijador externo ofrece una buena estabilidad temporal hasta que el paciente esté lo suficientemente sano para la cirugía final. En algunos casos, el fijador externo se deja colocado hasta que el fémur se haya curado por completo, pero esto no es algo frecuente.

La fijación externa se suele usar para mantener los huesos unidos temporalmente cuando ha habido lesiones en la piel y los músculos.

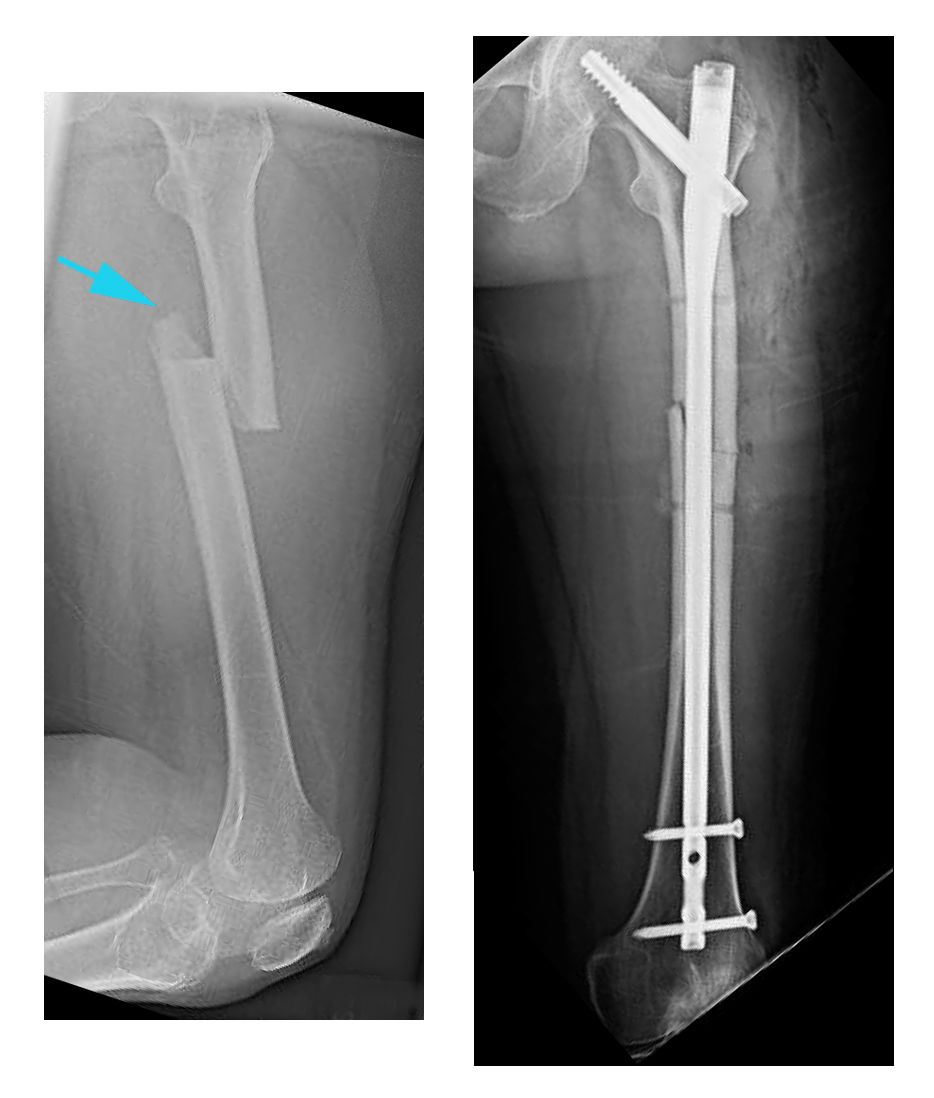
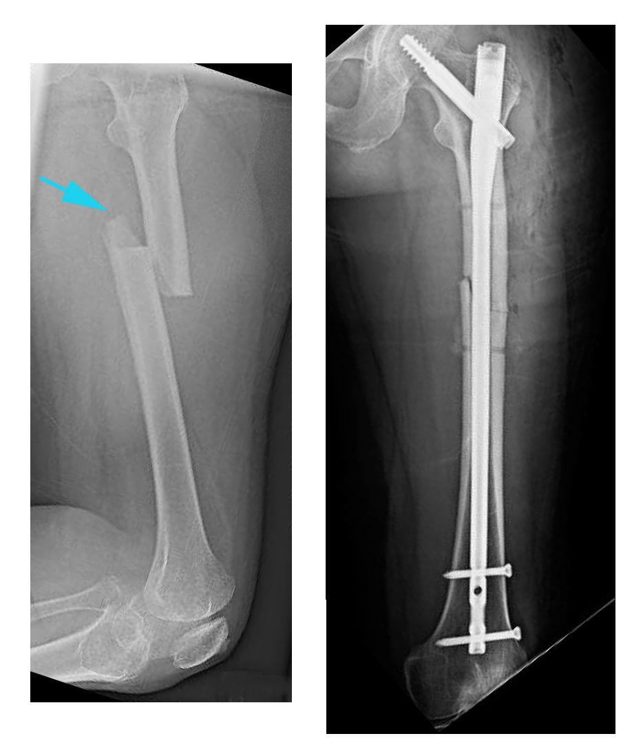
Clavos intramedulares. Actualmente, la utilización de clavos intramedulares es el método que la mayoría de los cirujanos usan para tratar fracturas de la diáfisis femoral. Durante el procedimiento, se introduce una barra metálica especialmente diseñada en el canal del fémur. Esta barra atraviesa la fractura para que se mantenga en su posición.

Los clavos intramedulares ofrecen una fijación fuerte, estable y de extensión total.

Puede introducirse un clavo intramedular en el canal de la cadera o la rodilla. Los tornillos se colocan por encima y por debajo de la fractura para mantener la pierna alineada correctamente mientras el hueso se repara.

Los clavos intramedulares suelen estar fabricados con titanio. Vienen en varios tamaños y diámetros para adaptarse a la mayoría de los fémures.

(Izquierda) Esta radiografía, tomada de perfil, muestra una fractura transversal del fémur. (Derecha) En esta radiografía frontal, la fractura se trató con clavos intramedulares.

Placas y tornillos. Durante esta operación, los fragmentos óseos se vuelven a ubicar primero (se reducen) en su alineación normal. Se mantienen unidos mediante tornillos y placas metálicas que se sujetan a la superficie externa del hueso.

Generalmente, se usan placas y tornillos cuando no es posible usar clavos intramedulares, como en el caso de fracturas que se extienden a las articulaciones de las caderas o las rodillas. 

Recuperación

La mayoría de las fracturas de la diáfisis femoral tardan entre 3 y 6 meses en solucionarse por completo. En algunas ocasiones, puede tardar más, especialmente si la fractura estaba expuesta o si implicó una ruptura en varias partes, o si el paciente consume productos de tabaco.

Control del dolor

El dolor después de una lesión o cirugía es una parte natural del proceso de recuperación. El médico y el personal de enfermería trabajarán para reducir el dolor, lo que puede ayudarlo a recuperarse más rápido.

Generalmente, se recetan medicamentos para el alivio del dolor a corto plazo después de una cirugía o una lesión. Existen varios tipos de medicamentos para ayudar a controlar el dolor. Algunos de ellos son el paracetamol, los medicamentos antiinflamatorios no esteroideos (non-steroidal anti-inflammatory drugs, NSAID), los gabapentinoides, los relajantes musculares, los opioides y los medicamentos tópicos para el dolor. El médico puede combinar estos medicamentos para aumentar el alivio del dolor, así como para minimizar la necesidad de opioides. Algunos medicamentos para el dolor pueden provocar efectos secundarios que pueden afectar su capacidad para conducir y hacer otras actividades. El médico le informará cuáles son los efectos secundarios de los medicamentos para el dolor. 

Tenga en cuenta que, aunque los opioides ayuden a aliviar el dolor después de una cirugía o lesión, estos son narcóticos y pueden ser adictivos. La sobredosis por opioides y la dependencia de estos medicamentos se han convertido en problemas de salud pública críticos en los EE. UU. Es fundamental que se consuman opioides solamente según lo que indique el médico. Apenas el dolor empiece a desaparecer, deje de tomarlos. Hable con el médico si, después de algunos días de tratamiento, el dolor no empieza a aliviarse.

Soporte de peso

Muchos médicos recomiendan a los pacientes que muevan la pierna al principio del período de recuperación. Para evitar problemas, es muy importante seguir las instrucciones del médico sobre la carga de peso sobre la pierna lesionada.

En algunos casos, los médicos permiten que los pacientes carguen la mayor cantidad de peso posible sobre la pierna inmediatamente después de la cirugía. Sin embargo, puede que la pierna no pueda soportar el peso completo hasta que la fractura haya comenzado a repararse. Siga las instrucciones médicas con atención.

Cuando empiece a caminar, es probable que deba usar muletas o un andador para ayudar a soportar el peso.

Fisioterapia

Debido a que muy probablemente pierda fuerza muscular en el área lesionada, es clave hacer ejercicio durante el proceso de recuperación. La fisioterapia lo ayudará a recuperar su fuerza muscular normal, el movimiento de las articulaciones y la flexibilidad. También puede servir para controlar el dolor después de la cirugía.

Es muy probable que el fisioterapeuta comience por enseñarle ejercicios específicos mientras aún esté en el hospital. El terapeuta también lo ayudará a aprender a usar muletas o un andador. 

Complicaciones

Complicaciones a raíz de fracturas de la diáfisis femoral

Las fracturas de la diáfisis femoral pueden provocar más lesiones y complicaciones.

  • Los extremos de los huesos rotos suelen ser afilados y pueden cortar o desgarrar los nervios o los vasos sanguíneos que los rodean, aunque esto sucede muy raramente.
  • Se puede producir el síndrome compartimental agudo. Se trata de una afección dolorosa que ocurre cuando la presión en el interior de los músculos se acumula hasta llegar a niveles peligrosos. Esta presión puede disminuir la circulación sanguínea, lo que evita que los nutrientes y el oxígeno lleguen a los nervios y a las células musculares. A menos que la presión se libere rápidamente, se pueden producir discapacidades permanentes. Es una emergencia quirúrgica. En el procedimiento, el cirujano hace incisiones en la piel y en los músculos que recubren la fractura para aliviar la presión.
  • Las fracturas expuestas hacen que el hueso quede expuesto al entorno exterior. Incluso con una buena limpieza quirúrgica del hueso y el músculo, el hueso puede infectarse. Las infecciones óseas son difíciles de tratar y suelen necesitar varias cirugías y la toma de antibióticos a largo plazo.
  • En ocasiones, los ligamentos alrededor de la rodilla pueden lesionarse en una fractura de la diáfisis femoral. Si siente dolor en la rodilla después de la cirugía, infórmeselo al médico.

Complicaciones de la cirugía

Además de los riesgos generales de la cirugía, como la pérdida de sangre o los problemas relacionados con la anestesia, las complicaciones de la cirugía pueden ser las siguientes:

  • Infección
  • Lesión en los nervios y los vasos sanguíneos
  • Coágulos de sangre
  • Embolia grasa (la médula ósea ingresa al torrente sanguíneo y puede viajar hasta los pulmones; esto también puede ocurrir por la fractura en sí, sin necesidad de cirugía)
  • Mala alineación o incapacidad para posicionar correctamente los fragmentos de los huesos rotos
  • Unión demorada o falta de unión (cuando la fractura se repara a un menor ritmo del normal o no se repara)
  • Irritación por el implante (en ocasiones, el extremo del clavo o del tornillo puede irritar los tendones y los músculos suprayacentes)

Last Reviewed

abril 2021

AAOS does not endorse any treatments, procedures, products, or physicians referenced herein. This information is provided as an educational service and is not intended to serve as medical advice. Anyone seeking specific orthopaedic advice or assistance should consult his or her orthopaedic surgeon, or locate one in your area through the AAOS Find an Orthopaedist program on this website.