Our knowledge of orthopaedics. Your best health.

from the American Academy of Orthopaedic Surgeons

Diseases & Conditions

Treatment

Recovery

Staying Healthy

Deformidad progresiva del pie en colapso (pie plano) (Progressive Collapsing Foot Deformity [Flatfoot])

La deformidad progresiva del pie en colapso (DPPC), anteriormente conocida como “pie plano adquirido del adulto” (PPA), es una afección compleja del pie y el tobillo que genera el aplanamiento del arco del pie y otras deformidades menos evidentes. Otro nombre que se le da a esta afección es disfunción del tendón tibial posterior (DTTP).

Si bien probablemente sea el resultado de un grupo asociado de problemas, generalmente se cree que el pie plano comienza con la disfunción del tendón tibial posterior, una estructura importante para sostener el arco del pie. Cuando el tendón se inflama o desgarra, es posible que no pueda proporcionar estabilidad y apoyo para el arco del pie, lo que da lugar al pie plano.

Descripción

Como el nombre sugiere, la deformidad progresiva del pie en colapso representa una amplia variedad de trastornos que pueden comenzar como una deformidad sutil con solo síntomas leves, pero puede progresar hacia un pie plano muy doloroso, incapacitante y con mal funcionamiento.

La mayoría de los pacientes en las etapas iniciales de la enfermedad pueden recibir tratamiento sin cirugía, utilizando aparatos ortopédicos y férulas.

Si estos no proporcionan alivio, la cirugía puede ser una manera eficaz de ayudar con el dolor y mejorar la función del pie. Las opciones quirúrgicas varían ampliamente según la etapa de la enfermedad y el grado de la deformidad.

  • La cirugía puede ser tan simple como extirpar el tejido inflamado o reparar un simple desagarro en el tendón.
  • Sin embargo, la cirugía suele ser muy compleja y la mayoría de los pacientes seguirán notando cierta limitación en la actividad después de la cirugía.

Anatomía

Hay numerosas estructuras importantes que contribuyen al arco normal del pie, incluidos los tendones (que conectan los músculos con los huesos) y los ligamentos (que conectan dos o más huesos entre sí). Las siguientes son dos de las estructuras más vitales:

  • El tendón tibial posterior (TTP). El TTP sujeta uno de los músculos de la pantorrilla (el músculo tibial posterior) a los huesos del arco interno del pie. Puede ver o sentir este tendón, ya que se extiende por detrás de la protuberancia interna del tobillo (el maléolo medial). La función principal del tendón es sostener el arco y brindar soporte al pie al caminar. También ayuda a pararse con los dedos del pie o girar el pie y el tobillo hacia adentro.
  • El ligamento calcaneonavicular conecta el hueso del talón (calcáneo) con uno de los huesos en la parte interna del pie (navicular). Es un ligamento muy importante para sostener el arco del pie. 

El tendón tibial posterior sujeta uno de los músculos de la pantorrilla a los huesos de la parte interna del pie.

Es difícil saber si la inflamación y el mal funcionamiento de estas estructuras son la causa o el resultado del pie plano. En general, se cree que la disfunción del TTP es uno de los problemas principales que contribuye al desarrollo del pie plano.

En ocasiones, hay una lesión en el ligamento calcaneonavicular antes de que la función del TTP comience a empeorar. Si este ligamento no está lesionado antes de la DPPC, suele desgarrarse, o al menos distenderse, en las etapas posteriores del pie plano.

Además del ligamento calcaneonavicular, hay otros ligamentos más pequeños que conectan los huesos pequeños de la parte interna del pie que también ayudan a dar soporte al arco. El ligamento deltoideo es un ligamento grande y fuerte que conecta el tobillo con el hueso del talón y los huesos de la parte interna del pie. A medida que el pie plano empeora con el tiempo, este ligamento también se estira y debilita, lo que conduce a una deformidad por pie plano adquirida que incluye el tobillo.

Causas

Hay múltiples causas de la DPPC y probablemente no sean las mismas en todos los pacientes. Estos son algunos de los posibles problemas que pueden causar DPPC:

  • La artritis en el mediopié o los ligamentos laxos puede dar lugar a una mayor sobrecarga en el tendón tibial posterior y causar que se desgarre gradualmente. 
  • Una lesión aguda, como por una caída, puede desgarrar el TTP o hacer que se inflame.
  • El TTP puede desgarrarse por el uso excesivo. Por ejemplo, las personas que participan en deportes de alto impacto, como baloncesto, tenis o fútbol, pueden tener desgarros en el tendón por el uso reiterado. Las personas no deportistas pueden presentar problemas similares en el tendón con el tiempo, especialmente quienes usan calzado sin soporte, como sandalias, con frecuencia.
  • Es probable que haya un fuerte componente genético en el desarrollo de la DPPC.

Independientemente de la causa inicial:

  • A medida que el TTP se inflama y debilita, tiene menos capacidad de sostener el arco y dar soporte al pie al caminar.
  • El arco comienza a colapsar, o caer, lo que sobrecarga más las demás estructuras que sostienen el arco, como el ligamento calcaneonavicular.
  • A medida que estas estructuras también se estiran y debilitan, el TTP debe intentar trabajar más arduamente para sostener el arco, lo que inicia un círculo vicioso.
  • Con el tiempo, el tendón y los ligamentos pueden desgarrarse por completo. Sin el soporte de los tendones y los ligamentos, los huesos pueden desplazarse significativamente y causar dolor por pinzamiento (el hueso ejerce presión sobre otra estructura, como otro hueso) y artritis.

La disfunción del tendón tibial posterior y el pie plano son más comunes en mujeres y personas mayores de 40 años. Otros factores de riesgo incluyen obesidad, diabetes e hipertensión.

Síntomas

  • Dolor en el arco o a lo largo de la parte interna del pie y el tobillo, donde se extiende el TTP. También puede haber hinchazón alrededor del tendón si está inflamado o desgarrado. Podría sentir dolor antes de que pueda ver alguna deformidad.
  • Dolor y debilidad al hacer actividad. Algunas personas tienen dificultad para caminar o estar de pie por mucho tiempo. Las actividades de alta intensidad o alto impacto, como correr, pueden resultar muy difíciles. El dolor también puede ser peor al usar calzado sin soporte, como sandalias. Además del dolor, podría percibir debilidad al intentar empujar con los dedos del pie o pararse sobre ellos.
  • Dolor en la parte externa del tobillo. A medida que el colapso del arco empeora, el hueso del talón puede desplazarse hacia afuera en relación con el tobillo. Si el desplazamiento es lo suficientemente grave, el hueso del talón puede ejercer presión sobre el hueso de la parte externa del tobillo (esto se denomina “pinzamiento”).

El lugar más común del dolor es alrededor del tendón tibial posterior (línea amarilla), que se extiende a lo largo de la parte trasera e interna del pie y el tobillo.

Examen médico

Antecedentes médicos y examen físico

El médico documentará sus antecedentes médicos completos y le preguntará sobre sus síntomas.

Durante el examen del pie y el tobillo, el médico verificará la presencia de los siguientes signos:

  • Hinchazón y dolor alrededor del tendón tibial posterior. En general, la hinchazón y el dolor se ubican justo detrás y debajo de la protuberancia interna del tobillo. Es posible que también tenga dolor en el arco en sí.
  • Cambios en la forma del pie. Se debe examinar el pie con el paciente parado. El aplanamiento del arco suele ser la deformidad más temprana y evidente. Otras deformidades comunes que se presentan a medida que la afección progresa incluyen el desplazamiento hacia afuera del talón desde debajo del tobillo y la rotación hacia afuera de los dedos del pie en relación con el pie y el tobillo. Estos cambios se pueden observar mirando el talón desde atrás del paciente. En un pie normal, el talón se ubica justo debajo de la pantorrilla y solo se pueden ver el cuarto y quinto dedo del pie. En una deformidad por pie plano, el talón se desplaza hacia afuera en relación con la pantorrilla y el tobillo, y se pueden ver más dedos del pie (esto se denomina el signo de “demasiados dedos”).

Esta paciente tiene disfunción del tendón tibial posterior con una deformidad por pie plano. (Izquierda) La parte frontal del pie se orienta hacia afuera. (Derecha) El signo de “demasiados dedos”. Incluso se puede ver el dedo gordo desde detrás del pie de esta paciente.

  • Dificultad en la prueba de “levantamiento del talón con una sola extremidad”. Ser capaz de pararse sobre una pierna y elevarse sobre la punta de los dedos de los pies requiere un tendón tibial posterior sano. Cuando un paciente no puede pararse sobre una pierna y elevar el talón, el motivo podría ser un problema en el tendón tibial posterior.

Esta paciente puede hacer un levantamiento del talón con una sola extremidad sobre la pierna derecha.

  • Flexibilidad limitada. El médico podría intentar mover el pie de un lado al otro. El plan de tratamiento para el desgarro del tendón tibial posterior varía según la flexibilidad del pie. El tratamiento para un pie en el que no hay movimiento o el movimiento es limitado es diferente al tratamiento para un pie flexible.
  • La amplitud de movimiento del tobillo se ve afectada. El movimiento hacia arriba del tobillo (dorsiflexión) puede verse limitado en el pie plano. Este movimiento limitado se debe a la tensión de los músculos de la pantorrilla.

Pruebas de diagnóstico por imágenes

Entre las pruebas adicionales que pueden ayudar a su médico a confirmar el diagnóstico se incluyen las siguientes:

Radiografías. Las radiografías brindan imágenes detalladas de las estructuras densas, como los huesos. Son útiles para detectar artritis y otros cambios en la alineación de los huesos que puedan estar contribuyendo al dolor y las deformidades. La mayoría de las deformidades presentes en el pie plano se pueden ver en radiografías comunes, siempre que se tomen con el paciente de pie (radiografías con soporte de peso). Luego, si se necesita cirugía, las radiografías pueden ayudar al médico a hacer mediciones para determinar qué cirugía sería más beneficiosa.

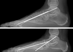
(Arriba) Radiografía de un pie normal. Observe que la línea que pasa por el centro del hueso del tobillo (astrágalo) y la línea que pasa por el resto del pie son paralelas, lo que indica un arco normal. (Abajo) En esta radiografía, la líneas se bifurcan, lo que indica una deformidad por pie plano.

Exploración por tomografía computarizada (TC). Las TC son radiografías tridimensionales y, por lo tanto, le dan al médico una imagen aún más detallada de los huesos. El cirujano puede usarlas para observar cambios sutiles que pueden no ser evidentes en las radiografías y así indicar qué deformidades y articulaciones con artritis deben corregirse en la cirugía.

Idealmente, estas exploraciones se realizan con el paciente de pie (TC con soporte de peso) para evaluar cómo se ven los huesos cuando el pie soporta el peso del paciente. Sin embargo, requieren equipos especializados que no están disponibles en todos lados.

Imágenes por resonancia magnética (IRM). Las exploraciones por IRM generan mejores imágenes de los tejidos blandos (como tendones y ligamentos) que las radiografías o las exploraciones por TC. El médico puede indicarle una IRM para verificar si hay inflamación o desgarro de estas estructuras o para observar otras posibles fuentes de los síntomas cuando el diagnóstico es dudoso.

Ecografía. En la ecografía, se usan ondas de sonido de alta frecuencia que rebotan en las estructuras dentro del cuerpo para generar una imagen del hueso y el tejido. Se puede indicar una ecografía para observar el tendón tibial posterior, pero no suele necesitarse para diagnosticar el pie plano.

Tratamiento no quirúrgico

En la mayoría de los pacientes, los síntomas se alivian con tratamientos no quirúrgicos adecuados. El dolor puede durar más de 3 meses, incluso con un tratamiento temprano. En el caso de los pacientes que tienen dolor desde hace varios meses, es frecuente que el dolor dure unos 6 meses más después de que comience el tratamiento.

Reposo

  • El primer paso es disminuir o, incluso, detener las actividades que empeoran el dolor.
  • Es beneficioso cambiar a ejercicios de bajo impacto. El ciclismo, las máquinas elípticas o la natación no sobrecargan tanto el pie y la mayoría de los pacientes pueden hacer estas actividades sin problemas.
  • Perder peso también es muy eficaz para sobrecargar menos el arco y las estructuras que lo sostienen.

Hielo

Aplique compresas de hielo en la zona que más duele de tendón tibial posterior durante 20 minutos por vez, 3 o 4 veces al día para aliviar la hinchazón. No aplique hielo directamente sobre la piel. Aplicar hielo sobre el tendón inmediatamente después de completar un ejercicio ayuda a reducir la inflamación alrededor del tendón.

Antiinflamatorios no esteroides (AINE)

Los medicamentos antiinflamatorios, como el ibuprofeno o el naproxeno, reducen el dolor y la inflamación. Los AINE son de venta libre o su médico puede darle una versión de venta con receta diaria (por ejemplo, meloxicam). Los medicamentos antiinflamatorios tópicos, que se frotan sobre el área dolorida, también pueden ayudar.

Es importante entender que si bien estos medicamentos pueden ser muy eficaces para reducir la inflamación y el dolor en el tendón o las articulaciones con artritis, no tratan la afección subyacente y no cambiarán la forma del pie.

Asegúrese de hablar con su médico sobre los efectos secundarios de estos medicamentos antes de empezar a tomarlos, específicamente si tiene problemas cardíacos, renales o estomacales.

Plantillas ortopédicas

Una plantilla ortopédica es una plantilla para el calzado diseñada para sostener y posicionar el pie para caminar de manera más cómoda. Es el tratamiento no quirúrgico más común para el pie plano.

  • Una plantilla ortopédica de venta libre puede ser suficiente para pacientes con un cambio leve en la forma del pie. Hay muchas plantillas ortopédicas diferentes en el mercado destinadas a sostener el arco del pie y aliviar el dolor por el pie plano. Consulte con su médico si recomienda una plantilla ortopédica de venta libre específica para su pie.
  • Es posible que necesite una plantilla ortopédica personalizada si tiene cambios moderados a graves en la forma del pie. La plantilla ortopédica personalizada es más costosa, pero permite al médico controlar mejor la posición de su pie.

Tobilleras ortopédicas

  • Una tobillera ortopédica con cordones simple de venta libre puede ayudar con el pie plano leve a moderado. La tobillera ortopédica puede sostener las articulaciones del tobillo y la parte trasera del pie y así reducir la tensión del tendón.
  • Se pueden necesitar tobilleras ortopédicas más resistentes (tobillera Arizona, tobillera Richie) para pies planos graves que presentan rigidez o artritis. Estas tobilleras ortopédicas se pueden personalizar y, en ocasiones, logran ayudar a pacientes con deformidades avanzadas a evitar la cirugía.

Inmovilización

Puede utilizarse un yeso corto para la pierna o una bota para caminar durante 6 a 8 semanas. Esto permite que el tendón repose y la hinchazón se reduzca. Sin embargo, el yeso causa que otros músculos de la pierna se atrofien (pierdan fuerza), por lo que se usa únicamente si no funciona ningún otro tratamiento no quirúrgico.

Su médico puede recomendar un período de inmovilización (es decir, evitar que el pie se mueva por completo) con una bota o un yeso después usar una tobillera ortopédica cuando el dolor y la hinchazón inicial hayan desaparecido.

Fisioterapia

La fisioterapia que fortalece el tendón puede ayudar a pacientes con enfermedad leve del tendón tibial posterior. Elongar la pantorrilla y el tendón de Aquiles para mejorar la tensión del tobillo también es una parte importante de cualquier programa de terapia para el pie plano.

Inyección de esteroides

La cortisona es un medicamento antiinflamatorio muy potente que su médico puede considerar inyectar en las áreas doloridas.

Si bien se usa con frecuencia para la artritis en muchas articulaciones del cuerpo, no suele usarse la inyección de cortisona en el tendón tibial posterior, ya que conlleva un riesgo de ruptura del tendón. Hable sobre este riesgo con su médico antes de administrarse una inyección.

Tratamiento quirúrgico

Si el dolor no mejora después de varios meses de tratamiento adecuado, se debe considerar la cirugía. El tipo de cirugía depende de lo siguiente:

  • La gravedad de la deformidad (qué tan mal está)
  • Si hay artritis
  • La flexibilidad del pie (cuánto se puede mover)

La reconstrucción quirúrgica puede ser sumamente compleja. La siguiente es una lista de operaciones que se hacen con frecuencia, aunque no es exhaustiva. A menudo, se necesita una combinación de estos procedimientos para tratar cada componente (parte) de la DPPC.

Tenosinovectomía (liberación del tendón tibial posterior)

Esta cirugía se utiliza cuando la enfermedad es muy leve, es decir que hay dolor e hinchazón sobre el tendón, pero la forma del pie no cambió de manera significativa.

Durante el procedimiento, el cirujano limpia y extirpa el tejido inflamado (membrana sinovial) alrededor del tendón. Si es necesario, también se pueden reparar desgarros pequeños en el tendón.

La tenosinovectomía se puede realizar por sí sola o en combinación con otros procedimientos. El riesgo principal de esta cirugía es que el tendón puede continuar degenerándose (deteriorándose o empeorando) y el dolor puede volver a aparecer.

Recesión del músculo gastrocnemio o alargamiento del tendón de Aquiles

Estas operaciones se realizan para alargar el músculo de la pantorrilla (gastrocnemio) o el tendón de Aquiles y, por lo tanto, son beneficiosas en pacientes que tienen tensión y una capacidad limitada para flexionar el tobillo hacia arriba. Pueden ayudar a prevenir la reaparición del pie plano, pero pueden generan cierta debilidad para empujar o subir escaleras.

En general, las cirugías se realizan mediante una pequeña incisión en la parte trasera de la pantorrilla. Las tasas de complicación son bajas, pero pueden incluir daño en los nervios y debilidad muscular. Estas cirugías suelen realizarse junto con otras técnicas pata tratar el pie plano.

Transferencia de tendones

Las transferencias de tendones pueden realizarse en un pie plano flexible para recrear la función del tendón tibial posterior dañado. En este procedimiento:

  • Se extirpa el tendón enfermo y se reemplaza por otro tendón del pie.
  • Si la enfermedad no es muy significativa en el tendón tibial posterior, el tendón transferido se sujeta al TTP preservado (no extirpado).

El tendón que se usa con mayor frecuencia para este procedimiento de transferencia es el tendón que permite flexionar hacia abajo los dedos pequeños del pie, llamado “flexor largo de los dedos”. También se puede usar el tendón que permite flexionar hacia abajo el dedo gordo del pie (flexor largo del dedo gordo). Después de la transferencia, los dedos del pie aún podrán moverse y la mayoría de los pacientes no notan cambios en la manera de caminar.

Si bien el tendón transferido puede reemplazar al tendón tibial posterior, el pie no será normal. En la mayoría de los casos, se necesitarán otras operaciones para corregir la forma del pie (vea a continuación), ya que si esto no se hace, el tendón continuará sobrecargándose y es posible que en algún momento se vuelva a desgarrar.

Reparación del ligamento

Los ligamentos que sostienen los huesos del arco suelen desgarrarse o al menos estirarse y debilitarse. Si el arco es flexible, el cirujano puede optar por reparar estos ligamentos (especialmente, el ligamento calcaneonavicular) como parte de la cirugía del pie plano.

  • Si el ligamento aún está sano en gran medida, el cirujano puede hacer la reparación utilizando solo el tejido natural del ligamento.
  • Sin embargo, en la mayoría de los casos, el cirujano deberá utilizar materiales de apoyo para recrear el ligamento, como suturas fuertes.

Del mismo modo que los procedimientos de transferencia de tendones, el ligamento continuará estirándose y se desgarrará con el tiempo si no se corrige la forma del pie, por lo que la reparación del ligamento suele ser solo una parte de una cirugía del pie plano mayor.

Osteotomía (corte y desplazamiento de los huesos)

En una osteotomía, se puede modificar la forma del pie plano flexible para recrear una forma del arco más “normal”. Corregir la forma del pie es importante para reducir la sobrecarga del TTP, el ligamento calcaneonavicular y otras estructuras que sostienen el arco.

  • Un tipo de osteotomía que se realiza con mucha frecuencia para el pie plano implica cortar el hueso del talón (calcáneo) y moverlo desde su posición hacia afuera para reorientarlo al centro del tobillo.
  • Otro tipo de osteotomía del calcáneo implica alargar la parte externa del talón para ayudar a empujar los dedos del pie y reorientarlos hacia el centro (lo que corrige la deformidad de “demasiados dedos”).
  • Podrían necesitarse otros tipos de osteotomía del pie o los dedos del pie para restaurar la forma del arco en sí.

Algunos tipos de osteotomía requieren el uso de injertos de huesos para rellenar huecos y ayudar a que los huesos se suelden. Los tornillos o las placas sostienen los huesos cortados en su lugar mientras se sueldan.

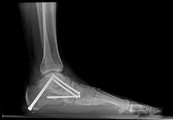
Radiografía lateral del pie de un paciente con una deformidad más grave. Este paciente necesitó una fusión del mediopié además de una transferencia de tendones y un corte en el hueso del talón.

Artrodesis (fusión de articulaciones)

En ocasiones, el pie plano se vuelve rígido o también hay artritis en las articulaciones clave del pie. En estos casos, el pie no será lo suficientemente flexible para que se trate con éxito mediante cortes de huesos y transferencias de tendones.

La fusión (artrodesis) de una articulación o de articulaciones se puede utilizar para realinear el pie y eliminar la artritis.

  • La fusión implica extirpar todos los cartílagos de la articulación y fijar los huesos entre sí en una posición corregida.
  • Con el tiempo, los dos huesos se sueldan juntos y se convierten en un hueso largo sin articulación, lo que elimina el dolor en la articulación (artritis).
  • Los tornillos o las placas sostienen los huesos en su lugar mientras se sueldan.

Un pie plano rígido puede requerir que el hueso del talón sea realineado y fusionado debajo del hueso del tobillo. Para corregir la forma del arco en sí, es posible que también se deban fusionar los huesos de la parte interna del pie.

Aunque fusionar dos huesos elimina el movimiento entre ellos, los pacientes que suelen necesitar esta cirugía ya tienen una deformidad rígida con poco o nada de movimiento en esas articulaciones. Deberían notar una mejoría en la manera en que caminan, como también una disminución del dolor. Específicamente, el dolor que pueden tener en la parte externa de la articulación del tobillo debería disminuir debido a la eliminación de la artritis y el pinzamiento entre el talón y el tobillo. El movimiento hacia arriba y hacia abajo del tobillo no se ve muy afectado.

Con cualquier fusión, es posible que el cuerpo no pueda soldar los huesos entre sí. Esto se denomina seudoartrosis y puede requerir otra operación.

Cirugía del tobillo para el pie plano

En casos graves de pie plano, la deformidad puede progresar (extenderse) hacia la articulación del tobillo, lo que hace que la articulación presente inestabilidad o, incluso, artritis.

  • Si la articulación del tobillo presenta solo inestabilidad pero no artritis, el cirujano puede optar por reparar la parte interna del ligamento del tobillo (ligamento deltoideo).
  • Si el tobillo presenta artritis o rigidez, es posible que se necesite una cirugía más extensa, como un reemplazo o una fusión de tobillo para corregir la deformidad y aliviar el dolor.

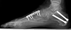
En esta radiografía, se observa una deformidad por pie plano con mucha rigidez. Se necesita una fusión de las tres articulaciones en la parte posterior del pie, con la que se puede recrear con éxito el arco y permite restaurar la función.

Complicaciones

  • La queja más frecuente es que el dolor no se alivia por completo. Los pacientes también pueden quedar insatisfechos con la forma del pie después de la cirugía porque creen que el pie debe volver a verse completamente “normal”. Sin embargo, es importante tener en cuenta que, en general, el objetivo principal de la cirugía es prevenir que la deformidad y el dolor empeoren; no sería realista esperar que el dolor desaparezca y el pie se vea “normal”. Hable con su cirujano antes del procedimiento sobre lo que puede esperar después de la cirugía.
  • La seudoartrosis (incapacidad del cuerpo para soldar los huesos entre sí) puede ser una complicación tanto de la osteotomía como la fusión y puede requerir una nueva cirugía para lograr que los huesos se suelden.
  • Otra posible complicación es una infección de la herida.

Las personas diabéticas y fumadoras tienen un riesgo mayor de padecer la mayoría de estas complicaciones.

Resultado quirúrgico

La mayoría de los pacientes tienen buenos resultados con la cirugía. Los factores principales que determinan el resultado quirúrgico son el grado de movimiento posible antes de la cirugía y la gravedad del pie plano. Cuanto más grave sea el problema, más extensa será la recuperación y menos probable será que el paciente pueda regresar al deporte. En la mayoría de los pacientes, la recuperación completa y una buena mejoría del dolor lleva 6 meses o más.

Las siguientes son algunas maneras en las que puede garantizar que la cirugía tenga buenos resultados:

  • Seguir las instrucciones del cirujano después de la cirugía (es muy importante que no camine con ese pie hasta que el médico lo autorice).
  • No sobrecargar el pie (perder peso, evitar actividades de alto impacto).
  • Usar calzado con soporte.
  • Reducir todos los factores de riesgo de complicaciones (p. ej., dejar de fumar, mantener controlada la diabetes).

Last Reviewed

marzo 2024

AAOS does not endorse any treatments, procedures, products, or physicians referenced herein. This information is provided as an educational service and is not intended to serve as medical advice. Anyone seeking specific orthopaedic advice or assistance should consult his or her orthopaedic surgeon, or locate one in your area through the AAOS Find an Orthopaedist program on this website.