Our knowledge of orthopaedics. Your best health.

from the American Academy of Orthopaedic Surgeons

Diseases & Conditions

Treatment

Recovery

Staying Healthy

Wrist Fusion (Wrist Arthrodesis)

Wrist fusion, also known as wrist arthrodesis, is a surgical procedure used to relieve pain in wrist joints that have been damaged by arthritis, trauma, gout, or other degenerative conditions where the joints wear down over time. 

Unlike joint replacement, which preserves motion, joint fusion takes away the ability of the joint to move. In essence, a joint fusion is forcing the bones on either side of the joint to heal together so that they become one painless, solid bone. It is a trade off in which motion is given up in favor of pain relief. 

Wrist fusion is typically performed on patients who have failed to improve with non-operative treatments such as anti-inflammatory medication, therapy, activity modification, and injections. It can be an effective option for patients seeking pain relief and improved quality of life. However, patients undergoing the procedure must be willing to lose motion in the affected joint to achieve these goals.

Anatomy

The wrist joint is a more complicated joint than the hip or the knee. 

  • On the hand side of the wrist, there are two rows of bones that connect the end of the forearm to the hand. These bones are called carpal bones, and there are four of them in each row. There is movement between the carpal bones during wrist motion. 
  • Past the carpal bones are the metacarpals, which sit on the last row of carpal bones, connecting the wrist to the fingers.
  • The radius and the ulna are the two bones of the forearm. They form a joint with the first row of carpal bones that is important in flexing and extending the wrist. 
    • The radius, on the thumb side of the wrist, is wider at the wrist than the ulna and makes up most of this joint. 
    • The ulna, on the small finger side of the wrist, is narrower than the radius at the wrist. 
  • The joint between the radius and ulna, the distal radioulnar joint, is important in rotation of the forearm.
Illustration Showing the Bones of the Wrist

The bones of the wrist. Cartilage coats the ends of the bones to create a gliding joint.

Reproduced from JF Sarwark, ed: Essentials of Musculoskeletal Care, ed 4. Rosemont, IL, American Academy of Orthopaedic Surgeons, 2010.

The ends of the bones at the joints are covered with a smooth, elastic tissue called cartilage.

  • Cartilage creates a slick surface that enables the bones to move smoothly against each other during joint motion.
  • Cartilage can wear out over time (like tires on a car) or can be damaged by trauma or disease.
  • Loss of cartilage at a joint is also known as arthritis. In many cases, arthritis is painful and can result in poor joint function.

Cause

If the cartilage is worn away or damaged by age, injury, infection, or disease, the bones themselves will rub against each other, wearing out the ends of the bones. This causes an often painful arthritic condition.

Osteoarthritis, the most common form of arthritis, results from a gradual wearing away of the cartilage covering on bones. Osteoarthritis is typically caused by advanced age and many years of use. 

Rheumatoid arthritis is a chronic inflammatory disease of the joints that results in pain, stiffness and swelling. Rheumatoid arthritis usually affects several joints on both sides of the body. It is caused by auto-immune disease that causes the body to attack its own joints.

Posttraumatic arthritis is caused by trauma or injury to the joints. This form of arthritis is most similar to osteoarthritis. However, the onset of posttraumatic arthritis is less gradual than osteoarthritis and, unlike osteoarthritis, can be traced back to a traumatic event (e.g. a broken bone following a motor vehicle accident). 

All forms of arthritis may affect the strength and motion of the wrist and result in limited use of the hand.

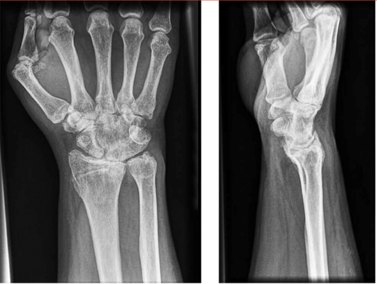
X-ray Showing Wrist Arthritis

X-rays of a patient with wrist arthritis. On these images, there is clearly severe cartilage wear causing narrowing of the joints of the wrist. 

Adapted with permission from Wei DH, Feldon P. Total Wrist Arthrodesis: Indications and Clinical Outcomes. J Am Acad Orthop Surg. 2017;25(1):3-11. doi:10.5435/JAAOS-D-15-00424

Who Needs a Wrist Fusion?

Fusion is often an alternative to joint replacement

Currently available wrist joint replacement implants are much less durable than hip, knee, and shoulder replacement implants.

  • They are not designed for patients with very active lifestyles who lift a lot of weight.
  • They work the best in patients who are "low demand" and do not put a lot of stress on their wrists during daily life.

Patients who want to remain active and lift a lot of weight with their wrist may be better served with a wrist fusion. This surgery removes motion at the wrist but typically results in a strong and painless wrist that can put up with heavy demand. The trade-off is that there is no longer motion in the wrist joint.

Doctor Examination

Medical History and Physical Examination

During your appointment, your doctor will: 

  • Ask you how and when your symptoms started 
  • Ask you to describe your symptoms
  • Try to get an understanding of your needs based on your age, activity level, profession, and lifestyle
  • Ask about any non-operative treatments you have already tried, and whether they improved your symptoms

The doctor will then carefully perform an examination of your hand/wrist/forearm.

It is helpful to know how much range of motion you have in your wrist:

  • Patients with very little range of motion due to severe arthritis are likely to do well with a fusion since they don't have much to lose. 
  • Patients with pain but good range of motion need to understand that the loss of motion with fusion surgery may be limiting for them.

Imaging Tests

X-rays. X-rays provide clear images of bone. Your doctor will almost certainly order X-rays of your wrist to evaluate your condition and plan the surgery. 

Other imaging tests. If more information is needed, your doctor may order a computed tomography (CT) scan or a magnetic resonance imaging (MRI) scan. These tests can help your doctor learn more about the severity of your condition and make decisions about your treatment.

What To Expect If You Have Wrist Fusion

Length of Stay for Wrist Fusion

Wrist fusion is typically an outpatient procedure. This means you will go home the same day as your surgery instead of staying overnight in the hospital. 

About the Wrist Fusion Procedure

  • The surgeon makes an incision on the back of the wrist and carefully performs dissection to preserve the nerves, tendons, and vessels that run to your hand. 
  • The surgeon carefully prepares the joint, removing bone spurs, loose bodies, and any remaining cartilage.
  • Sometimes at this stage, the surgeon will remove carpal bones of the wrist that are heavily damaged by arthritis and/or that are no longer needed. 
  • The surgeon then aligns the bones on either side of the joint so the wrist is in a comfortable position and the healthy, bleeding bone on either side is in close contact. This alignment can be held temporarily with wires.
  • In some cases, the surgeon might use a graft to help the fusion heal. This can be an autograft (tissue taken from your body) that is harvested from your hip, elbow, wrist, knee, etc., or an allograft (tissue from a cadaver).
  • The surgeon then performs final fixation of the fusion site. This can be done with wires, screws, staples, plates, etc. For a complete fusion of the whole wrist, a robust plate with screws is often used. The surgeon often uses X-rays during the procedure to ensure correct alignment of the joint and placement of the hardware. 
  • At the end of the procedure, the surgeon will often apply a splint to the wrist.
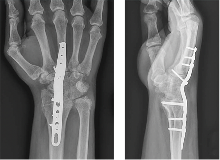
X-rays Showing Wrist Post-Fusion

X-rays of the patient from Figure 1 after their wrist fusion surgery. A plate with screws has been applied across the wrist joint to hold it in the desired alignment while the fusion site heals. 

Adapted with permission from Wei DH, Feldon P. Total Wrist Arthrodesis: Indications and Clinical Outcomes. J Am Acad Orthop Surg. 2017;25(1):3-11. doi:10.5435/JAAOS-D-15-00424

Photo Showing Wrist Fusion Implants (Plates)

Examples of implants that are used to perform wrist fusion surgery. These plates are installed with screws to hold the joint aligned while it heals. 

Adapted with permission from Wei DH, Feldon P. Total Wrist Arthrodesis: Indications and Clinical Outcomes. J Am Acad Orthop Surg. 2017;25(1):3-11. doi:10.5435/JAAOS-D-15-00424

Recovery

Within a few days to a few weeks after surgery, your doctor may send you to a hand therapist to help you work on moving your fingers and forearm. Notably, with a complete wrist fusion, your wrist will no longer move. 

Hand therapy involves exercises you do on your own. Sometimes it is helpful to have a hand therapist show you proper exercises or techniques. Hand therapy focuses on:

  • Exercises to improve range of motion in joints that are not fused
  • Eventually, strengthening exercises

A removable splint or a nonremovable cast may be created for you to protect the joint while you are waiting for it to heal. 

Your doctor will typically see you back at regular intervals for several weeks or months to make sure you are recovering well. The doctor will usually order X-rays at your post-operative visits to ensure that the fusion site is healing. At times, you may need a CT scan to prove healing of the fusion.

Outcomes

Wrist fusion is very likely to improve pain in your wrist from arthritis. Furthermore, the results are long-lasting. Once healed, the fusion should remain solid for life. However, it can take time to get used to losing motion in your wrist.

Once the fusion heals, which typically takes 8 to 12 weeks, you will be able to lift, push, and pull as much as you like. Activities that require a lot of wrist motion will be difficult. However, activities that used to cause pain in your wrist will likely be pain-free. 

Risks of surgery may include, but are not limited to, infection, failure, nerve or tendon injury, and need for revision (repeat) surgery. For this reason, selecting the correct surgery for the right patient is important.

Contributed and/or Updated by

Tyler Steven Pidgeon, MD, FAAOS

Peer-Reviewed by

Julie E. Adams, MD, FAAOS

AAOS does not endorse any treatments, procedures, products, or physicians referenced herein. This information is provided as an educational service and is not intended to serve as medical advice. Anyone seeking specific orthopaedic advice or assistance should consult his or her orthopaedic surgeon, or locate one in your area through the AAOS Find an Orthopaedist program on this website.