Our knowledge of orthopaedics. Your best health.

SYSTEM ALERT: OrthoInfo will be down for maintenance from  8:00 a.m. to 9:00 a.m.(CST) on 1/20/2026.  We apologize for the inconvenience.

SYSTEM ALERT: OrthoInfo will be down for maintenance from  8:00 a.m. to 9:00 a.m.(CST) on 1/20/2026.  We apologize for the inconvenience.

from the American Academy of Orthopaedic Surgeons

Diseases & Conditions

Treatment

Recovery

Staying Healthy

Patellofemoral Replacement

During total knee replacement surgery, all three compartments of the knee with damaged bone and cartilage are resurfaced with metal and plastic components.

Patellofemoral replacement is a type of partial knee replacement in which only a portion of the knee is resurfaced. The procedure is an alternative to total knee replacement for patients whose damaged bone and cartilage is limited to the underside of the patella (kneecap) and the channel-like groove in the femur (thighbone) that the patella rests in. This condition is called patellofemoral arthritis

Because patellofemoral replacement is done through a smaller incision, there is less damage to soft tissues in the knee. In many cases, this allows patients undergoing patellofemoral replacement to recover and return to normal activities more quickly than patients who have total knee replacement.

There are a number of treatments for knee osteoarthritis. Your doctor will talk with you about the options that will best relieve your individual osteoarthritis symptoms.

Anatomy

Your knee is divided into three major compartments:

  • Medial compartment — the inside part of the knee
  • Lateral compartment — the outside part of the knee
  • Patellofemoral compartment — the front of the knee between the patella and femur
Normal knee anatomy, including the medial, lateral, and patellofemoral compartments

(Left) A normal knee joint. The medial, lateral and patellofemoral compartments are shown.
(Right) An X-ray of a normal knee showing healthy space between the bones.

X-ray courtesy of Stuart J. Fischer, MD, FAAOS

Within the patellofemoral compartment, the patella lies in a groove on the top of the femur called the trochlea. When you bend or straighten your knee, the patella moves back and forth inside this trochlear groove.

Illustration of the movement of the patella in the trochlear groove
(Left) The patella rests in a small groove at the end of the femur called the trochlear groove.
(Right) As you bend and straighten your knee, the patella slides up and down within the groove.
Reproduced and adapted from The Body Almanac. American Academy of Orthopaedic Surgeons, 2003.

A smooth substance called articular cartilage covers the ends of the femur, trochlear groove, and underside of the patella. Articular cartilage helps your bones glide smoothly against each other as you move your leg.

Description

In knee osteoarthritis, the cartilage protecting the bones of the knee slowly wears away. As the cartilage wears away, it becomes frayed and the underlying bone may become exposed. Moving the bones along this rough surface is painful. This can occur throughout the knee joint or in just a single area of the knee.

Osteoarthritis in the patellofemoral compartment of the knee

Illustration shows osteoarthritis that is limited to the patellofemoral compartment of the knee. The patella (kneecap) has been removed to show the cartilage damage on the underside.

Advanced osteoarthritis that is limited to the patellofemoral compartment may be treated with patellofemoral replacement. During this procedure, the underside of the kneecap and the trochlear groove are resurfaced with plastic and metal implants, respectively. The healthy cartilage and bone, as well as all of the ligaments in the rest of the knee, are preserved.

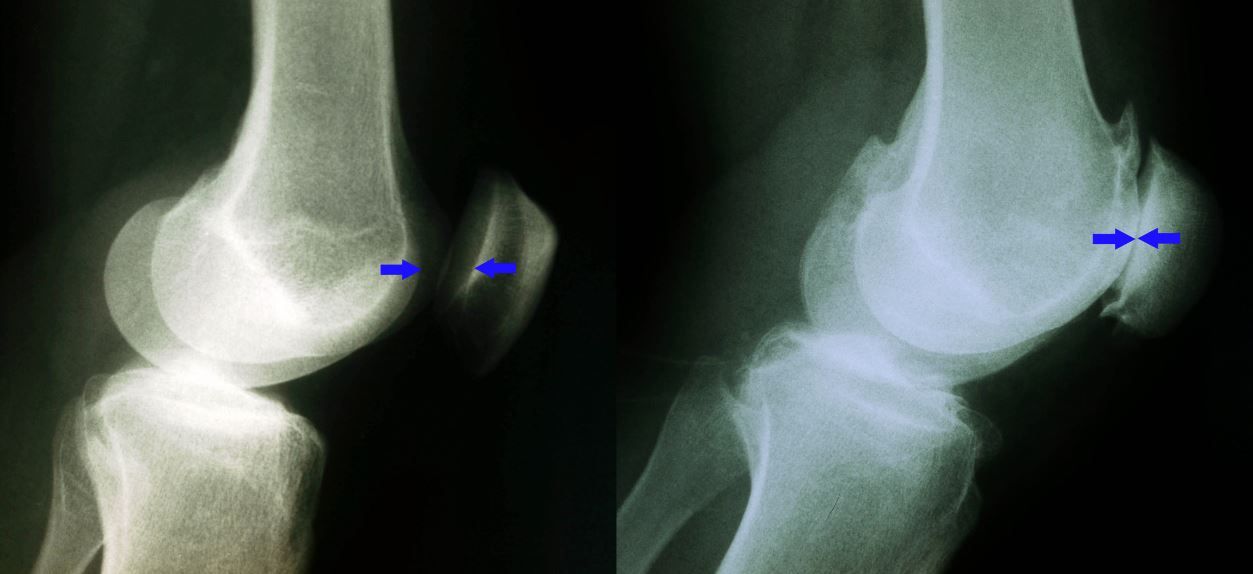
X-rays of a normal knee and an arthritic knee

(Left) This X-ray shows a normal knee from the side. The arrows point to the normal amount of space between the bones.
(Right) This X-ray shows narrowed joint space and bone rubbing on bone due to arthritis.

Images courtesy of Stuart J. Fischer, MD, FAAOS

Advantages of Patellofemoral Replacement

Potential advantages of patellofemoral replacement over total knee replacement include:

  • Less blood loss
  • Smaller surgical incision/less surgical trauma
  • Less pain and swelling
  • Quicker recovery
  • Decreased complications
  • Increased knee function and activity

In addition, because the bone, cartilage, and ligaments in the healthy parts of the knee are maintained, many patients report that a patellofemoral replacement feels more natural than a total knee replacement.

Illustration of total knee replacement and patellofemoral replacement
One advantage of patellofemoral replacement over total knee replacement is that healthy parts of the knee are preserved, which helps to maintain more natural-feeling function of the knee.

Disadvantages of Patellofemoral Replacement

The primary disadvantage of patellofemoral replacement compared with total knee replacement is the potential need for more surgery. For example, a total knee replacement may be necessary in the future if arthritis develops in the remaining parts of the knee that have not been replaced.

Candidates for Surgery

If your osteoarthritis has advanced and nonsurgical treatment options are no longer relieving your symptoms, your doctor may recommend knee replacement surgery.

Careful patient selection is crucial when considering patellofemoral replacement. To be a candidate for the procedure, you must have arthritis in only the patellofemoral compartment of your knee.


In addition, if you have any of the following, you may not be a good candidate for the procedure:

  • Knee stiffness
  • Ligament damage
  • Poor patellar (kneecap) tracking (this means the kneecap shifts out of place as your leg bends or straightens)
  • Major deformity of the leg
  • Inflammatory arthritis (such as rheumatoid arthritis)
  • Crystalline arthritis (such as gout)
  • Morbid obesity

Orthopaedic Evaluation

A thorough evaluation by an orthopaedic surgeon will determine if you are a good candidate for patellofemoral replacement.

Medical History

Your doctor will ask you several questions about your general health, your knee pain, and your ability to function.

Location of pain. It is important for your doctor to determine the exact location of your pain. Candidates for the procedure typically have pain only behind the kneecap, or anterior knee pain. This pain usually occurs during activities that put pressure on the kneecap, such as:

  • Going up and down stairs
  • Sitting with the knee bent
  • Rising from a chair
  • Kneeling or squatting

Physical Exam

Your doctor will perform a thorough physical examination to determine the source of your pain. During the exam, they will:

  • Inspect your knee to determine the overall alignment of the joint
  • Palpate (feel) around your knee to see if your pain can be reproduced
  • Test range of motion to determine if you have knee stiffness or poor patellar tracking (the kneecap shifts out of place as your leg bends or straightens)
  • Assess the quality of the ligaments around the joint and the overall stability of your knee

Imaging Tests

  • X-ray. X-rays provide images of dense structures, such as bone. Your doctor will order X-rays from several different angles to ensure that your arthritis is confined to the space between the kneecap and the femur, and to assess the overall alignment of your knee.
  • Magnetic resonance imaging (MRI) scan. An MRI provides images of the soft tissues in your knee. Your doctor may order an MRI to better evaluate the cartilage in your knee.

Your Surgery

Because patients undergoing partial knee replacement typically recover faster than patients undergoing total knee replacement, the procedure will most likely be performed on an outpatient basis.

During your initial consultation, your doctor will determine whether you are a candidate for outpatient surgery or will require a brief stay in the hospital.

Before Surgery

When you arrive for surgery, your surgeon will see you and confirm the surgical site by signing the correct knee with a marker.

In addition, a doctor from the anesthesia department (anesthesiologist) will discuss anesthesia choices with you. You should also have discussed anesthesia choices with your surgeon during your preoperative visits. Anesthesia options include:

  • General anesthesia (you are put to sleep)
  • Spinal anesthesia (you are awake, but your body is numb from the waist down)

Surgical Procedure

Inspection of the joint. Your surgeon will make an incision at the front of your knee. They will explore all three compartments of your knee, verifying that the damaged cartilage is, in fact, located only between the patella and the femur and that your ligaments are intact.

If your surgeon finds damaged cartilage outside of the patellofemoral compartment, they may instead perform a total knee replacement. Your surgeon will discuss this back-up plan with you before your operation to make sure that you agree with this strategy.


Patellofemoral replacement. There are two parts to the procedure:

  • Prepare the bone. Your surgeon will use special tools to remove damaged cartilage and a small amount of bone from the patellofemoral compartment of your knee.
  • Position the implants. A plastic button, or cover, is used to resurface the backside of the patella. This button will line up with a thin metal component that is used to resurface the trochlear groove at the end of the femur. These parts are typically secured to the bone with cement.
Photo of patellofemoral replacement implants

Patellofemoral replacement implants. (Left) The metal femoral implant resurfaces the trochlear groove of the femur. (Right) The round plastic patellar implant attaches to the underside of the kneecap.

Photo courtesy of Stuart J. Fischer, MD, FAAOS

X-rays of knee before and after patellofemoral replacement

(Left) This X-ray is taken from above the knee. The patella and the trochlear groove of the femur have become deformed due to osteoarthritis. There is now bone rubbing on bone. (Right) The same knee after patellofemoral replacement. The patellar implant on the underside of the kneecap does not show in an X-ray.

After Surgery

After surgery, you will be taken to the recovery room where you will be closely monitored as you recover from the anesthesia. You will then be either taken to your hospital room or discharged (if your surgery is being performed on an outpatient basis).

Front view of a knee after patellofemoral replacement

Front view of a knee after patellofemoral replacement.

Complications

As with any surgical procedure, there are risks associated with patellofemoral replacement. These risks are similar to those of total knee replacement. Your surgeon will discuss each of the risks with you and will take specific measures to help avoid potential complications.

The possible risks of patellofemoral replacement include:

  • Infection and/or wound healing problems
  • Blood clots
  • Persistent pain
  • Patellar instability (dislocating kneecap)
  • Injury to surrounding structures, including blood vessels or nerves
  • Reaction to anesthesia
  • The need for additional surgery

Recovery

Pain management. After surgery, you will feel some pain. Many types of medicines are available to help control pain, including opioids, nonsteroidal anti-inflammatory drugs (NSAIDs), and local anesthetics. Treating pain with medications can help you feel more comfortable, which will help your body heal and recover from surgery faster.

Opioids can provide excellent pain relief; however, their use has risks and complications. These medications can be addictive and potentially dangerous. It is therefore important to use opioids only as directed by your doctor, to use as little as possible for as short a time as possible, and to stop taking them as soon as your pain starts to improve. Tell your doctor if your pain has not begun to improve within a few days after surgery.


Weightbearing. You will begin putting weight on your knee immediately after surgery. You may need to use a walker, cane, or crutches for several days following your operation.

Rehabilitation exercises. A physical therapist will provide specific exercises to help restore strength to your quadriceps muscles and maintain range of motion in your knee. It is critical to perform these exercises as often as directed in order to achieve a good outcome.


Doctor visits. You will continue to see your orthopaedic surgeon for follow-up visits to evaluate your progress after surgery.

To help doctors in the surgical management of osteoarthritis of the knee, the American Academy of Orthopaedic Surgeons has conducted research to provide some useful guidelines. These are recommendations only and may not apply to every case. For more information: Surgical Management of Osteoarthritis of the Knee - Clinical Practice Guideline (CPG) | American Academy of Orthopaedic Surgeons (aaos.org)

Contributed and/or Updated by

Neil P. Sheth, MD, FAAOS

Peer-Reviewed by

Mary K. Mulcahey, MD, FAAOS

AAOS does not endorse any treatments, procedures, products, or physicians referenced herein. This information is provided as an educational service and is not intended to serve as medical advice. Anyone seeking specific orthopaedic advice or assistance should consult his or her orthopaedic surgeon, or locate one in your area through the AAOS Find an Orthopaedist program on this website.