Our knowledge of orthopaedics. Your best health.

SYSTEM ALERT: OrthoInfo will be down for maintenance from  8:00 a.m. to 9:00 a.m.(CST) on 12/16/2025.  We apologize for the inconvenience.

SYSTEM ALERT: OrthoInfo will be down for maintenance from  8:00 a.m. to 9:00 a.m.(CST) on 12/16/2025.  We apologize for the inconvenience.

from the American Academy of Orthopaedic Surgeons

Diseases & Conditions

Treatment

Recovery

Staying Healthy

Internal Fixation for Fractures

In many cases, a broken bone is carefully stabilized and supported until it is healed enough to handle the body's weight and movement.

Until the last century, physicians relied on casts and splints to support and stabilize the bone from outside of the body. The development of sterile surgical procedures has reduced the risk of surgical infection, allowing doctors to set and stabilize fractured bones from inside the body. This is known as internal fixation.

During a surgical procedure to set a fracture, the bone fragments are first reduced (repositioned into their normal alignment). They are then held together with special implants, such as plates, screws, nails, and wires.

Internal fixation:

  • Allows shorter hospital stays
  • Often enables patients to return to function earlier
  • May reduce the incidence of nonunion (improper healing) and malunion (healing in improper position) of broken bones

The implants used for internal fixation are often made from stainless steel or titanium, which are durable and strong. If a joint is to be replaced, rather than fixed, these implants can also be made of cobalt and chrome.

Implants are typically highly compatible with the body and rarely cause an allergic reaction. The exception to this is if the patient has a nickel allergy. Nickel is found in some of the metals used for orthopaedic surgery, so tell your orthopaedic surgeon if you have a nickel allergy.

Plates

Plates are like internal splints that hold the broken pieces of bone together. They are attached to the bone with screws. Plates may be left in place after healing is complete, or they may be removed (in select cases).

internal fixation of forearm fracture

In this X-ray, broken bones in a forearm are held in position with plates and screws while they heal.

Screws

Screws are used for internal fixation more often than any other type of implant.

  • Although the screw is a simple device, there are different designs based on the type of fracture and how the screw will be used.
  • Screws come in different sizes for use with bones of different sizes or locations.
  • Screws can be used alone to hold a fracture, or used along with plates, rods, or nails.
  • After the bone heals, screws may be either left in place or removed.
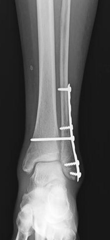
internal fixation of ankle fracture

A broken bone in this patient’s ankle is held in position with plates and screws. 

Nails or Rods

In some fractures of the long bones the best way to hold the bone pieces together is by inserting a rod or nail through the hollow center of the bone that normally contains some marrow.

  • Screws at each end of the rod are used to keep the fracture from shortening or rotating.
  • The screws hold the rod in place until the fracture has healed.
  • Rods and screws may be left in the bone after healing is complete. This is the method used to treat the majority of fractures in the femur (thighbone) and middle portion of the tibia (shinbone).
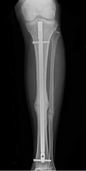
Shinbone fracture treated with intramedullary nailing

This X-ray shows a healed shinbone fracture treated with intramedullary nailing. 

Wires/Pins

Wires or pins are often used to hold together pieces of bone that are too small to be fixed with screws.

  • In many cases, wires or pins are used together with other forms of internal fixation, but they can be used alone to treat fractures of small bones, such as those found in a young child or in an adult's hand or foot.
  • Wires or pins are usually removed after a certain amount of time but may be left in permanently for some fractures.
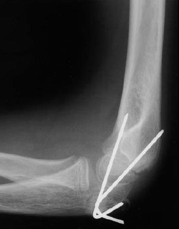
Elbow fracture treated with pins

This X-ray shows a child’s elbow fracture that has been put into the correct position and held in place with two pins. The pins will be removed after healing has begun.

Reproduced from: Surgical management of pediatric fractures in the upper extremity, Flynn J, Sarwark J, Waters P, Bae D, Lemke L: Instr Course Lect 2003, 54: 635-645.

Other Considerations

Sterile conditions and advances in surgical techniques decrease, but do not remove, the risk of infection when internal fixation is used. The severity of the fracture, its location, and the medical status of the patient must all be considered.

In addition, no technique is foolproof. The fracture may not heal properly, or the plate or rod may break or deform. Orthopaedic surgeons are continuing their research to develop improved methods for treating fractures.

Last Reviewed

February 2025

Contributed and/or Updated by

Mark Gage, MD

Peer-Reviewed by

Julie E. Adams, MD, FAAOS

AAOS does not endorse any treatments, procedures, products, or physicians referenced herein. This information is provided as an educational service and is not intended to serve as medical advice. Anyone seeking specific orthopaedic advice or assistance should consult his or her orthopaedic surgeon, or locate one in your area through the AAOS Find an Orthopaedist program on this website.