Our knowledge of orthopaedics. Your best health.

from the American Academy of Orthopaedic Surgeons

Diseases & Conditions

Treatment

Recovery

Staying Healthy

Patient Story: Incomplete Spinal Cord Injury

Teresa Schroeder

Before January 1994, Teresa Schroeder was an Army radiology technician who loved to take spur-of-the-moment weekend trips with her husband. She was an avid swimmer and biker who was training for a marathon, and loved all outdoor activities. Then, on January 27, 1994, Teresa was in a sledding accident. She suffered a burst fracture in her L1 vertebra (lower back) and an incomplete injury to her spinal cord. A burst fracture occurs when the vertebrae is crushed in all directions, and is much more serious than a compression fracture. At the time of her injury, Teresa was on active duty and received care at Walter Reed Army Medical Center.

The day after her accident, Teresa had an L1 corpectomy, a surgical procedure that involves the removal of all or part of the intervertebral disc, combined with placement of a titanium cylindrical cage, an interbody fusion device, and a z-rod from the T12 to L2 vertebrae. At the time of her surgery, the use of the titanium prosthesis was a relatively new procedure.

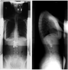
These x-rays taken from the front (left) and side (right) show the titanium prosthesis that replaced vertebrae in Teresa's spine.

After her surgery, Teresa's main focus was regaining the ability to walk. "Rehabilitation is the key to recovery — get up and get moving as quickly as possible to keep the muscles from atrophying," she explains. Teresa lost all of her calf muscles to atrophy, a degeneration of tissue due to inactivity, and has only 50% strength in her hamstrings and gluteal muscles.

Like most incomplete paraplegias, Teresa has suffered some complications — all of which have been overcome by a routine of exercise, massage therapy, and positive thinking.

With the help of the U.S. Department of Veterans Affairs, Teresa was able to go back to school on a vocational rehabilitation program and received her MBA in May of 1998. She currently telecommutes from her home in Orlando to Washington, DC to continue her work in orthopaedic research. Although she will probably never be able to run again, Teresa tries to stay as active as possible with biking, hiking, and lots of walking. She lifts weights to maintain muscle strength and reduce pain.

As an Incomplete Spinal Cord Injury patient (partial loss of brain signals resulting from spinal injury) and a researcher for a consulting firm, Teresa has a thorough understanding of the need for further research funding. Teresa advocates for "More research [funding] to be spent on the biomechanics of the spine to restore function and research on the rehabilitation of motor function, as well as in spinal cord/column injury prevention."

Teresa is a dedicated orthopaedic patient advocate and has worked with the American Academy of Orthopaedic Surgeons (AAOS) for six years. She serves on the AAOS Patient Advisory Board and is also a patient representative on the Evidence Based Medicine Initiative. With her role on the Patient Advisory Board, Teresa acts as a patient liaison to the AAOS OrthoInfo Editorial Board, an online information source for orthopaedic patients. Teresa was recently appointed to the Medicare Evidence Development and Coverage Advisory Committee (MEDCAC), an advisory panel for the Center for Medicaid and Medicare Services (CMS).

Last Reviewed

September 2011

AAOS does not endorse any treatments, procedures, products, or physicians referenced herein. This information is provided as an educational service and is not intended to serve as medical advice. Anyone seeking specific orthopaedic advice or assistance should consult his or her orthopaedic surgeon, or locate one in your area through the AAOS Find an Orthopaedist program on this website.