Our knowledge of orthopaedics. Your best health.

SYSTEM ALERT: OrthoInfo will be down for maintenance from  8:00 a.m. to 9:00 a.m.(CST) on 12/16/2025.  We apologize for the inconvenience.

SYSTEM ALERT: OrthoInfo will be down for maintenance from  8:00 a.m. to 9:00 a.m.(CST) on 12/16/2025.  We apologize for the inconvenience.

from the American Academy of Orthopaedic Surgeons

Diseases & Conditions

Treatment

Recovery

Staying Healthy

Overuse Injuries in Children

Over the past decade, doctors have seen a significant increase in overuse injuries in children. In most cases, these injuries are associated with sports-related activity.

Sports participation promotes the physical and emotional well-being of children, and also encourages the lifelong habit of exercise. Although the benefits of athletic activity are significant, too much activity can lead to injury.

Overuse injuries occur gradually over time, when an athletic activity is repeated so often that areas of the body do not have enough time to heal between playing. For example, overhand pitching in baseball can be associated with injuries to the elbow, and swimming is often associated with injuries to the shoulder.

Because young athletes are still growing, they have a greater risk of injury than adults. The consequences of overdoing a sport can include injuries that impair growth and may lead to long-term health problems.

When a young athlete repeatedly complains of pain, a period of rest from the sport is necessary. If pain persists, it is important to seek proper medical treatment. To ensure the best possible recovery, athletes, coaches, and parents must follow safe guidelines for returning to the game.

Description

Overuse injuries occur in a wide range of sports, from baseball and basketball to track, soccer, and gymnastics. Some of these injuries are unique to a certain sport, such as throwing injuries of the elbow and shoulder that are prevalent in baseball players. The most common overuse injuries involve the knee and foot.

Overuse injuries can affect muscles, ligaments, tendons, bones, and growth plates. In children, these structures are still growing, and the growth is generally uneven. Bones grow faster than muscles in children. This uneven growth pattern makes younger athletes more susceptible to muscle, tendon, and growth plate injuries.

Growth plates are the areas of developing cartilage where bone growth occurs in children. The growth plates are weaker than the nearby ligaments and tendons. Repetitive stress can lead to injury of the growth plate and disrupt the normal growth of the bone.

Cause

As organized youth athletics has grown in popularity, the pressure to compete has led to children specializing in one — participating in one sport only. In generations past, children changed sports with the seasons throughout the year. Today, it is common for a child to play just one sport year-round and to not take significant time off from their sport. Many children play on more than one team at the same time, as well.

When a child participates in just one sport throughout the year, they continually use the same muscle groups and apply consistent stress to specific areas of the body. This can lead to muscle imbalances that, when combined with overtraining and inadequate periods of rest, put children at serious risk for overuse injuries.

Symptoms

Coaches and parents should be aware of the more common signs of overuse injury. These include:

  • Pain. This pain cannot be tied to an acute injury, such as from a fall. The pain often increases with activity and improves with rest.
  • Swelling
  • Changes in form or technique
  • Decreased performance — for instance, a baseball pitcher might lose velocity on their pitches or start to have issues with control
  • Decreased interest in practice

Common Overuse Injuries in Children

Sever's Disease

Sever's disease is one of most common causes of heel pain in children, and often occurs during adolescence when children hit a growth spurt.

Also known as an osteochondrosis or apophysitis, Sever's disease is an inflammatory condition of the growth plate in the heel bone (calcaneus). Running, jumping, and being active lead to repetitive stress on the growth plate as the foot strikes the ground. This results in inflammation (swelling) in the growth plate, which causes heel pain.

area of pain from Sever's disease

The red shading shows the typical areas of pain from Sever’s disease.  

The primary treatment for Sever's disease is to rest the foot (stop the sport) until the pain goes away. Once the pain is gone, the child may return to normal activities.

Additional treatments may include:

  • Heel pads. Heel cushions inserted in sports shoes can help absorb impact and relieve stress on the heel and ankle.
  • Stretching exercises. Stretches for the Achilles tendon (heel cord) can reduce stress on the heel. In some cases, your child's doctor may recommend doing specific exercises under the supervision of a physical therapist
  • Nonsteroidal anti-inflammatory medication (NSAIDs). Drugs like ibuprofen, aspirin, and naproxen reduce pain and swelling.

In cases where the pain is bad enough to interfere with walking, a short-leg cast or walker boot might be required to immobilize the foot while it heals.

It is not unusual for Sever's disease to recur (come back). This typically happens when a child increases sports activities.

Wearing sports shoes that provide good support for the foot and heel may help prevent recurrence.

Sever's disease will not return once a child is fully grown and the growth plate in the heel has hardened into bone.

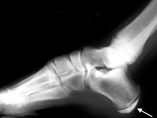
x-ray of Sever's disease
An X-ray of an adolescent foot shows the open growth plate of the calcaneus. The X-ray of a child with Sever's disease usually appears normal, which is why X-ray is not the most reliable imaging test for this condition.
Reproduced from JF Sarwark, ed: Essentials of Musculoskeletal Care, ed 4. Rosemont, IL, American Academy of Orthopaedic Surgeons, 2010.

Osgood-Schlatter Disease

In Osgood-Schlatter disease, children have pain at the front of the knee due to inflammation of the growth plate at the upper end of the tibia (shinbone). This growth plate (known as the tibial tubercle) is a bump near the top of the tibia where the patellar tendon (the tendon from the kneecap) attaches to the bone.

When a child is active, the quadriceps muscles of the thigh pull on the patellar tendon which, in turn, pulls on the tibial tubercle. In some children, this repetitive traction on the tubercle leads to inflammation, swelling, and tenderness. The prominence, or bump, of the tibial tubercle may become very pronounced. Painful symptoms are often brought on by running, jumping, and other sports-related activities.

Osgood-Schlatter knee anatomy

Osgood-Schlatter disease can cause inflammation and pain at the tibial tubercle — the place where the patellar tendon attaches to the tibia (shinbone).

Treatment of Osgood-Schlatter disease focuses on limiting exercise activity until the pain resolves (goes away).

  • Stretching exercises. Stretches for the front and back of the thigh (quadriceps and hamstring muscles) may help relieve pain and prevent the disease from returning.
  • Nonsteroidal anti-inflammatory medication (NSAIDs). Drugs like ibuprofen, aspirin, and naproxen reduce pain and swelling.
  • Immobilization. If the pain is severe and interferes with walking and normal daily activities, a cast or cast brace may be applied to completely rest the knee area.

Most symptoms will completely disappear when a child completes the adolescent growth spurt, around age 14 for girls and age 16 for boys. However, the prominence of the tubercle will persist.

Until a child is fully grown, however, Osgood-Schlatter disease can lead to more severe problems if it is not allowed to heal. Continued stress on the tibial tubercle from athletic activity could potentially lead to a break in the tubercle bone. Treatment for this type of fracture will require casting or even surgery. For the fracture to safely heal, a child will not be allowed to participate in sports for a prolonged period of time.

Read more: Osgood-Schlatter Disease

Jumper's Knee

Jumper's knee refers to pain that occurs in the lower portion of the patella (kneecap). These painful symptoms can range from mild to severe.

Repetitive contraction of the quadriceps muscles in the thigh can stress the patellar tendon where it attaches to the kneecap, causing inflammation and tissue damage (this condition is also known as patellar tendinitis).

In growing children, the patellar tendon attaches to the growth plate of the kneecap, and repetitive stress on the tendon can irritate and injure the growth plate. This condition is referred to as Sinding-Larsen-Johansson disease.

knee anatomy and Jumper's knee

Jumper's knee symptoms occur where the patellar tendon attaches to the patella.

Although these types of problems in the kneecap commonly occur in children who are active in sports that involve jumping — such as basketball and volleyball — they can be seen in almost any sport.

Whether the problem stems from the tendon or growth plate, the child will need to rest from sports activities until the pain resolves (goes away).

In addition to rest, your child's doctor may recommend applying an ice pack to the knee every 2 to 3 hours for a few days until the pain starts to go away. Nonsteroidal anti-inflammatory medications may also help to relieve painful symptoms.

Like Osgood-Schlatter disease, jumper's knee can result in a fracture if a child continues to participate in sports activity without adequate rest. A fracture at the lower end of the kneecap will require treatment with casting or surgery, depending on the type of fracture. The recovery time for a fracture of the patella requires prolonged absence from sports.

Throwing Injuries in the Elbow

A child's elbow can be injured from repetitive overhand throwing, as seen with pitching in baseball. Although throwing injuries in the elbow most commonly occur in pitchers, they can be seen in any child who participates in repetitive overhand throwing.

The overhand throw creates stresses on the growth areas of the immature elbow. If overdone, overhand throwing may result in excessive inflammation of structures in the elbow, such as ligaments, cartilage, and growth plates.

growth areas of child's elbow
The growth areas of a young athlete's elbow are vulnerable to overuse injury. This illustration shows the elbow from the front, with the arm straight and palm forward. The growth areas of an immature elbow are highlighted in blue.
Reproduced and adapted with permission from J Bernstein, ed: Musculoskeletal Medicine. Rosemont, IL, American Academy of Orthopaedic Surgeons, 2003.

Medial apophysitis. One of the most common elbow problems in active children is medial apophysitis, often referred to as "Little Leaguer's elbow." Medial apophysitis causes pain at the bony bump on the inside of the elbow. The bump, called the medial epicondyle, is at the end of the humerus bone and contains a growth plate called the medial apophysis. Muscles that control wrist motion attach to the medial epicondyle, and excessive overhand throwing can irritate and inflame the growth plate.

Osteochondritis dissecans. A common source of pain at the outside of the elbow in active children is osteochondritis dissecans. Excessive overhand throwing can compress the immature bones of the elbow joint, causing small pieces of cartilage and bone to loosen and float inside the joint.

As with all overuse injuries, the key to pain relief is resting from the sport. If pain continues after a few days of complete rest, seek medical treatment. If left untreated, throwing injuries in the elbow can become complicated conditions. Depending on the severity of a child's injury, surgery may be required.

Read more: Throwing Injuries in the Elbow in Children

Stress Fractures

Stress fractures occur when muscles become fatigued and transfer the overload of stress to bones. Bone is living tissue and is constantly in a balanced cycle of building up and breaking down. If a child overdoes activity and too much stress is being placed on bones, the body will not be able to build up bone fast enough. Eventually, the bone fails and a small crack (stress fracture) develops.

The repetitive force that causes a stress fracture is not great enough to cause an acute fracture — such as a broken arm caused by a fall. Most stress fractures occur in the weightbearing bones of the lower leg and the foot. They often result from a sudden increase in activity, such as when a child begins cross-country running after a summer of rest.

stress fracture

Arrow indicates a stress fracture of a metatarsal bone in the foot.

Stress fractures typically require 6 to 8 weeks to heal. During that time, the child cannot participate in the activity that caused the injury. A cast or brace may be needed to rest the injured bones while they heal. In some cases, a rehabilitation protocol to return to sport may also be recommended.

If the activity that caused the stress fracture is resumed too quickly, larger, harder-to-heal stress fractures can develop. Re-injury also could lead to chronic problems where the stress fracture might never heal properly.

Read more: Stress Fractures

Stress Reaction of Growth Plates (Physis)

Repetitive stress on a growth plate (physis) in the arms or legs can be painful and, if ignored, can impair growth.

Overuse stress reaction leads to irregularity or widening of the growth plate. If repetitive stress continues, the growth plate can become permanently damaged and may actually stop growing prematurely. This could lead to a deformity.

Common examples of sports activities that may cause stress reaction in growth plates include gymnastics and overhand throwing. Gymnasts perform repetitive wrist activities that can lead to stress reaction of the growth plate in the distal radius bone. Young baseball pitchers apply forces across the upper arm bone in their shoulders during the overhand throw. The growth plate in the upper humerus of the shoulder can be damaged and appear widened in an X-ray image.

If the growth plate appears abnormal in an X-ray of a child who participates in a high-risk sport, treatment requires stopping the aggravating activity for 2 to 3 months.

x-rays of normal and widened growth plates in shoulder
(Left) In this X-ray of a child's shoulder, the growth plate has been damaged and appears wider than normal. (Right) An X-ray of the other shoulder shows normal growth plate positioning.
Reproduced with permission from MR Hutchinson, ML Ireland: Overuse and throwing injuries in the skeletally immature athlete, in Ferlic D, ed: Instructional Course Lectures, 2003; 52:25-36

Strains and Sprains

Soft tissues such as muscles, ligaments, and tendons can be injured from overuse. Just about every sports activity can be associated with this.

A period of rest from the sport and nonsteroidal anti-inflammatory medicine will typically relieve pain associated with strains and sprains. Physical therapy exercises may be recommended to help restore strength and mobility.

Read more: Sprains, Strains, and Other Soft-tissue Injuries

Prevention

Many overuse injuries in children can be prevented. 

The American Academy of Orthopaedic Surgeons has partnered with STOP Sports Injuries to help educate parents, coaches, and athletes about how to prevent overuse injuries. Specific tips to prevent overuse injuries include:

  • Limit the number of teams on which your child plays in one season. Kids who play on more than one team are especially at risk for overuse injuries.
  • Do not allow your child to play one sport year-round — taking regular breaks and playing other sports are essential for both skill development and injury prevention.
  • If your child has an injury, follow the doctor's treatment plan and get medical clearance before allowing your child to return to their sport, even if your child feels fine and wants to play. Returning too soon can cause the injury to get worse.

Last Reviewed

August 2025

Contributed and/or Updated by

Margaret Siobhan Murphy-Zane, MD, FAAOS

AAOS does not endorse any treatments, procedures, products, or physicians referenced herein. This information is provided as an educational service and is not intended to serve as medical advice. Anyone seeking specific orthopaedic advice or assistance should consult his or her orthopaedic surgeon, or locate one in your area through the AAOS Find an Orthopaedist program on this website.