Our knowledge of orthopaedics. Your best health.

SYSTEM ALERT: OrthoInfo will be down for maintenance from  8:00 a.m. to 9:00 a.m.(CST) on 2/17/2026.  We apologize for the inconvenience.

SYSTEM ALERT: OrthoInfo will be down for maintenance from  8:00 a.m. to 9:00 a.m.(CST) on 2/17/2026.  We apologize for the inconvenience.

from the American Academy of Orthopaedic Surgeons

Diseases & Conditions

Treatment

Recovery

Staying Healthy

Gout

Gout is a disorder that causes sudden attacks of intense pain, swelling, and redness in your joints or soft tissues. In many cases, the first attacks occur in the joints of the big toe, but gout can affect many other joints. Repeated attacks of gout can lead to inflammatory arthritis in the affected joints.

Fortunately, gout attacks can be controlled and treated with medication.

Description

Gout develops when too much uric acid builds up in your bloodstream. This uric acid then forms microscopic crystals that come out of the bloodstream and deposit in joints or soft tissues. These tiny crystals are like grains of sand in the joints, preventing smooth range of motion and causing pain and inflammation.

Your body reacts to uric acid crystals as if they were a foreign body or bacteria. White blood cells and other infection-fighting cells are sent into the area, which results in inflammation. This reaction can look just like an infection: The affected area will become red, swollen, hot, and very tender.


Acute gout attacks can last 3 to 10 days. Even without treatment, the attacks slowly get better. With treatment, the symptoms improve much more quickly.

What Gout Affects

The tissues that can be affected by gout include:

Joints. Gout frequently involves the joint of the big toe. However, it can affect small joints like those in the finger, as well as large joints, such as the knee, shoulder, elbow, and hip.


Bursae. Located throughout the body, these thin, slippery sacs with just a small amount of fluid in them act as cushions between bones and soft tissues. The bursae most commonly inflamed from gout are the boney tip of the elbow (olecranon bursa) and the front of the kneecap (prepatellar bursa).

Tendon sheaths. These tunnels protect and provide nutrition to tendons in the hands and feet.


Kidneys. High uric acid levels may cause kidney stones and, sometimes, damage the kidneys. About 15 out of 100 people with gout (15%) will develop kidney stones.

Gout Progression

After the first gout attack it may be months or years before another one occurs. People who are not taking preventive treatment, however, typically have the next attack within 2 years. Later attacks can become more severe and affect more than one joint at a time. As time goes on, gout attacks may also become more frequent. Repeated gout attacks can cause permanent damage to joints in the form of arthritis

If uric acid levels remain high over a long period of time, deposits can develop around joints and tendons. These chalky deposits, called tophi, look like white toothpaste and create visible lumps under the skin.

tophi in hand
Tophi in the hand, shown from above and the side.
(Reproduced from Fitzgerald BT, Setty A, Mudgal CS: Gout affecting the hand and wrist. J Am Acad Orthop Surg 2007:15:625-635.)

Once gout reaches the chronic stage — which takes several years — joints may have permanent damage and deformity, and pain may be constant. When properly treated, most cases of gout will not progress to this disabling stage.

Cause

Gout can develop when your body produces too much uric acid or when it does not eliminate (get rid of) enough of it. When the levels of uric acid in your blood are too high, it is called hyperuricemia.

The Role of Uric Acid

Uric acid is produced when your body breaks down purines, which are substances naturally found in your body, as well as in protein-rich foods. At normal levels in your blood, uric acid is a powerful antioxidant and does not cause any damage. The body keeps uric acid at a set level by excreting (releasing) it through the kidneys and in urine.

It is possible to have too much uric acid and not develop gout. About two-thirds of people with elevated uric acid levels (nearly 67%) never have gout attacks. It is not known why some people with abnormally high levels of uric acid do not develop gout.

Risk Factors

Gout affects approximately 2 out of 100 people (2%) in the United States. There are several factors that put people at greater risk for developing gout.

Gender and age. Gout is more common in men than in women and hits men at a younger age.

  • Men usually develop gout between the ages of 30 and 45.
  • Women do not typically develop gout until after menopause, between the ages of 55 and 70.

Family history. If other members of your family have had gout, you are at greater risk for the disease.

Other medical problems. Certain health conditions can cause higher levels of uric acid in the blood, including:

  • High blood pressure
  • Diabetes
  • Kidney disease
  • Some types of anemias

Having any of these conditions increases your risk of developing gout.

Medications.

  • Diuretics (water pills) used to treat hypertension (high blood pressure) and heart disease can increase uric acid levels, and so can aspirin.
  • Cyclosporine, a medication that suppresses the immune system and is used to prevent rejection of transplanted organs, can also make you more likely to develop gout.

Lifestyle. Your risk of gout may be higher if you:

  • Are overweight
  • Eat a protein-rich diet
  • Drink too much alcohol

Symptoms

gout attack with red, swollen knee

During a gout attack, the affected joint is often red and swollen.

A gout attack can be sudden and severe. It may wake you up at night with intense pain in your big toe — so intense that you cannot stand to have it touched, even by the sheets.

The joint that is affected is typically red and swollen. It may also feel hot.


If you are also running a fever, you may have an infection. This requires immediate treatment. Many people with gout are also diabetic and are at greater risk of infection.

It is important to see a doctor if you experience gout symptoms. Gout is a chronic disease that worsens over time. With treatment, you may be able to control the disease and prevent joint damage.

Doctor Examination

Sometimes, it is difficult to tell the difference between a sudden gout attack and an infection or other condition. Specific tests can help your doctor make a diagnosis.

Blood Test

A blood test can measure the level of uric acid in your blood. A high uric acid level strongly suggests gout. Your doctor will also check blood markers for infection, which are often elevated (high) during a gout attack.

Sometimes during an acute gout attack, uric acid levels may test normal because the uric acid has left your bloodstream and entered the inflamed tissue. If you do have a high uric acid level during a gout attack, it is likely that the level was even higher before the attack. To help diagnose gout, your doctor may check your blood uric acid levels in between attacks to see if they run high.


Most people with hyperuricemia never develop gout, and people with gout may have different levels of uric acid in their blood at different times.

Synovial Fluid Analysis

If your symptoms do not improve with initial treatments, your doctor may recommend a synovial fluid analysis. This is a more accurate test for gout.

During this test, synovial fluid is drawn from your inflamed joint. Synovial fluid surrounds and lubricates joints. When you have gout, there is more fluid in the joint and the fluid contains white blood cells. It will also contain uric acid crystals that can be seen with a special microscope. The synovial fluid is also checked for bacterial infection, which is sometimes also present when you have gout.

Treatment

Treatment for gout focuses on:

  • Relieving pain during acute attacks (attacks that come on suddenly and do not last a long time)
  • Preventing future gout attacks
  • Reducing the risk of developing tophi and permanent joint damage

Acute Attack Pain Management

Home remedies. Reducing inflammation during an acute gout attack will provide pain relief.

  • Ice. Apply ice to the affected area to reduce swelling. Do not apply ice directly to the skin. Use an ice pack or wrap a towel around the ice. Apply ice for about 20 minutes at a time.
  • Elevate. Frequently raise and keep the affected area above the level of the heart.
  • Rest. Move the affected area as little as possible while you are having symptoms.
  • Over-the-counter non-steroidal anti-inflammatory drugs (NSAIDs). If the gout attack is mild, anti-inflammatory drugs available without a prescription (ibuprofen, naproxen) may relieve pain. Because there can be serious side effects to using non-steroidal anti-inflammatory drugs — even the over-the-counter strength — be sure to check with your doctor before taking them.

Prescription medications. Your doctor may recommend a prescription-strength non-steroidal anti-inflammatory medicine such as indomethacin.


Colchicine is also given to reduce inflammation during an acute gout attack. This drug is FDA-approved for treatment of gout. Like all medications, colchicine has side effects that you will need to discuss with your doctor.

Your doctor may also prescribe corticosteroids for acute gout attacks. These are strong anti-inflammatory medications that can be taken in pill form, given intravenously (through an IV tube), or injected into the painful joint. Cortisone may improve severe inflammation very quickly.

Nonsurgical Treatment

Medications. Patients who continue to have high levels of uric acid in the blood may benefit from medications that control uric acid levels. Having lower uric acid levels can reduce the frequency of gout attacks and prevent joint destruction.

These types of medications are used to reduce uric acid levels to less than 6 mg/dL. People with tophi may have a greater benefit with levels that are less than 5 mg/dL.


Doctors most often prescribe long-term medications to patients who have:

  • More than three gout attacks a year
  • Severe and disabling gout attacks
  • Clear gouty joint arthritis which could become progressive (get worse over time)
  • Tophi
  • Kidney damage or repeated kidney stones, or excrete (flush out) a lot of uric acid in their urine

The available medications have different uses. If you have been diagnosed with gout, your primary care doctor will discuss which medication is right for you:

  • Allopurinol reduces the amount of uric acid your body produces.
  • Colchicine prevents white blood cells from attacking gout crystal. A standard dose is 0.6 mg once or twice a day. In addition to helping prevent future attacks, colchicine may effectively reduce inflammation during an acute gout attack.
  • Probenecid helps your kidneys filter out more uric acid from your body
  • Febuxostat lowers uric acid levels. Although more expensive than allopurinol, febuxostat is an option for patients who cannot take probenecid or allopurinol.

Lifestyle changes. In addition to following your doctor's treatment plan, there are choices you can make to prevent gout attacks and future joint damage.

  • Exercise and watch what you eat to maintain a healthy body weight.
  • Drink plenty of water to help flush uric acid from your system.
  • Lower your calorie intake, especially calories from fat.
  • Avoid sugary drinks, and do not add sugar to unsweetened drinks.
  • Eat complex carbohydrates (e.g., beans, brown rice, nuts, oatmeal, starchy vegetables).
  • Get your protein from low-fat dairy products instead of meat and seafood. Meat and seafood are high in purines, and eating too much may increase uric acid levels in some people.
  • Avoid alcohol.

Surgical Treatment

An acute gout attack is treated with medication and does not require surgery. However, sometimes when you have an acute gout attack, there is also a bacterial infection in the joint. In those situations, your doctor will recommend urgent surgery to wash out the bacteria from the joint. Depending on the joint involved, this may be done with an open procedure or an arthroscopic procedure.

People who develop destructive arthritis related to chronic gout may be helped with surgery.


Removal of tophi. In some cases, the large nodules (lumps) of uric acid around finger or toe joints, tendons, or bursae need to be removed because they remain painfully inflamed. These tophi may also break open and drain or become infected.

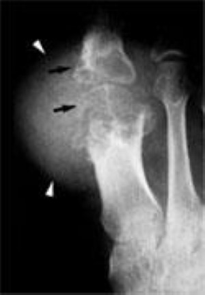
x-ray of advanced gout in big toe
This X-ray of a big toe shows advanced gout. The black arrows point to places where bone has worn away. The white arrows point to a tophi mass.
Reproduced from Johnson TR, Steinback LS [eds]: Essentials of Musculoskeletal Imaging. Rosemont, IL, American Academy of Orthopaedic Surgeons, 2004, p 627.

Joint fusion. If chronic gout has caused permanent joint destruction, smaller joints may need to be fused together to limit movement and relieve chronic pain. This would be common, for example, in the big toe joint.


Joint replacement. If gout leads to end-stage arthritis in a joint, joint replacement may be recommended. This procedure involves removing the painful joint and replacing it with artificial parts. The goal of joint replacement is to provide pain relief, as well as to maintain joint movement. The knee is the most common joint requiring replacement due to gout.

Contributed and/or Updated by

Taylor Beahrs, MD, FAAOSBarbara J. Campbell, MD

Peer-Reviewed by

Thomas Ward Throckmorton, MD, FAAOSStuart J. Fischer, MD

AAOS does not endorse any treatments, procedures, products, or physicians referenced herein. This information is provided as an educational service and is not intended to serve as medical advice. Anyone seeking specific orthopaedic advice or assistance should consult his or her orthopaedic surgeon, or locate one in your area through the AAOS Find an Orthopaedist program on this website.