Our knowledge of orthopaedics. Your best health.

from the American Academy of Orthopaedic Surgeons

Diseases & Conditions

Treatment

Recovery

Staying Healthy

Femur Shaft Fractures (Broken Thighbone)

Your thighbone (femur) is the longest and strongest bone in your body. Because the femur is so strong, it usually takes a lot of force to break it. Motor vehicle collisions, for example, are the number one cause of femur fractures.

The long, straight part of the femur is called the femoral shaft. When there is a break anywhere along this length of bone, it is called a femoral shaft fracture. This type of broken leg is almost always treated with surgery.

Normal anatomy of the leg

The femoral shaft runs from below the hip to where the bone begins to widen at the knee.

Types of Femoral Shaft Fractures

Femur fractures vary greatly, depending on the force that causes the break.

  • The pieces of bone may line up correctly (stable fracture) or they may be out of alignment (displaced fracture).
  • The skin around the fracture may be intact (closed fracture) or the bone may puncture the skin (open fracture).

Doctors describe fractures to each other using classification systems. Femur fractures are classified depending on:

  • The location of the fracture (the femoral shaft is divided into thirds: distal, middle, proximal)
  • The pattern of the fracture (for example, the bone can break in different directions, such as crosswise, lengthwise, or in the middle)
  • Whether the skin and muscle over the bone are torn by the injury

The most common types of femoral shaft fractures include:

  • Transverse fracture. In this type of fracture, the break is a straight horizontal line going across the femoral shaft.
  • Oblique fracture. This type of fracture has an angled line across the shaft.
  • Spiral fracture. The fracture line encircles the shaft like the stripes on a candy cane. A twisting force to the thigh causes this type of fracture.
  • Comminuted fracture. In this type of fracture, the bone has broken into three or more pieces. 
  • Open fracture. If a bone breaks in such a way that bone fragments stick out through the skin or a wound penetrates (reaches) down to the broken bone, the fracture is called an open or compound fracture. Open fractures often involve much more damage to the surrounding muscles, tendons, and ligaments. They have a higher risk for complications — especially infections — and take a longer time to heal.
Oblique and comminuted femoral shaft fractures

(Left) An oblique fracture has an angled line across the shaft.  (Right) A comminuted fracture is broken into three or more pieces.

Cause

Femoral shaft fractures in young people are frequently due to some type of high-energy collision. The most common cause of femoral shaft fracture is a motor vehicle or motorcycle crash. Being hit by a car while walking is another common cause, as are falls from heights and gunshot wounds.

A lower-force incident, such as a fall from standing, may cause a femoral shaft fracture in an older person who has weaker bones, such as from osteoporosis.

Symptoms

  • A femoral shaft fracture usually causes immediate, severe pain.
  • You will not be able to put weight on the injured leg.
  • The leg may look deformed — shorter than the other leg and no longer straight.

Doctor Examination

Medical History and Physical Examination

It is important that your doctor knows the specifics of how you hurt your leg. For example, if you were in a car accident, it would help your doctor to know:

  • How fast you were going
  • Whether you were the driver or a passenger
  • Whether you were wearing your seat belt
  • Whether the airbags went off

This information will help your doctor determine how you were hurt and whether you may be hurt somewhere else.


It is also important for your doctor to know if you have any other health conditions, such as:

  • Allergies
  • Asthma
  • Diabetes
  • High blood pressure

Your doctor will also ask if you use tobacco products or are taking any medications.


After discussing your injury and medical history, your doctor will do a careful examination. They will assess your overall condition and then focus on your leg. Your doctor will look for:

  • An obvious deformity of the thigh/leg (an unusual angle, twisting, or shortening of the leg)
  • Breaks in the skin
  • Bruises
  • Bony pieces that may be pushing on the skin

After the visual inspection, your doctor will feel along your thigh, leg, and foot to:

  • Look for abnormalities
  • Check the tightness of the skin and muscles around your thigh
  • Feel for pulses
  • Test for sensation and movement in your leg and foot (if you are awake and alert)

Imaging Tests

Imaging tests will provide your doctor with more information about your injury.

X-rays. The most common way to evaluate a fracture is with X-rays, which provide clear images of dense structures like bone. X-rays can show:

  • Whether a bone is intact (whole) or broken
  • The type of fracture
  • Where the fracture is located within the femur
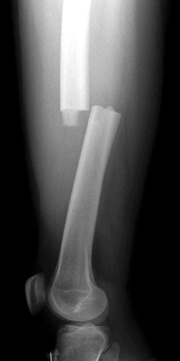
Transverse femoral shaft fracture

X-ray shows a transverse fracture of the femur. The break is a straight horizontal line across the shaft.

Reproduced from JF Sarwak (ed): Essentials of Musculoskeletal Care, ed 4. Rosemont, IL. American Academy of Orthopaedic Surgeons, 2010.

Computerized tomography (CT) scans. If your doctor still needs more information after reviewing your X-rays, they may order a CT scan.

A CT scan shows a cross-sectional image of your limb. It can provide your doctor with valuable information about the severity of the fracture or, in some cases, detect subtle fractures. For example, sometimes the fracture lines can be very thin and hard to see on an X-ray. A CT scan can help your doctor see the lines more clearly.

Treatment

Nonsurgical Treatment

Most femoral shaft fractures require surgery to heal. It is unusual for femoral shaft fractures to be treated without surgery. Very young children are sometimes treated with a body cast. For more information on that, see Thighbone (Femur) Fractures in Children.

Surgical Treatment

Timing of surgery. Most femur fractures are fixed within 24 to 48 hours.  On occasion, fixation will be delayed until other life-threatening injuries or unstable medical conditions are stabilized. To reduce the risk of infection, open fractures are treated with antibiotics as soon as you arrive at the hospital. The open wound, tissues, and bone will be cleaned during surgery.

For the time between initial emergency care and your surgery, your doctor may place your leg either in a long-leg splint or in traction. This is to keep your broken bones as aligned as possible and to maintain the length of your leg.


Skeletal traction is a pulley system of weights and counterweights that holds the broken pieces of bone together. It keeps your leg straight and often helps to relieve pain.

External fixation. In this type of operation, metal pins or screws are placed into the bone above and below the fracture site. The pins and screws are attached to a bar outside the skin. This device is a stabilizing frame that holds the bones in the proper position.

External fixation of a femoral shaft fracture

External fixation is often used to hold the bones together temporarily when the skin and muscles have been injured.

External fixation is usually a temporary treatment for femur fractures. Because they are easily applied, external fixators are often put on when a patient has multiple injuries and is not yet ready for a longer surgery to fix the fracture. An external fixator provides good, temporary stability until the patient is healthy enough for the final surgery. In some cases, an external fixator is left on until the femur is fully healed, but this is not common.

Intramedullary nailing. Currently, the method most surgeons use for treating femoral shaft fractures is intramedullary nailing. During this procedure, a specially designed metal rod (nail) is inserted into the canal of the femur. The nail passes across the fracture to keep it in position.

Intramedullary nailing of a femoral shaft fracture

Intramedullary nailing provides strong, stable, full-length fixation.

An intramedullary nail can be inserted into the canal either at the hip or the knee. Screws are placed above and below the fracture to hold the leg in correct alignment while the bone heals.

Intramedullary nails are usually made of titanium. They come in various lengths and diameters to fit most femur bones.

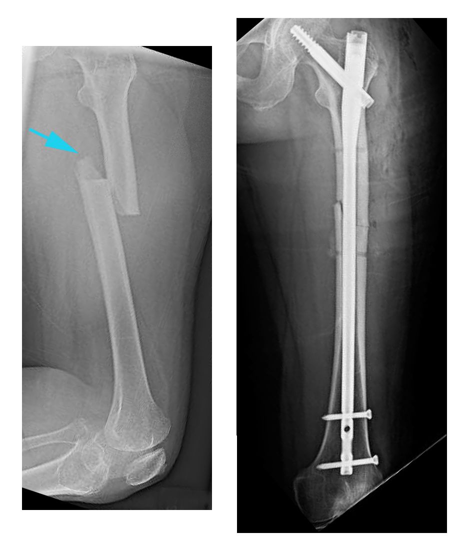
X-rays of transverse fracture and intramedullary nailing

(Left) This X-ray, taken from the side, shows a transverse fracture of the femur. (Right) In this front view X-ray, the fracture has been treated with intramedullary nailing.

Plates and screws. During this operation, the bone fragments are first repositioned (reduced) into their normal alignment. They are held together with screws and metal plates attached to the outer surface of the bone.  

Plates and screws are often used when intramedullary nailing may not be possible, such as for fractures that extend into either the hip or knee joints. 

Recovery

Most femoral shaft fractures take 3 to 6 months to completely heal. Some take even longer, especially if the fracture was open or broken into several pieces or if the patient uses tobacco products.

Pain Management

Pain after an injury or surgery is a natural part of the healing process. Your doctor and nurses will work to reduce your pain, which can help you recover faster.


Medications are often prescribed for short-term pain relief after surgery or an injury. Many types of medications are available to help manage pain. These include:

Your doctor may use a combination of these medications to improve pain relief, as well as minimize the need for opioids. Some pain medications may have side effects that can impact your ability to drive and do other activities. Your doctor will talk to you about the side effects of your pain medications.  

Use Caution With Opioids

Although opioids help relieve pain after surgery or an injury, they are  narcotics and can be addictive. Opioid dependency and overdose have become critical public health issues in the U.S. It is important to use opioids only as directed by your doctor and to stop using them as soon as your pain begins to improve. Talk to your doctor if your pain has not begun to improve within a few days of your treatment.

Weightbearing

Many doctors encourage leg motion early on in the recovery period. It is very important to follow your doctor's instructions for putting weight on your injured leg to avoid problems.

In most cases, doctors will allow patients to put as much weight as possible on the leg right after surgery. However, you may not be able to put full weight on your leg until the fracture has started to heal. Be sure to follow your doctor's instructions carefully.

When you begin walking, you will probably need to use crutches or a walker for support.

Physical Therapy

Because you will most likely lose muscle strength in the injured area, exercises during the healing process are important. Physical therapy will help to restore normal muscle strength, joint motion, and flexibility. It can also help you manage your pain after surgery.

A physical therapist will most likely begin teaching you specific exercises while you are still in the hospital. The therapist will also help you learn how to use crutches or a walker

Complications

Complications from Femoral Shaft Fractures

Femoral shaft fractures can cause further injury and complications.

  • The ends of broken bones are often sharp and can cut or tear surrounding blood vessels or nerves, though this is very rare.
  • Acute compartment syndrome may develop. This is a painful condition that occurs when pressure within the muscles builds to dangerous levels. This pressure can decrease blood flow, which prevents nourishment and oxygen from reaching nerve and muscle cells. This is a surgical emergency. Unless the pressure is relieved quickly, permanent disability may result.  During the procedure, your surgeon makes incisions in your skin and the muscle coverings to relieve the pressure.
  • Open fractures expose the bone to the outside environment. Even with good surgical cleaning of the bone and muscle, the bone can become infected. Bone infection is difficult to treat and often requires multiple surgeries and long-term antibiotics.
  • Occasionally, the ligaments around the knee can be injured during a femoral shaft fracture. If you have knee pain after surgery, tell your doctor.

Complications from Surgery

In addition to the risks of surgery in general, such as blood loss or problems related to anesthesia, complications of surgery may include:

  • Infection
  • Injury to nerves and blood vessels
  • Blood clots
  • Fat embolism (bone marrow enters the blood stream and can travel to the lungs; this can also happen from the fracture itself without surgery)
  • Malalignment or the inability to correctly position the broken bone fragments
  • Delayed union or nonunion (when the fracture heals slower than usual or not at all)
  • Hardware irritation (sometimes the ends of the nail or the screws used to fasten the nail can irritate the overlying muscles and tendons)

To assist doctors in the management of diaphyseal femur fractures, the American Academy of Orthopaedic Surgeons has conducted research to provide some useful guidelines. These are recommendations only and may not apply to every case. For more information: Plain Language Summary - Clinical Practice Guideline - Diaphyseal Femur Fractures - AAOS

Last Reviewed

September 2024

Contributed and/or Updated by

Mark Gage, MDJason A. Lowe, MD

Peer-Reviewed by

Thomas Ward Throckmorton, MD, FAAOSStuart J. Fischer, MD

AAOS does not endorse any treatments, procedures, products, or physicians referenced herein. This information is provided as an educational service and is not intended to serve as medical advice. Anyone seeking specific orthopaedic advice or assistance should consult his or her orthopaedic surgeon, or locate one in your area through the AAOS Find an Orthopaedist program on this website.