Our knowledge of orthopaedics. Your best health.

from the American Academy of Orthopaedic Surgeons

Diseases & Conditions

Treatment

Recovery

Staying Healthy

Elbow Fractures in Children

An elbow fracture is a break in one or more of the bones that make up the elbow joint. Elbow fractures account for about 10% of all childhood fractures.

  • In many cases, a simple fracture will heal well with conservative cast treatment.
  • Some types of elbow fractures, however, including those in which the pieces of bone are significantly out of place, may require surgery.
  • Other structures in the elbow — such as nerves, blood vessels, and ligaments — may also be injured when a fracture occurs and may require treatment, as well.

Anatomy

The elbow is a joint made up of three bones:

  • The humerus is the upper arm bone between the shoulder and the elbow.
  • The radius is one of the forearm bones between the elbow and wrist. The radius is on the "thumb side" of the forearm.
  • The ulna is the other forearm bone between the elbow and wrist, running next to the radius. The ulna is on the "pinky finger side" of the forearm.

Ligaments on the inner and outer sides of the elbow hold the joint together and muscles surround the joint on the front and back sides. The elbow joint is crossed by three major nerves.

Elbow anatomy

(Left) The main bones of the elbow, when viewed from the side.
(Right)
The major nerves and ligaments are highlighted.

Description

There are several types of elbow fractures, including:

Above the elbow (supracondylar). In this type of fracture, the upper arm bone (humerus) breaks slightly above the elbow. These fractures usually occur in children younger than 8 years old. This is the most common type of elbow fracture, and one of the more serious because it can result in nerve injury and impaired circulation.

At the elbow knob (condylar). This type of fracture occurs through one of the bony knobs (condyles) at the end of the upper arm bone. Most occur through the outer, or lateral, knob. These fractures require careful treatment, because they can disrupt both the growth plate (physis) and the joint surface.

At the inside of the elbow tip (epicondylar). At the top of each bony knob is a projection called the epicondyle. Fractures at this point usually occur on the inside, or medial, epicondyle in children between 9 and 14 years of age.

Types of elbow fractures
Common childhood elbow fractures include supracondylar fractures and medial epicondylar fractures.
Reproduced and adapted from J Bernstein, ed: Musculoskeletal Medicine. Rosemont, IL, American Academy of Orthopaedic Surgeons, 2003.

Growth plate (physis). The upper arm bone and both forearm bones have areas of cartilage called growth plates located near the end of the bone. Because growth plates help determine the length and shape of the mature bone, a fracture that disrupts the growth plate can interfere with growth and/or cause deformity if not treated promptly.

Forearm. A fracture can occur at the top (head) of the radius bone, causing it to move out of place. Fractures of the tip (olecranon) of the ulna are rare.

Fracture dislocation. A fracture of the ulna associated with a dislocation of the top of the radius at the elbow is called a Monteggia fracture. If the dislocation is not recognized, and only the fracture is treated, it can lead to permanent impairment of elbow joint function.

Open fracture. When a broken bone breaks through the skin, it is called an open fracture. An open fracture may involve damage to the muscles, tendons, and ligaments and take a longer time to heal.

Cause

In most cases, elbow fractures in children are caused by:

  • A fall on an outstretched arm
  • A fall directly on the elbow
  • A direct blow to the elbow, such as being hit by a pitch in baseball or softball, or by a helmet during a football tackle

Children regularly engage in many activities that put them at risk for injuries to the elbow.

  • Many elbow injuries occur on the playground when children lose their grip on the monkey bars or other equipment.
  • For toddlers, a fall from a lower height can cause an elbow fracture.
  • Elbow fractures may also occur in sports, such as gymnastics or football, or recreational activities such as skateboarding or bicycling.

Wearing protective elbow guards and pads can help reduce the risk of an elbow fracture.

Symptoms

No matter where the break occurs, most elbow fractures result in sudden, intense pain in the elbow and forearm. Other common symptoms include:

  • Swelling around the elbow
  • Numbness in the hand, a sign of potential nerve injury
  • Inability to straighten the arm

If your child complains of elbow pain after a fall and refuses or is unable to move their arm, it is important to see a doctor immediately.

Doctor Examination

Physical Examination

After discussing your child's symptoms and medical history, the doctor will perform a careful examination of your child's arm to determine the extent of the injury. The doctor will look for:

  • Tenderness
  • Swelling
  • Bruising
  • Limited movement
  • Change in color in the hand, which means circulation has been affected

During the physical examination, the doctor will also check to see whether there is an injury to the nerves or blood vessels

Displaced elbow fracture
(Left) This child has a severe fracture of the humerus above the elbow. (Right) This X-ray of the fracture shows that the humerus has broken into two parts — a complete displacement.
Courtesy of Texas Scottish Rite Hospital for Children

X-Rays

X-rays provide clear images of dense structures such as bone. An X-ray will indicate what kind of fracture has occurred, and whether the bones have angulated or moved out of alignment (displaced). Because a child's bones are still forming, the doctor may request X-rays of both arms for comparison.

Treatment

If an elbow fracture heals in the wrong position, the elbow may remain permanently crooked and have limited range of motion. For this reason, it is important that the fracture be treated correctly at the time of the initial injury.

Treatment for elbow fractures depends on the type of fracture and the degree of displacement.

Nonsurgical Treatment

Many stable fractures heal successfully with cast or splint immobilization. If the fracture is stable with no displacement, your doctor may directly apply a splint or cast to keep the bones in proper alignment while they heal.

Splints provide less support than casts; however, they can be easily adjusted to accommodate swelling from injuries. In many cases, a splint is applied to a fresh injury first. As swelling subsides, a full cast may replace the splint.

In some stable elbow fractures, the bones may need to be repositioned before applying a splint or cast. In this procedure — called a closed reduction — the doctor gently moves the arm to manipulate the bones back into place. Your child will be given some form of sedation or anesthesia for this procedure.

Your child's doctor may schedule additional X-rays to make sure the bones stay in place as they heal.

Learn how to care for a cast or splint.

Surgical Treatment

If the bone fragments are displaced, surgery may be required to ensure that the fracture heals fully.

Closed reduction and percutaneous pinning. In this procedure, the displaced bone fragments are repositioned during closed reduction and held in place with metal pins. The pins are inserted through the skin, into the bone and across the fracture. A splint is applied to protect the area for the first week, then is typically replaced with a cast. The pins and cast are removed after healing has begun, a few weeks after surgery.

Open reduction and internal fixation. Open fractures, fractures that cannot be repositioned during a closed reduction, and fractures that are accompanied by nerve or vascular injuries require open surgery or open reduction and internal fixation.

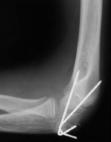
Internal fixation of elbow fracture
This X-ray shows a supracondylar humerus fracture that has been put into the correct position and held in place with two pins. The pins will be removed after healing has begun.
Reproduced from Surgical management of pediatric fractures in the upper extremity, Flynn J, Sarwark J, Waters P, Bae D, Lemke L: Instr Course Lect 2003, 54: 635-645.

Recovery

Whether the fracture is treated by simple immobilization or with surgery, the arm will be placed in a cast or splint for 3 to 6 weeks, depending on the fracture.

When the fracture is healed well enough, the doctor may recommend specific exercises to improve the range of motion in the joint.

In most cases, the elbow's range of motion returns to normal, or has just a mild limitation.

To assist doctors in the management of pediatric supracondylar humerus fractures, the American Academy of Orthopaedic Surgeons has conducted research to provide some useful guidelines. These are recommendations only and may not apply to every case. For more information: Plain Language Summary - Clinical Practice Guideline - Pediatric Supracondylar Humerus Fractures - AAOS

OrthoKids

This article was reviewed by members of the Pediatric Orthopaedic Society of North America (POSNA).

Learn more about pediatric musculoskeletal conditions and injuries on the OrthoKids website.

Contributed and/or Updated by

Margaret Siobhan Murphy-Zane, MD, FAAOS

AAOS does not endorse any treatments, procedures, products, or physicians referenced herein. This information is provided as an educational service and is not intended to serve as medical advice. Anyone seeking specific orthopaedic advice or assistance should consult his or her orthopaedic surgeon, or locate one in your area through the AAOS Find an Orthopaedist program on this website.