Our knowledge of orthopaedics. Your best health.

SYSTEM ALERT: OrthoInfo will be down for maintenance from  8:00 a.m. to 9:00 a.m.(CST) on 12/16/2025.  We apologize for the inconvenience.

SYSTEM ALERT: OrthoInfo will be down for maintenance from  8:00 a.m. to 9:00 a.m.(CST) on 12/16/2025.  We apologize for the inconvenience.

from the American Academy of Orthopaedic Surgeons

Diseases & Conditions

Treatment

Recovery

Staying Healthy

Bone Tumor

Bone tumors develop when cells within a bone divide uncontrollably, forming a lump or mass of abnormal tissue.

Most bone tumors are benign (not cancerous). Benign tumors are usually not life-threatening and, in most cases, will not spread to other parts of the body. Depending upon the type of tumor, treatment options are wide-ranging — from simple observation to surgery to remove the tumor.

Some bone tumors are malignant (cancerous). Malignant bone tumors can metastasize — or cause cancer cells to spread throughout the body. In almost all cases, treatment for malignant tumors involves a combination of chemotherapy, radiation, and surgery.

Description

Bone tumors can affect any bone in the body and develop in any part of the bone — from the surface to the center of the bone, called the bone marrow. A growing bone tumor — even a benign tumor — destroys healthy tissue and weakens bone, making it more vulnerable to fracture.


When a bone tumor is cancerous, it is either a primary bone cancer or a secondary bone cancer.

  • A primary bone cancer actually begins in bone
  • A secondary bone cancer begins somewhere else in the body and then metastasizes or spreads to bone. Secondary bone cancer is also called metastatic bone disease.

Types of cancer that begin elsewhere and commonly spread to bone include:

  • Breast
  • Lung
  • Thyroid
  • Renal (kidney)
  • Prostate

Primary Bone Cancer

The four most common types of primary bone cancer are:

  • Multiple myeloma. Multiple myeloma is the most common primary bone cancer. It is a malignant tumor of bone marrow — the soft tissue in the center of many bones that produces blood cells. Any bone can be affected by this cancer.
    Multiple myeloma affects approximately seven people per 100,000 each year. According to the National Cancer Institute, more than 130,000 people are living with the disease each year. Most cases are seen in patients between the ages of 50 and 70. Multiple myeloma is typically treated with chemotherapy, radiation therapy and, occasionally, surgery.
  • Osteosarcoma. Osteosarcoma is the second most common primary bone cancer. It occurs in two to five people per million each year, with most cases in teenagers and children. Most tumors develop around the knee in either the femur (thighbone) or tibia (shinbone). Other common locations include the hip and shoulder. Osteosarcoma is typically treated with chemotherapy and surgery.
  • Ewing's sarcoma. Ewing's sarcoma usually occurs in patients between the ages of 5 and 20. The most common locations affected are the upper and lower leg, pelvis, upper arm, and ribs. Ewing's sarcoma is typically treated with chemotherapy and either surgery or radiation therapy.
  • Chondrosarcoma. Chondrosarcoma is a malignant tumor composed of cartilage-producing cells. It is most often seen in patients between the ages of 40 and 70. Most cases occur around the hip, pelvis, or shoulder area. In most cases, surgery is the only treatment used for chondrosarcoma.

Benign Bone Tumors

There are many types of benign bone tumors, as well as some diseases and conditions that resemble bone tumors. Although these conditions are not truly bone tumors, in many cases they require the same treatment.

Some common types of benign bone tumors — and conditions that are commonly grouped with tumors — include:

Cause

For most bone tumors the cause is unknown.

Symptoms

Patients with a bone tumor will often experience pain in the area of the tumor. This pain is generally described as dull and aching.  It may worsen at night and increase with activity.

Other symptoms of a bone tumor can include fever and night sweats.

Many patients will not have any symptoms, but will note a painless mass instead.

Although bone tumors are not caused by trauma, an injury can sometimes cause a tumor to start hurting. Injury can also cause a bone that is weakened by a tumor to fracture, or break. This may be severely painful.

Occasionally, benign tumors may be discovered incidentally when an X-ray is taken for another reason, such as a sprained ankle or knee injury.

Doctor Examination

Infections, stress fractures, and other non-tumor conditions can all closely resemble tumors. To be sure you have a bone tumor, your doctor will conduct a thorough evaluation and order a number of tests.

Medical History

As part of the examination, your doctor will take a complete medical history. They will ask about your general health, medications you take, and your current symptoms. Your doctor will also want to know if you or any family member has a history of any tumor or cancer.

Physical Examination

Your doctor will perform a thorough physical examination, focusing on the tumor mass. They will look for:

  • Swelling or tenderness in the area of the tumor
  • Changes in the overlying skin
  • The presence of a mass
  • Any effect the tumor might have on nearby joints

In some cases, your doctor will examine other parts of your body to rule out cancers that can spread to bone.

Tests

X-rays. X-rays provide images of dense structures, such as bone. In most cases, your doctor will order an X-ray to help diagnose a bone tumor. Different types of tumors may look different on X-ray. Some dissolve bone or make a hole in the bone. Others cause additional bone to form. Some may do both.

Bone tumor in the thigh

Femur (thighbone) tumor. This X-ray shows a tumor that caused a saucer-like erosion in the end of the thighbone. The insert shows the same tumor using a cross-sectional magnetic resonance image (MRI) scan.

Other imaging studies. If necessary, your doctor will order a magnetic resonance imaging (MRI) scan, computerized tomography (CT) scan, or bone scan to help further evaluate your tumor.

Bone tumor of the femur (thighbone)

Femur (thighbone) tumor. This X-ray shows a tumor in the middle of the thighbone. The tumor is also seen using magnetic resonance imaging (MRI) scan. The insert at top shows a coronal MRI. The insert at bottom shows a cross-sectional MRI. The arrows on all images show the location of the tumor.

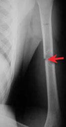
Humerus (upper arm) tumor and pathologic fracture

Humerus (upper arm) tumor and fracture. This X-ray shows a fracture through a tumor in the middle of the bone of the upper arm.

Biopsy. A biopsy may be necessary to confirm the diagnosis of a bone tumor. In a biopsy, a sample of tissue is taken from the tumor. This sample is examined under a microscope and analyzed by a pathologist (a doctor who identifies diseases by studying abnormal cells).

There are two basic methods of performing a biopsy:

  • Needle biopsy.  In this procedure, a needle is inserted into the tumor to remove some tissue. You will first be given a local anesthetic. A needle biopsy of a bone tumor is most often done by a radiologist. An imaging study, such as an X-ray, CT scan, or MRI scan, will be used to help direct the needle.
Needle biopsy

In a needle biopsy, the doctor inserts a needle into the tumor to remove some tissue.

  • Open biopsy. An open biopsy is performed in an operating room by a surgeon. After you are given general anesthesia to put you to sleep, the surgeon will make a small incision and remove some tissue.
Open biopsy

In an open biopsy, the doctor surgically removes tissue. This is usually done in an operating room.

Other tests. Your doctor may order blood and/or urine tests to help confirm the diagnosis of a bone tumor or exclude other conditions.

Nonsurgical Treatment

Benign Tumors

If your tumor is benign, your doctor may recommend just monitoring it closely to see if it changes. During this time, you may need periodic follow-up X-rays or other tests.

Some benign tumors can be treated effectively with medication. Some will disappear over time without surgery. 

Malignant Tumors

If you have bone cancer, treatment will include a team of doctors from different medical specialties working together to provide care. Some will be oncologists — doctors who specialize in cancer treatment. Your team may include an orthopaedic oncologist, medical oncologist, radiation oncologist, radiologist, and pathologist. The goal of treatment is to cure the cancer while maintaining function, as best as possible, in the part of the body affected by the tumor.

Treatment depends upon several factors, including the stage of the cancer. If the cancer is localized, cancer cells are contained to the tumor and the immediate surrounding area. When the cancer has reached a metastatic stage, it has spread elsewhere in the body and may be more serious and harder to cure.

Doctors often combine several methods to treat malignant bone tumors:

  • Radiation therapy. Radiation therapy uses high-dose X-rays to kill cancer cells and shrink tumors. This only treats the cancer in the area of the beam. It does not treat cancer elsewhere in the body. Your doctor will determine if radiation therapy is the best choice of treatment in your situation.
  • Chemotherapy (systemic treatment). Chemotherapy is often used to kill tumor cells when they have spread into the bloodstream but cannot yet be detected on tests and scans. It is generally used when cancerous tumors have a very high chance of spreading. Chemotherapy is usually given intravenously (injection into a vein) or in a pill or capsule that is swallowed.

Generally, malignant tumors are removed by surgery. Often, radiation therapy and chemotherapy are used in combination with surgery.

Surgical Treatment

Benign Tumors

In some cases, your doctor may recommend removing the tumor (excision) or another surgical technique to reduce the risk of fracture and disability. Some tumors may come back, even repeatedly, after appropriate treatment. Rarely, certain benign tumors can spread or become cancerous (metastasize).

Malignant Tumors

Limb salvage surgery. This surgery removes the cancerous section of bone but keeps nearby muscles, tendons, nerves, and blood vessels intact where possible. The surgeon will take out the tumor and a portion of healthy tissue around it. The excised bone is replaced with a metallic implant (prosthesis), bone from elsewhere in your body, or bone from a donor.

Amputation. Amputation is surgery to remove all or part of an arm or leg. It is usually used when a tumor is large and/or nerves and blood vessels are involved. A prosthetic limb can aid function after amputation.

Recovery

The length and complexity of your recovery will depend upon the type of tumor as well as what type of procedure was performed.

When treatment is finished, your doctor may order more X-rays and other imaging studies to confirm that the tumor is actually gone.

After treatment, you will continue to see your doctor for regular follow-up visits and tests every few months. Even though the tumor has disappeared, it is important to monitor your body for signs of recurrence. Tumors that come back may pose serious problems so it is important to detect them early.

Last Reviewed

April 2020

Contributed and/or Updated by

Rajiv Rajani, MD, FAAOSRobert H. Quinn, MD, FAAOS

Peer-Reviewed by

Stuart J. Fischer, MD, FAAOSColin F. Moseley, MD

AAOS does not endorse any treatments, procedures, products, or physicians referenced herein. This information is provided as an educational service and is not intended to serve as medical advice. Anyone seeking specific orthopaedic advice or assistance should consult his or her orthopaedic surgeon, or locate one in your area through the AAOS Find an Orthopaedist program on this website.