Our knowledge of orthopaedics. Your best health.

SYSTEM ALERT: OrthoInfo will be down for maintenance from  8:00 a.m. to 9:00 a.m.(CST) on 1/20/2026.  We apologize for the inconvenience.

SYSTEM ALERT: OrthoInfo will be down for maintenance from  8:00 a.m. to 9:00 a.m.(CST) on 1/20/2026.  We apologize for the inconvenience.

from the American Academy of Orthopaedic Surgeons

Diseases & Conditions

Treatment

Recovery

Staying Healthy

Ankle Fractures In Children

A broken ankle, also called an ankle fracture, is a common childhood injury. This fracture involves a break in one or more of the bones that make up the ankle: the tibia (shinbone), fibula (outside ankle bone), and talus (small bone in the back part of the foot).

Ankle fractures in children range from very mild to complex. Basic fractures can often be successfully treated with a simple walking boot, while more complex injuries may require surgery. A pediatric orthopaedic surgeon will provide counseling about treatment options for ankle fractures in your child, as well as longer-term follow-up care to monitor the outcome of the treatment.

Anatomy

The location where the tibia, fibula, and talus bones come together is called the ankle joint.

Bones are connected to other bones by ligaments, which act like strong ropes to hold the bones together. The ankle has several ligaments that help keep the ankle joint stable.

normal foot anatomy
The normal skeletal anatomy of the foot and ankle.
Reproduced and modified with permission from The Body Almanac. © American Academy of Orthopaedic Surgeons, 2003.

Description

Ankle fractures in children and adolescents usually occur in the tibia or fibula and typically involve the growth plates. Growth plates are areas of cartilage, located near the ends of long bones, that harden into sold bone when a child becomes fully grown. Because growth plates are the last portion of bones to harden, they are vulnerable to fractures.

During adolescence when the growth plate first begins to close and harden, transitional fractures of the maturing growth plate can occur. Two common transitional fractures of the ankle are triplane fractures and Tillaux fractures (see Treatment, below).

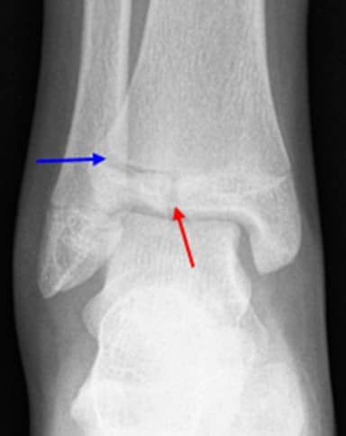
growth plates in ankle

This X-ray of a child's ankle taken from the front clearly shows the growth plates of the tibia and fibula (red arrows).

Cause

Pediatric ankle injuries typically occur when a child's lower leg or foot twists unexpectedly during sports or vigorous play.

Sports involving lateral (side-to-side) motion and jumping — like basketball — may put children at higher risk for ankle injuries. For example, when jumping to defend, shoot, or rebound, a child may land on an opponent's foot, causing their foot to twist or roll to the inside or outside.

twisting force causing ankle sprain or fracture
A twisting force to the lower leg or foot is a common cause of ankle fractures, as well as ligament injuries (sprains).
Reproduced and modified with permission from The Body Almanac. © American Academy of Orthopaedic Surgeons, 2003.

Symptoms

It is often difficult to tell the difference between an ankle sprain and a more serious ankle fracture. Initially, both sprains and fractures cause pain and swelling.

Additional symptoms and signs of ankle fractures include:

  • Inability to stand or walk
  • Bruising
  • Tenderness to the touch
  • Deformity of the ankle area

Doctor Examination

Medical History and Physical Examination

After discussing your child's medical history and how the injury occurred, your child's doctor will perform a careful physical examination of the ankle. Specifically, they will look for:

  • Swelling and bruising
  • Area of greatest tenderness
  • A deformed or crooked appearance of the ankle
  • Tears or openings in the skin
  • Proper functioning of arteries and nerves

Imaging Tests

If your child's doctor suspects an ankle fracture, they will order imaging tests to provide more information about your child's injury.

X-rays. The most common way to evaluate a fracture is with X-rays, which provide clear images of dense structures like bone. X-rays will usually show whether a bone is normal or broken.

Computed tomography (CT). CT scans create a specific cross-section image of the ankle bones. This is especially useful when the fracture extends into the ankle joint and when surgery is being considered.

Magnetic resonance imaging (MRI). If the physical examination suggests a fracture but the X-rays do not show a fracture, the doctor may order a magnetic resonance imaging (MRI) scan. MRI scans tests provide high-resolution images of both bones and soft tissues, such as ligaments.

Treatment

Treatment of ankle fractures in children is based on several factors, including:

  • The location of the fracture
  • The degree of damage to the growth plate
  • The position of the foot at the time of injury
  • The direction of the force at the time of the injury
  • The amount of displacement (shifting of the bone fragments)

Growth plate fractures require thoughtful treatment because the long-term consequences may include an ankle that grows crookedly or legs that may be unequal in length.

Perhaps the most widely used classification system for growth plate fractures is the Salter-Harris system. The Salter-Harris classification indicates the amount of damage to the growth plate and the likelihood of developing a growth disturbance. In this article, the Salter-Harris system is used to describe several types of fractures and their treatment options.

salter-harris growth plate fracture classification

(Above) Standard illustrations of growth plate fracture types. (Below) The red lines in this X-ray of the ankle show the different types of growth plate fractures as they appear in the ankle joint.

Type I and Type II Fractures

Type I fractures break through the bone at the growth plate, separating the bone end from the bone shaft and completely disrupting the growth plate. Type II fractures break through part of the bone at the growth plate and crack through the bone shaft. Both of these types of fractures can usually be treated without surgery.

Type III and Type IV Fractures

Type III and type IV fractures are more prone to developing a growth disturbance, which may result in a crooked ankle. It is especially critical that the bone be aligned as perfectly as possible in these fractures. Often, surgical treatment is needed to better align and stabilize these fractures.

Type V Fractures

Type V fractures are usually identified long after the fracture has healed when a growth disturbance develops.

Non-Displaced Fractures

A fracture that is properly aligned needs only to be stabilized in a walking boot or cast to allow for proper healing. Your child's doctor will guide you on when it is safe for your child to put weight on the injured ankle. These fractures should heal in 4 to 6 weeks. 

Displaced Fractures

Your child will need more aggressive treatment if the fracture pieces are displaced (moved out of normal alignment). The first step is to realign the bones without making any cuts in the skin (closed reduction). This is often done in the emergency room or operating room with your child sedated. If the bone fragments are successfully realigned, a cast is applied to maintain proper alignment.

The child will need surgical treatment if the surgeon cannot properly align the bone pieces in a closed reduction, particularly if the fracture involves the ankle joint (Type III and Type IV fractures). This occurs most often because soft tissue, like muscle, gets between the edges of the bones. Open reduction surgery enables the surgeon to see the bone pieces directly and typically allows the bones to be more perfectly aligned.

Frequently, the doctor will insert a metal plate and/or screws after an open reduction to maintain the bone fragment position for healing. Internal screw fixation also adds stability and allows for less external immobilization. For example, the child may need only a walking boot if screws are inserted; without screws, the child would have needed a cast. 

Distal Fibular Fractures

When just the fibula is injured in the ankle, it is most often a Salter-Harris Type I or II fracture. These isolated fractures most often result from low-energy trauma, such as a fall from standing height, and generally heal well when treated with a walking boot or short-leg walking cast.

Triplane Fractures

A triplane fracture is a complex injury pattern seen in more physically mature adolescents when the growth plate is starting to close. A triplane fracture is a Salter-Harris Type IV fracture involving three different fracture planes. These fractures extend through the metaphysis (the widened part of the shaft of the bone), the physis (growth plate), and the epiphysis (end of the bone).

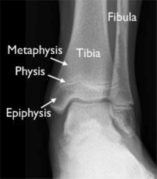
x-ray of growth plates in distal tibia

The distal tibia of a growing child comprises three sections: the physis, epiphysis, and metaphysis.

Treatment of triplane fractures depends on the amount of displacement between the bone fragments. Minimally displaced and non-displaced triplane fractures can be treated with a long-leg cast. However, these fractures are often displaced and need to be treated with open reduction and internal fixation with screws, which allows the reduction to be more easily maintained.

CT scan of triplane fracture

This CT scan of the ankle taken from the front (left) and from the side (right) shows a triplane fracture. Note the fracture plane is different in each view. The fracture also runs across the growth plate, resulting in three fracture planes (triplane).

Tillaux Fractures

Named after a French surgeon, Tillaux fractures are Salter-Harris Type III fractures in the front and outside area of the lower part of the tibia that extend through the growth plate and into the ankle joint. Tillaux fractures account for 3 to 5% of pediatric ankle fractures and typically occur in late adolescence when the growth plate is starting to close. The fracture fragments tend to be loose/unstable and are treated with open reduction and screw fixation.

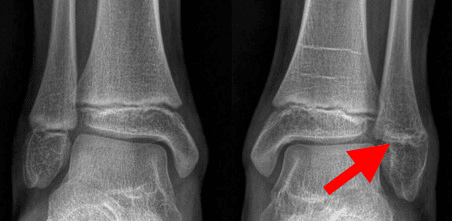
Tillaux fracture

In this Tillaux fracture, the blue arrow shows a widening of the growth plate, and the red arrow shows the fracture extending through the epiphysis and into the joint.

Tillaux fracture surgical fixation

During surgery to treat this Tillaux fracture, the bone fragments have been set into alignment and held together with a screw fixation.

Image courtesy of Stuart J. Fischer, MD, FAAOS

Medial Malleolus Fractures

The medial malleolus is the bony bump on the inside of the ankle. When a child twists their ankle, the medial malleolus can fracture. This results in a small, often unstable fragment. Because medial malleolus fractures tend to occur in younger patients, problems arising from a growth disturbance can be more severe. If the fragment is non-displaced or minimally displaced, it can be treated with a long-leg cast. Because this fracture fragment is small and usually unstable, it is usually treated with screw and/or pin fixation.

This X-ray shows a fractured and displaced medial malleolus. The bone fragment was reduced to its normal position and stabilized with a screw and two pins. Screw fixation alone is typically adequate.

Recovery

Ankle fractures in children generally heal in 4 to 6 weeks. The stabilizing effect of a splint, cast, or surgery will lessen the pain. The pain improves as the healing process advances, and most pain is gone within 2 weeks after the injury. Your child's doctor may prescribe pain medication to help with the pain.

Children with mild fractures may be allowed to walk right away. However, weightbearing is usually not allowed until the fracture heals. Your child's doctor will guide you through this process.

Although the fracture is often healed in 4 to 6 weeks, full recovery takes much longer. Your child's doctor may recommend home therapy or physical therapy to improve the flexibility of the joint and the strength of the leg muscles. Only when this strength has returned will your child be back to normal.

Complications

These fractures frequently lead to growth disturbances, which can result in an ankle that grows crooked or a leg that is short. Growth plate fractures must, therefore, be monitored carefully by a doctor to ensure proper long-term results. 

Regular follow-up visits with your child's doctor should continue for at least 1 year after the injury. Complicated fractures may need to be followed until the child reaches skeletal maturity (is finished growing).

In this X-ray, the growth has stopped on the patient's left fibula after the fracture healed (arrow). Compare this to the fibular growth plate on the uninjured side of the other ankle. This has resulted in some shortening of that bone and pain in the involved ankle.

Conclusion

Ankle fractures are a common childhood injury. Fractures that heal well-aligned and do not develop a growth disturbance should not cause any significant long-term problems such as arthritis or chronic pain.

OrthoKids

This article was reviewed by members of the Pediatric Orthopaedic Society of North America (POSNA).

Learn more about pediatric musculoskeletal conditions and injuries on the OrthoKids website.

Contributed and/or Updated by

Margaret Siobhan Murphy-Zane, MD, FAAOS

AAOS does not endorse any treatments, procedures, products, or physicians referenced herein. This information is provided as an educational service and is not intended to serve as medical advice. Anyone seeking specific orthopaedic advice or assistance should consult his or her orthopaedic surgeon, or locate one in your area through the AAOS Find an Orthopaedist program on this website.