Our knowledge of orthopaedics. Your best health.

from the American Academy of Orthopaedic Surgeons

Diseases & Conditions

Treatment

Recovery

Staying Healthy

Fraturas distais do rádio (fratura do punho) (Distal Radius Fractures (Broken Wrist))

O rádio é o maior dos dois ossos que formam o antebraço. A extremidade no sentido do punho é chamada de extremidade distal. Fraturas do rádio distal ocorrem quando a área do rádio próxima ao punho se quebra.

As fraturas distais do rádio são muito comuns. Na verdade, o rádio é o osso do membro superior fraturado com mais frequência.

Descrição

As fraturas distais do rádio ocorrem quase sempre a cerca de 2,5 cm da extremidade do osso. Contudo, podem ocorrer de várias formas diferentes.

Uma das fraturas distais do rádio mais comuns é a fratura de Colles, em que o fragmento fraturado do rádio desvia-se para cima. Essa fratura foi descrita pela primeira vez em 1814 pelo cirurgião e anatomista irlandês Abraham Colles - por isso o nome, fratura de Colles.

Uma fratura tipo Colles ocorre quando a extremidade fraturada do rádio se desvia para cima.

Uma fratura tipo Colles ocorre quando a extremidade fraturada do rádio se desvia para cima.

Outras maneiras de que o rádio pode fraturar-se incluem:

  • Fratura intra-articular. Fraturas que se estendem à articulação do punho. ("Articular" refere-se a "articulação".)
  • Fratura extra-articular. Fraturas que não se estendem à articulação são chamadas de fraturas extra-articulares.
  • Fratura aberta. Quando um osso fraturado rompe a pele, a fratura é chamada de fratura exposta. Esses tipos de fraturas precisam de atenção médica imediata por causa do risco de infecção.
  • Fratura cominutiva. Quando um osso é quebrado em mais de dois pedaços, a fratura é chamada de fratura cominutiva.

É importante classificar o tipo de fratura, porque algumas fraturas são mais difíceis de tratar que outras. As fraturas intra-articulares, as fraturas expostas, as fraturas cominutivas e as fraturas desviadas (quando os pedaços do osso quebrado se desalinham), por exemplo, são mais difíceis de tratar.

Às vezes, o outro osso do antebraço (a ulna) também é quebrado. Essa fratura é chamada de fratura distal da ulna.

A ilustração mostra alguns dos tipos de fraturas distais do rádio.

A ilustração mostra alguns dos tipos de fraturas distais do rádio.

Causa

A causa mais comum da fratura distal do rádio é a queda sobre o braço estendido.

A osteoporose (doença que faz com que os ossos fiquem muito frágeis e mais fáceis de quebrar) pode fazer com que uma queda relativamente simples resulte em um punho fraturado. Muitas fraturas do rádio distal em pessoas com mais de 60 anos de idade são causadas pela queda da própria altura.

O punho pode ser quebrado mesmo quando os ossos são saudáveis, se a força do trauma for grande o suficiente. Por exemplo, um acidente de carro ou a queda de uma bicicleta podem gerar força suficiente para quebrar o punho.

A boa saúde dos ossos ainda é uma importante opção de prevenção. Protetores de punho podem ajudar a prevenir algumas fraturas, mas não conseguem impedir todas.

Sintomas

O punho quebrado normalmente causa dor imediata, dor à palpação, hematoma e inchaço. Em muitos casos, o punho assume uma orientação incomum ou angulada (deformidade).

Exame médico

Se a lesão não for muito dolorosa, e se o punho não estiver deformado, pode ser possível aguardar até o dia seguinte para consultar o médico. O punho pode ser protegido com uma tala. Até que o médico examine o punho, uma compressa de gelo pode ser aplicada e o punho pode ficar elevado.

Se a lesão estiver muito dolorosa, se o punho estiver deformado ou dormente, ou se os dedos não estiverem rosados, é necessário procurar um pronto-atendimento.

O médico solicitará radiografias do punho para confirmar o diagnóstico. A radiografia é a técnica de diagnóstico por imagem mais comum e acessível. Ela mostra se o osso está quebrado e se há deslocamento (um espaço entre os ossos quebrados). Ela também pode mostrar em quantos pedaços o osso está quebrado.

(Esquerda) Radiografia de um punho normal. (Direita) As setas brancas indicam uma fratura distal do rádio.

(Esquerda) Radiografia de um punho normal. (Direita) As setas brancas indicam uma fratura distal do rádio.

Tratamento

O tratamento de ossos quebrados segue uma regra básica: os pedaços da fratura devem ser recolocados em seus lugares e mantidos no local correto até que tenham cicatrizado.

Há várias opções de tratamento para uma fratura distal do rádio. A escolha depende de muitos fatores, como a natureza da fratura, a idade e o nível de atividade, além das preferências pessoais do cirurgião.

Tratamento não cirúrgico

Se o osso quebrado estiver em uma boa posição, é possível usar gesso até que o osso consolide.

Se a posição (alinhamento) do osso não for a correta e houver chance de isso limitar o uso do braço no futuro, pode ser necessário realinhar os fragmentos do osso quebrado. "Redução" é o termo técnico para esse processo em que o médico coloca os pedaços quebrados no lugar. Se o osso é realinhado sem que seja preciso cortar a pele (incisão), a redução é chamada de redução fechada.

Depois que o osso está alinhado corretamente, uma tala ou gesso podem ser colocados no braço. A tala é normalmente usada nos primeiros dias, por conta de um pequeno grau de inchaço, que é comum. O gesso normalmente é colocado alguns dias ou uma semana depois, quando o inchaço diminui. O gesso é substituído 2 ou 3 semanas depois, à medida que o inchaço diminui mais, deixando o gesso frouxo.

Dependendo da natureza da fratura, o médico pode monitorar de perto a consolidação, fazendo radiografias regulares. Se a fratura tiver sido reduzida, ou se for considerada instável, as radiografias podem ser realizadas uma vez por semana por 3 semanas, e depois com 6 semanas. As radiografias podem ser realizadas com menos frequência se a fratura não tiver sido reduzida, ou se for considerada estável.

O gesso é retirado cerca de 6 semanas depois da ocorrência da fratura. Nesse momento, normalmente é iniciada a fisioterapia, para ajudar a melhorar os movimentos e as funções do punho lesionado.

Tratamento cirúrgico

Às vezes o osso está tão fora do lugar que não pode ser corrigido ou mantido na posição correta com o uso de gesso. Essa situação tem o potencial de interferir no uso do braço no futuro. Nesse caso, pode ser necessário fazer cirurgia.

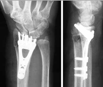
Procedimento. A cirurgia normalmente envolve um corte para acessar diretamente os ossos quebrados e melhorar o alinhamento (redução aberta).

Uma placa e alguns parafusos mantêm os fragmentos quebrados na posição correta até a consolidação.

Dependendo da fratura, há várias opções para manter os ossos na posição correta até a consolidação:

  • gesso;
  • pinos metálicos (normalmente de aço inoxidável ou titânio);
  • placa e parafusos;
  • fixador externo (uma estrutura estabilizante colocada do lado externo do corpo para segurar os ossos na posição correta para que possam consolidar);
  • qualquer combinação dessas técnicas.

Um fixador externo.

Fraturas expostas. Em todos os casos de fratura aberta, é necessário realizar a cirurgia o mais rápido possível (em até 8 horas depois da lesão). O tecido mole e os ossos expostos devem ser cuidadosamente limpos (debridados), e antibióticos devem ser administrados para prevenir infecções. Serão usados métodos de fixação externos ou internos para manter os ossos no lugar correto. Se os tecidos moles ao redor da fratura estiverem muito lesionados, o médico pode aplicar um fixador externo temporário. A fixação interna com placas ou parafusos pode ser usada como segundo procedimento alguns dias depois.

Recuperação

Como os tipos de fratura distal do rádio são muito variados, e as opções de tratamento são muito amplas, a recuperação é diferente para cada indivíduo. Converse com o médico se quiser informações específicas sobre seu programa de recuperação e o retorno às atividades do dia a dia.

Manejo da dor

A maioria das fraturas é acompanhada de dores moderadas que duram de alguns dias a algumas semanas. Muitos pacientes descobrem que tudo o que precisam para aliviar as dores é o uso de gelo, a elevação do braço (mantê-lo acima do coração) e o uso medicamentos analgésicos simples isentos de prescrição.

O médico pode recomendar a associação de ibuprofeno e acetaminofeno para aliviar as dores e a inflamação. A associação desses medicamentos é muito mais eficaz que qualquer um dos dois sozinhos. Se a dor for intensa, os pacientes podem precisar tomar um medicamento mais forte, vendido sob prescrição - normalmente um opioide - por alguns dias.

Gesso e cuidados com a ferida

Em alguns casos, os gessos originais são substituídos porque o inchaço diminui tanto que o gesso fica solto. O último gesso é retirado normalmente depois de cerca de 6 semanas.

Durante a consolidação, os gessos e as talas devem ser mantidos secos. O uso de uma sacola plástica sobre o braço durante o banho deve ajudar. Se o gesso for molhado, será difícil secá-lo. Um secador de cabelo no modo ar frio pode ajudar nessa tarefa.

A maioria das incisões cirúrgicas tem que ser mantida limpa e seca por 5 dias, ou até que as suturas (pontos) sejam retiradas, o que ocorrer por último.

Possíveis complicações

Depois da cirurgia ou da colocação do gesso, é importante que recupere todos os movimentos dos dedos das mãos o mais rápido possível. Se você não conseguir movimentar seus dedos por completo em até 24 horas por causa de dores e/ou inchaço, entre em contato com o médico para fazer uma avaliação.

Ele pode soltar o gesso ou o curativo da cirurgia. Em alguns casos, será preciso trabalhar com um fisioterapeuta ou um terapeuta ocupacional para recuperar todos os movimentos.

A dor incessante pode ser sinal de síndrome dolorosa regional complexa (distrofia simpática reflexa), que deve ser tratada agressivamente com medicamentos ou bloqueios anestésicos.

Reabilitação e retorno às atividades

A maioria das pessoas retorna às atividades anteriores depois da fratura distal do rádio. A natureza da lesão, o tipo de tratamento recebido e a resposta do corpo ao tratamento têm, todos, impacto, portanto a resposta de cada indivíduo é diferente.

Quase todos os pacientes terão alguma rigidez no punho. Normalmente, ela diminuirá no primeiro ou no segundo mês após a retirada do gesso, ou depois da cirurgia, e continuará a melhorar por pelo menos 2 anos. Se o médico achar necessário, será iniciada fisioterapia em alguns dias ou semanas depois da cirurgia, ou logo após o último gesso ser retirado.

A maioria dos pacientes será capaz de retomar as atividades leves, como nadar ou exercitar os membros inferiores na academia, em até 1 ou 2 meses depois da retirada do gesso, ou em até 1 ou 2 meses depois da cirurgia. Atividades vigorosas, como esquiar ou jogar futebol, podem ser retomadas entre 3 e 6 meses depois da lesão.

Resultados no longo prazo

Estima-se que a recuperação deva levar pelo menos um ano.

Deve haver algum grau de dor durante atividades vigorosas no primeiro ano. Alguma rigidez ou dor residual deve estar presente por pelo menos 2 anos, ou até permanentemente, especialmente para lesões de alta energia (como acidentes de motocicleta), em pacientes com mais de 50 anos de idade ou em pacientes com algum grau de osteoartrite. Entretanto, a rigidez normalmente é pequena e não costuma afetar os movimentos do braço.

Por fim, a osteoporose é um fator de muitas fraturas do punho. Há sugestões de que pessoas com fratura de punho façam exames para avaliar a fragilidade óssea, especialmente se tiverem outros fatores de risco para a osteoporose. Pergunte ao médico em que consiste o exame da osteoporose.

Last Reviewed

novembro 2015

AAOS does not endorse any treatments, procedures, products, or physicians referenced herein. This information is provided as an educational service and is not intended to serve as medical advice. Anyone seeking specific orthopaedic advice or assistance should consult his or her orthopaedic surgeon, or locate one in your area through the AAOS Find an Orthopaedist program on this website.