Diseases & Conditions
Pie diabético (Charcot) (Diabetic Charcot Foot)
La diabetes es una afección en la que se eleva el nivel de azúcar en la sangre y que afecta a aproximadamente al 9 % de la población en los Estados Unidos, lo que equivale a cerca de 30 millones de personas. El pie diabético es un problema mayor de salud y una causa frecuente de hospitalización.
La mayoría de los problemas en los pies a los que se enfrentan las personas con diabetes surgen del daño que causa esta enfermedad en los vasos sanguíneos pequeños. En los pies, el daño en los vasos pequeños causa dos problemas mayores:
- En primer lugar, la irrigación sanguínea deficiente hacia los nervios afecta la sensibilidad en los pies, lo que hace que los diabéticos sean menos propensos a sentir cortes u otras lesiones.
- En segundo lugar, la irrigación sanguínea deficiente hacia la piel y hacia los pies en general afecta la cicatrización de las heridas. Por lo tanto, los pacientes diabéticos son más propensos a lastimarse y sus heridas son menos propensas a sanar de forma adecuada. Las heridas que no se sanan permiten que las bacterias entren al pie, lo que puede provocar infecciones en el pie diabético.
Hay varias opciones de tratamiento para los diversos problemas que pueden ocurrir en el pie diabético. Sin embargo, el tratamiento más eficaz es la prevención. Para las personas con diabetes, el estricto control de los niveles de azúcar en la sangre y la inspección diaria y minuciosa de los pies son fundamentales para la salud en general y para la prevención de problemas graves en los pies.
El daño en los nervios causado por la diabetes se denomina neuropatía diabética. Uno de los problemas más graves que puede provocar la neuropatía diabética es la artropatía de Charcot (también conocida como neuroartropatía de Charcot o, simplemente, pie de Charcot).
Esta afección es el resultado de la falta de detección de lesiones en los huesos del pie, la cual puede provocar deformidades y discapacidades importantes. El resto de este artículo se centrará en la artropatía de Charcot.
Descripción
La artropatía de Charcot es una afección en el pie y el tobillo causada por una incapacidad de sentir las lesiones, lo que puede provocar deformidades importantes. Debe haber una neuropatía (daño en los nervios) para que se desarrolle el pie de Charcot, y la causa más común de esta neuropatía es la diabetes.
Los pacientes diabéticos con neuropatía pueden tener fracturas o luxaciones en el pie y no darse cuenta. Estas lesiones pueden:
- ocurrir tras eventos traumáticos obvios, como caídas o esguinces de tobillo;
- desarrollarse con el tiempo debido a una alteración en la distribución del peso en un pie diabético (microtrauma). En un paciente normal, estas fuerzas anormales generarían dolor, y harían que el paciente adapte su postura y redistribuya el peso antes de que ocurra una lesión o daño en el pie. Sin embargo, un diabético no sentirá dolor ni adaptará el peso, por lo que, con el tiempo, esas fuerzas pueden provocar fracturas y otras lesiones.
Sin una sensación de dolor normal, un diabético puede continuar caminando sobre un pie lesionado, y empeorar la lesión y provocarse una deformidad importante. Solo entre el 25 y el 50 % de los pacientes con pie de Charcot informan haber tenido una lesión específica que puedan recordar.
Como se mencionó anteriormente, debe haber una neuropatía para que se desarrolle el pie de Charcot. Sin embargo, estos son otros factores de riesgo que pueden contribuir al desarrollo del pie de Charcot:
- El factor de riesgo más significativo es la obesidad. En términos simples, el exceso de peso sobre un pie que no puede sentir dolor es la combinación perfecta para que se desarrolle el pie de Charcot.
- El riesgo de que un diabético desarrolle pie de Charcot también aumenta con la edad.
Las deformidades resultantes en el pie de Charcot pueden provocar varios problemas:
- Pueden dificultar o incluso imposibilitar el uso de calzado normal.
- Pueden ser lo suficientemente graves como para hacer que el pie y el tobillo pierdan la estabilidad e imposibilitar una marcha normal.
- Sin embargo, el mayor problema del pie de Charcot es que las deformidades pueden crear zonas con prominencias óseas debajo de la piel (el hueso se ubica justo debajo de la superficie de la piel). Esto provoca úlceras o lesiones que surgen del exceso de presión en la piel. Una vez que la piel se abre, el riesgo de desarrollar una infección en el pie es muy alto y, debido a la irrigación sanguínea deficiente, los diabéticos tienen dificultades para combatir las infecciones y curar las heridas. Por este motivo, los diabéticos con pie de Charcot tienen un 50 % de probabilidades de terminar con una amputación si desarrollan una úlcera, frente a solo el 10 % de probabilidades sin una úlcera.
Síntomas
Aunque los pacientes con artropatía de Charcot por lo general no sienten mucho dolor, pueden tener otros síntomas.
- El primer signo de Charcot es la hinchazón del pie, que puede ocurrir sin una lesión obvia. Lo primero que observará es que tiene dificultades para que el pie entre en el calzado.
- El enrojecimiento y la sensación de calor en el pie también pueden ocurrir en las etapas tempranas. Estos cambios son una respuesta inflamatoria normal a las lesiones que están ocurriendo en el pie.
- La hinchazón, el enrojecimiento y la sensación de calor pueden confundirse con una infección. Sin embargo, es muy poco probable que se produzca una infección si la piel está intacta y no hay una herida presente. Por lo tanto, si un diabético tiene una hinchazón nueva en el pie sin tener una herida, lo más probable es que el diagnóstico sea Charcot. Otra forma de distinguir rápidamente entre Charcot y una infección es elevar el pie varios minutos. Si tiene Charcot, la hinchazón, la sensación de calor y el enrojecimiento deberían mejorar; por el contrario, en un pie infectado, estos síntomas no mejorarían.
Examen médico
Antecedentes médicos y examen físico
El médico hablará con usted sobre sus síntomas y su salud en general. Este profesional querrá saber lo siguiente:
- de qué manera puede haberse lesionado el pie;
- su diabetes, como sus valores más recientes en la prueba de hemoglobina A1C, y sus antecedentes de lesiones o infecciones en el pie.
Después de analizar los síntomas y los antecedentes médicos, el médico le examinará minuciosamente el pie.
- Si tiene sensación de calor, enrojecimiento o hinchazón en el pie, es posible que el médico le eleve el pie para ver si estos síntomas mejoran.
- Buscará la presencia de úlceras o prominencias óseas (huesos que se ubican justo debajo de la superficie de la piel) que puedan provocar úlceras.
- Examinará minuciosamente la forma del pie para detectar deformidades evidentes e intentará determinar si las deformidades son corregibles (“flexibles”) o rígidas.
- Evaluará la irrigación sanguínea y la sensibilidad (sensaciones) en el pie.
Pruebas de diagnóstico por imágenes
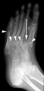
Radiografías. Las radiografías brindan imágenes detalladas de las estructuras densas, como los huesos. En la etapa muy temprana de Charcot, las imágenes proporcionadas por las radiografías pueden ser normales. Sin embargo, en casos más graves, pueden verse fracturas y fragmentos óseos en las radiografías. A medida que avanza la afección, las deformidades pueden volverse más drásticas, lo que puede derivar en luxaciones, destrucción de las articulaciones y formación de tejido óseo.
Exploración por tomografía computarizada (TC). Una TC es un tipo de radiografía tridimensional que puede proporcionar una imagen muy detallada de los huesos. Es probable que su médico le ordene una TC si considera que necesita una cirugía para el pie de Charcot. La TC detallada puede ser muy útil para planificar exactamente qué tipo de cirugía necesita.
Imágenes por resonancia magnética (IRM) y ecografías. Las IRM y las ecografías pueden generar mejores imágenes de los tejidos blandos del pie y el tobillo que las radiografías. Su médico puede ordenar estos estudios si sospecha que hay una infección. Las infecciones en el hueso (osteomielitis) pueden ser difíciles de distinguir de la inflamación que normalmente se presenta con el pie de Charcot. Sin embargo, si hay una colección de pus en los tejidos blandos (absceso), esto se evidenciaría en una IRM.
Gammagrafía ósea/Gammagrafía de glóbulos blancos marcados con indio. Una gammagrafía ósea es una prueba de medicina nuclear que puede ser eficaz para determinar si hay una infección ósea. Hay diferentes tipos de gammagrafías óseas, y el médico debe determinar qué tipo es conveniente usar para un problema particular. Estas pruebas son un poco más efectivas que la IRM para distinguir el Charcot de una infección ósea, pero igual pueden no ser concluyentes. Una gammagrafía de glóbulos blancos marcados con indio es una prueba especializada que implica colocar un marcador en los glóbulos blancos. Luego, se rastrean estas células para ver si se dirigen al hueso para combatir una infección.
Tanto el pie de Charcot como una infección ósea pueden dar positivo en una gammagrafía ósea, pero solo la infección mostrará un aumento significativo de la actividad en la gammagrafía de glóbulos blancos marcados con indio.
Tratamiento
El objetivo integral del tratamiento del pie de Charcot es lograr un pie plantígrado (capaz de lograr un apoyo homogéneo en el piso) y sin úlceras que le permita al paciente caminar de forma segura usando un calzado para diabéticos disponible en el mercado. Para lograr esto, el tratamiento procura garantizar que el pie:
- esté estable:el pie y el tobillo tienen la forma y la fuerza necesarias para soportar el peso del paciente y permitirle caminar sin provocar nuevas deformidades;
- sea plantígrado:el pie puede lograr un apoyo homogéneo en el piso como lo haría normalmente. Para entender este concepto, imagine el pie como si fuera un banco de tres patas conformado por el talón, el dedo gordo y el meñique. Si estos tres puntos pueden lograr un apoyo homogéneo en el piso mientras el paciente está de pie de forma normal, entonces el pie es plantígrado;
- sea capaz de soportar un dispositivo ortopédico:incluso si el pie no está en una posición perfectamente normal por su cuenta, se puede estabilizarse y volverse plantígrado mediante el uso de plantillas y aparatos ortopédicos, es probable que puedan prevenirse las deformidades y las úlceras;
se mantenga libre de úlceras: la meta principal en el tratamiento del pie de Charcot. Si usted puede prevenir las úlceras, puede prevenir infecciones y, por ende, evitar amputaciones. Prevenir o corregir las prominencias óseas debajo de la piel es la clave para prevenir las úlceras. Las metas de tratamiento mencionadas arriba pueden considerarse formas de minimizar el riesgo de desarrollar una úlcera aparte de ayudar al paciente a caminar con normalidad.
Tratamiento no quirúrgico
Yeso. Las etapas tempranas de Charcot suelen tratarse con un yeso o una bota especial para proteger el pie y el tobillo. El objetivo del yeso es permitir que los huesos se consoliden en una posición estable y evitar que se desarrollen más deformidades. El uso de un yeso es muy eficaz para reducir la hinchazón y proteger los huesos.
El tipo más común de yeso usado para el pie de Charcot es el “yeso de contacto total”. Es muy parecido a los yesos normales, pero cubre todo el pie.
El paciente enyesado esta prohibido de apoyar el peso sobre el pie hasta que los huesos comiencen a consolidarse. Por lo general, es necesario el uso de muletas, un andador ortopédico de rodilla o una silla de ruedas.
A veces, la consolidación puede tardar 3 meses o más.
- Normalmente, le cambiarán el yeso cada una o dos semanas para garantizar que continúe adaptándose a la pierna a medida que la hinchazón disminuya y para garantizar que no se estén desarrollando úlceras.
- Después de que haya disminuido la hinchazón, los pacientes a veces pasan a usar una bota resistente que cubre todo el pie de forma similar, pero que es removible. Los beneficios de dejar de usar el yeso y pasar a usar la bota es que el paciente puede caminar con la bota y quitársela para inspeccionarse y limpiarse el pie.
- Eventualmente, el objetivo es volver a usar un calzado normal.
Calzado a medida y artículos y aparatos ortopédicos. Es posible que algunos diabéticos no puedan usar un calzado común de venta libre porque no les entra bien en el pie deformado. Quizás necesite calzado para diabéticos especializado y de venta libre, o incluso un calzado a medida que le entre bien en el pie. También es posible que deba usar plantillas o dispositivos ortopédicos hechos a medida que lo ayuden a soportar el pie y el tobillo a fines de prevenir lesiones y deformidades.
Tratamiento quirúrgico
Si las metas mencionadas del tratamiento para el pie de Charcot no pueden lograrse solo con un yeso o un calzado hecho a medida, puede que la cirugía sea la mejor opción.
- Puede ser recomendable una cirugía si las deformidades impiden que camine normalmente o hacen que corra un alto riesgo de desarrollar úlceras.
- Las fracturas inestables y las luxaciones también requieren cirugía para consolidarse.
Las siguientes son solo algunas de las opciones quirúrgicas para los diversos problemas que puede presentar el pie de Charcot. Estas operaciones suelen realizarse en combinación para cubrir las necesidades específicas del paciente.
- Desbridamiento de úlceras. Las úlceras pueden requerir la ayuda de una cirugía para poder sanar. Desbridamiento simplemente significa limpiar la úlcera y quitar las partes muertas de la piel que posiblemente no sanen. Puede colocarse un yeso después del desbridamiento para quitar la presión de la úlcera a medida que sana.
- Elongación del músculo de la pantorrilla o tendón de Aquiles. Si bien no es una causa directa de una lesión, el músculo de la pantorrilla o tendón de Aquiles puede estar tenso. Esta rigidez puede crear puntos de presión en la planta del pie, específicamente en la parte frontal del pie, o antepié, que pueden provocar úlceras. La elongación del músculo de la pantorrilla o tendón de Aquiles puede aliviar esta presión.
- Extirpación de las prominencias óseas (exostectomía). Las deformidades pueden provocar prominencias óseas debajo de la piel, y la presión sobre la piel causada por esos huesos puede provocar úlceras. La forma más simple de evitar que una prominencia ósea cause una úlcera es quitando ese fragmento de hueso. Las prominencias en la parte inferior y medial del pie son muy propensas a causar úlceras.
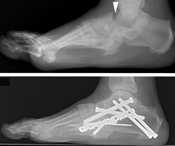
- Corrección de deformidades en el pie de Charcot. Cuando las fracturas y luxaciones son inestables o los huesos están significativamente desalineados, puede ser necesaria la colocación de placas, tornillos o barras para corregir las deformidades y lograr que los huesos se consoliden en una posición adecuada. Debido a la calidad ósea deficiente, las fracturas que ocurren en los diabéticos suelen ser más complejas. Por lo tanto, las cirugías para corregirlas suelen requerir más implantes (placas y tornillos) que los que serían necesarios en pacientes no diabéticos. Si se realiza cualquiera de estas operaciones, también puede utilizarse un injerto de hueso para ayudar a que los huesos se consoliden.
- La artrodesis articular (fusión de articulación) es un tipo de cirugía en la que los huesos luxados se fijan en un fragmento de hueso sólido. Las fusiones de articulación son operaciones eficaces para corregir deformidades y mejorar la estabilidad; por ende, son una pilar en el tratamiento del pie de Charcot.
- Para las fracturas agudas sin luxaciones importantes, puede ser suficiente solo reparar los huesos fracturados (reducción abierta y fijación interna).
- Para las deformidades significativas, particularmente del talón o el tobillo, puede ser necesario insertar una barra grande en el tobillo para mantener la estabilidad.
 
- Amputación. En casos graves de artropatía de Charcot, como los que se complican por deformidades graves, una infección profunda en el hueso o la pérdida de irrigación sanguínea hacia el pie, quizás no sea posible salvar el pie o una parte de este. En estas situaciones, el médico puede recomendar una amputación por encima del nivel de la enfermedad, seguida de la colocación de una prótesis para ayudar al paciente a mantener la movilidad.
Desenlaces quirúrgicos
Debido a la diabetes subyacente y las deformidades significativas que suelen estar presentes, la cirugía en un pie de Charcot conlleva un mayor riesgo de complicaciones en la herida, infecciones y amputación en comparación con una cirugía de fractura de pie y tobillo de rutina. Estas son las mejores formas de reducir los riesgos:
- Mantener bajo control el nivel de azúcar en la sangre (las tasas de complicación están directamente relacionadas con el nivel de hemoglobina A1C del paciente).
- No cargar peso en el pie después de la cirugía hasta que el médico lo autorice.
Deben analizarse con cuidado los riesgos y beneficios de la cirugía según cada caso. Debido a la amplia variedad de problemas y deformidades que se tratan, las tasas específicas de éxito o complicaciones varían. A pesar de que el riesgo de complicaciones por la cirugía es alto, el riesgo de desenlaces negativos por no tratar el pie de Charcot suele ser incluso mayor. Por ejemplo, los pacientes con pie de Charcot con una úlcera tienen un 50 % de probabilidad de terminar con una amputación; por ende, si es necesaria una cirugía para corregir deformidades y prevenir úlceras, el riesgo suele justificarse.
Si la cirugía se realiza antes del desarrollo de una úlcera, las tasas de éxito suelen ser muy buenas (por lo general, mayores al 80 %). Sin embargo, la presencia de una úlcera hace que la cirugía sea mucho más desafiante, principalmente debido a un mayor riesgo de infección.
Después de la cirugía, suele haber un período en el que no podrá cargar peso en el pie durante al menos 3 meses. Cargar peso en el pie antes de tiempo e incumplir las instrucciones del médico probablemente causará complicaciones, como las siguientes:
- Dificultad para que las incisiones sanen
- Lesiones nuevas
- Regreso de la deformidad o incluso empeoramiento de esta
Conclusión
El mejor tratamiento para los problemas de pie diabético es la prevención. Las claves para la prevención incluyen las siguientes:
- Control estricto de los niveles de glucosa en la sangre
- Controles diarios en los pies para asegurarse de que no tenga heridas ni se estén desarrollando úlceras
Usar un calzado sólido, con buen soporte y que cubra todo el pie es fundamental para prevenir heridas y lesiones.
Si detecta algún cambio en la apariencia del pie (hinchazón, enrojecimiento, sensación de calor o una herida), consulte a su médico lo antes posible. Cuanto más pronto se diagnostique y se trate la artropatía de Charcot, mejor será el desenlace.
Una vez que le diagnostiquen pie de Charcot, la clave para el tratamiento es asegurarse de que el pie sane en una posición estable para minimizar el riesgo de desarrollar úlceras. A veces, esto puede lograrse sin cirugía, pero a menudo la cirugía es la mejor forma de prevenir deformidades y úlceras mayores. Es de vital importancia hacer todo lo posible para prevenir úlceras, ya que estas aumentan en un 40 % el riesgo de amputación en un paciente con Charcot.
Para garantizar un tratamiento con el mejor desenlace:
- Es fundamental que el paciente siga las instrucciones del médico sobre el momento en el que es seguro cargar peso en el pie lesionado.
- Los pacientes deben comprometerse de por vida a inspeccionarse con atención los pies todos los días y a controlarse los niveles de azúcar en la sangre.
Ambos hábitos son importantes para detectar el pie de Charcot a tiempo y para evitar complicaciones a largo plazo.
Last Reviewed
mayo 2023
AAOS does not endorse any treatments, procedures, products, or physicians referenced herein. This information is provided as an educational service and is not intended to serve as medical advice. Anyone seeking specific orthopaedic advice or assistance should consult his or her orthopaedic surgeon, or locate one in your area through the AAOS Find an Orthopaedist program on this website.
 
     
             
             
         
         
         
         
         
         
         
         
        