Our knowledge of orthopaedics. Your best health.

SYSTEM ALERT: OrthoInfo will be down for maintenance from  8:00 a.m. to 9:00 a.m.(CST) on 12/16/2025.  We apologize for the inconvenience.

SYSTEM ALERT: OrthoInfo will be down for maintenance from  8:00 a.m. to 9:00 a.m.(CST) on 12/16/2025.  We apologize for the inconvenience.

from the American Academy of Orthopaedic Surgeons

Diseases & Conditions

Treatment

Recovery

Staying Healthy

Print

Email

español

Juanetes (Bunions)

Un juanete es un bulto óseo doloroso que se desarrolla en la parte interna del pie, en la articulación del dedo gordo del pie. A menudo, a los juanetes se los llama “hallux valgus.”

Los juanetes se desarrollan lentamente. La presión sobre la articulación del dedo gordo hace que este dedo se incline hacia el segundo dedo. Con el transcurso del tiempo, cambia la estructura normal del hueso, lo que da como resultado el bulto del juanete. Esta deformidad aumentará gradualmente y puede producir dolor al usar zapatos o al caminar.

Cualquier persona puede tener un juanete, pero son más comunes en las mujeres. Muchas mujeres usan zapatos ajustados y angostos que comprimen los dedos entre sí, lo que facilita el desarrollo de juanetes, su empeoramiento y los síntomas dolorosos.

En la mayoría de los casos, el dolor de juanete se alivia al usar zapatos más amplios con el espacio adecuado para los dedos y al emplear otros tratamientos sencillos para disminuir la presión en el dedo gordo.

A veces, los juanetes se desarrollan en ambos pies.

Anatomía

El dedo gordo está conformado por dos articulaciones. La más larga de las dos es la articulación metatarsofalángica (MTF), donde el primer hueso largo del pie (hueso metatarsiano) se une con el primer hueso del dedo (falange).

Los juanetes se desarrollan en la articulación MTF.

Los huesos del pie y la articulación metatarsofalángica (MTF).

Descripción

Un juanete se forma cuando los huesos que componen la articulación MTF se desplazan y se desalinean: el hueso metatarsiano largo se inclina hacia la parte interna del pie y los huesos falanges del ángulo del dedo gordo se inclinan hacia el segundo dedo. La articulación MTF aumenta de tamaño y sobresale de la parte interna del antepié.

A menudo, se inflama la articulación agrandada. La palabra “juanete” proviene del término griego que significa ‘nabo’ y el juanete en la parte interna del pie, en general, se va enrojeciendo e hinchando, similar a un nabo.

La articulación MTF se agranda e inflama.

Evolución del juanete

Los juanetes comienzan con un tamaño pequeño pero, por lo general, empeoran con el transcurso del tiempo (en especial, si la persona continúa usando zapatos ajustados y angostos). Debido a que se flexiona la articulación MTF con cada paso, cuanto más grande sea el juanete, más difícil y más doloroso será poder caminar.

Un juanete avanzado puede alterar significativamente el aspecto del pie. En juanetes graves, el dedo gordo puede inclinarse completamente por debajo o por sobre el segundo dedo. La presión del dedo gordo puede empujar el segundo dedo afuera de la alineación, lo que causa que entre en contacto con el tercer dedo. Se pueden desarrollar callos donde los dedos friccionan unos contra otros, lo que causa molestia adicional y dificultad para caminar.

Los juanetes empeoran con el transcurso del tiempo. A medida que el dedo gordo se inclina hacia el segundo dedo, puede cruzarlo por arriba y causar problemas adicionales.

Problemas del pie relacionados con los juanetes

En algunos casos, una articulación MTF agrandada puede provocar bursitis, una afección dolorosa en la que se inflama el saco de líquido (bolsa) que amortigua al hueso cerca de la articulación. También puede provocar dolor crónico y artritis si el cartílago articular liso que cubre la articulación se daña debido a que la articulación no se desliza adecuadamente.

Juanete de adolescente

Además del juanete común, existen otros tipos de juanetes. Como el nombre lo indica, los juanetes que se presentan en personas jóvenes se llaman “juanetes de adolescente.” Estos juanetes son más frecuentes en niñas de 10 a 15 años.

Mientras que, a menudo, un juanete en un adulto limita el movimiento de la articulación MTF, una persona joven con un juanete puede mover normalmente el dedo gordo hacia arriba y hacia abajo. Sin embargo, un juanete de adolescente también puede ser doloroso y dificultar el uso de zapatos.

A diferencia de los juanetes de adulto, que generalmente están relacionados con el uso prolongado de zapatos ajustados y angostos, los juanetes de adolescente, a menudo, son genéticos y hereditarios.

Bunionette

Un bunionette, o “juanete de sastre,” se presenta en la cara externa del pie, cerca de la base del dedo chico. Aunque es un sitio distinto del pie, un bunionette es muy similar a un juanete. Puede desarrollar bursitis dolorosa y endurecimientos o callos sobre el bulto.

Un juanete que se forma en la articulación principal del dedo chico se llama “bunionette.”

Causa

Los juanetes pueden estar causados por lo siguiente:

  • usar zapatos que no calzan correctamente, en particular, los zapatos con punta angosta que obliga a los dedos a estar en una posición que no es natural;
  • herencia: algunas personas heredan pies que tienen más probabilidades de desarrollar juanetes debido a la forma y la estructura;
  • tener una afección inflamatoria, como artritis reumatoide, o una afección neuromuscular, como poliomielitis.

Síntomas

Además del bulto visible en la parte interna del pie, los síntomas del juanete pueden incluir los siguientes:

  • dolor y sensibilidad;
  • enrojecimiento e inflamación;
  • piel endurecida sobre la parte inferior del pie;
  • un callo o un endurecimiento en el bulto;
  • rigidez y movimiento restringido en el dedo gordo, que puede provocar dificultad al caminar.

Examen del médico

Examen físico

El médico le preguntará acerca de la historia clínica, la salud general y los síntomas. Realizará un examen cuidadoso del pie. Aunque el médico probablemente podrá diagnosticar un juanete según los síntomas y el aspecto del pie, también indicará una radiografía.

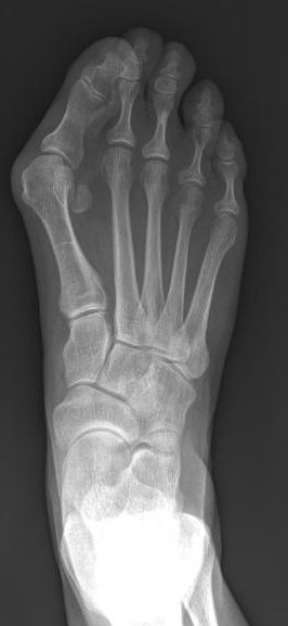
Radiografías

Las radiografías ofrecen imágenes de estructuras densas, como los huesos. Una radiografía le permitirá al médico comprobar la alineación de los dedos y buscar daños en la articulación MTF.

La alineación de los huesos del pie cambia cuando se pone de pie o se sienta. El médico tomará una radiografía mientras esté de pie para ver con más claridad el defecto de alineación de los huesos del pie. Usará las radiografías para determinar cuán grave es el juanete y cómo corregirlo mejor.

Las radiografías del pie le muestran al médico qué tan desalineados están los huesos.

Reproducido de Wagner E, Ortiz C: Proximal oblique sliding closing-wedge osteotomy for wide-angle hallux valgus. Orthopaedic Knowledge Online Journal: Vol 12, No 4, 4/1/2014; Accessed December 2015.

Tratamiento no quirúrgico

En la mayoría de los casos, los juanetes se tratan sin cirugía. Aunque el tratamiento no quirúrgico, en realidad, no puede “revertir” un juanete, puede ayudar a disminuir el dolor y evitar que el juanete continúe empeorando.

Cambios en el calzado

En la gran mayoría de los casos, el dolor de juanete se puede controlar con éxito al cambiar los zapatos por unos que calcen adecuadamente y no compriman lo dedos. Algunos zapatos se pueden modificar con la ayuda de un ensanchador para estirar las zonas que ejercen presión en los dedos. El médico le puede brindar información sobre el calce adecuado del zapato y el tipo de zapato que sería mejor para usted. (Lea la sección a continuación “Consejos para un calce adecuado del zapato”).

Almohadilla

Las almohadillas protectoras “de cubierta de juanete” pueden ayudar a amortiguar la zona dolorosa sobre el juanete. Las almohadillas se pueden comprar en tiendas o farmacias. En primer lugar, asegúrese de probar las almohadillas durante un período breve; el tamaño de la almohadilla puede aumentar la presión sobre el bulto. Esto podría empeorar el dolor en lugar de disminuirlo.

Ortótica y otros dispositivos

Para quitar la presión del juanete, el médico le puede recomendar que use plantillas para zapato de venta libre o hechas a medida (ortótica). Los separadores de dedo se pueden colocar entre los dedos. En algunos casos, la colocación de una férula durante la noche que mantenga el dedo gordo en una posición recta puede ayudar a aliviar el dolor.

Aplicación de hielo

Aplicar hielo varias veces al día durante 20 minutos por vez puede ayudar a disminuir la inflamación. No aplique hielo directamente sobre la piel.

Medicamentos

Los medicamentos antiinflamatorios no esteroideos, como el ibuprofeno y el naproxeno, pueden ayudar a aliviar el dolor y a disminuir la inflamación. Se pueden recetar otros medicamentos para ayudar a mejorar el dolor y la inflamación en pacientes que tienen juanetes causados por la artritis.

Consejos para un calce adecuado del zapato

Debido a que lo zapatos con calce inadecuado son una causa común de los juanetes, y pueden empeorar un juanete existente, es importante asegurarse de que los zapatos le calcen adecuadamente. En general, opte por zapatos de empeine ancho, espacio amplio para los dedos y suelas blandas. Evite los zapatos que son demasiado cortos, ajustados o en punta, y aquellos con tacones más altos que un par de pulgadas (5 cm). Los zapatos de tacones más alto ejercen más presión en el antepié y aumentan la probabilidad de tener problemas o lesiones en el pie.

Los siguientes consejos lo ayudarán a escoger un zapato que calce correctamente:

  • no escoja los zapatos por el tamaño indicado en el interior del zapato. Los tamaños varían según la marca y el estilo. Juzgue el zapato por cómo le calza en el pie;
  • seleccione un zapato que se amolde lo más posible a la forma del pie;
  • hágase medir el pie con regularidad. El tamaño del pie cambia a medida que envejece;
  • hágase medir ambos pies. La mayoría de las personas tiene un pie más largo que el otro. Busque el tamaño para el pie más largo;
  • tome la medida al final del día cuando los pies están más grandes;
  • manténgase de pie mientras se calce los zapatos y revise que haya espacio adecuado (3/8" a 1/2" [1 a 1,30 cm]) para el dedo más largo, al final del zapato;
  • asegúrese de que la región metatarsiana (bola del pie) calce bien en la parte más ancha (cavidad para bola) del zapato;
  • no compre zapatos que se sientan ajustados, con la esperanza de que “se estiren” y calcen bien;
  • el talón debe calzar cómodamente en el zapato con una pequeña cantidad de espacio de deslizamiento;
  • camine con el zapato puesto para asegurarse de que calce y se sienta bien. Los zapatos de moda pueden ser cómodos.

(Izquierda) Evite los zapatos angostos y en punta que comprimen los dedos. (Derecha) En su lugar, busque zapatos con un espacio cómodo para los dedos.

¿Cuándo se requiere la cirugía de juanete?

El médico puede recomendar la cirugía para juanete o bunionette si, después de un tiempo, tiene dolor y dificultad para caminar, a pesar de los cambios en el calzado y otros tratamientos no quirúrgicos. La cirugía de juanete realinea el hueso, los ligamentos, los tendones y los nervios de manera que el dedo gordo pueda regresar a su posición adecuada.

Existen diversos procedimientos quirúrgicos para corregir los juanetes. Aunque muchos se realizan en un día sin necesidad de hospitalización, es frecuente la recuperación prolongada después de una cirugía de juanete.

La cirugía para eliminar un juanete de adolescente no se recomienda a menos que el juanete cause un dolor extremo que no mejora con el cambio de calzado ni con el uso de ortesis. Si a un adolescente se le realiza una cirugía de juanete, en particular, antes de alcanzar la madurez esquelética, existe una gran posibilidad de que regrese el juanete.

Last Reviewed

septiembre 2019

Contributed and/or Updated by

Steven L. Haddad, MD, FAAOS

Peer-Reviewed by

Ramon L. Jimenez, MD, FAAOSStuart J. Fischer, MD, FAAOS

AAOS does not endorse any treatments, procedures, products, or physicians referenced herein. This information is provided as an educational service and is not intended to serve as medical advice. Anyone seeking specific orthopaedic advice or assistance should consult his or her orthopaedic surgeon, or locate one in your area through the AAOS Find an Orthopaedist program on this website.