Our knowledge of orthopaedics. Your best health.

from the American Academy of Orthopaedic Surgeons

Diseases & Conditions

Treatment

Recovery

Staying Healthy

Revision Total Knee Replacement

Total knee replacement is one of the most successful procedures in all of medicine. In most cases, it enables people to live richer, more active lives free of chronic knee pain.

Over time, however, a knee replacement may fail for a variety of reasons. When this occurs, your knee can become painful and swollen. It may also feel stiff or unstable, making it difficult to perform your everyday activities.

If your knee replacement fails, your doctor may recommend that you have a second surgery — revision total knee replacement. In this procedure, your doctor removes some or all of the components (parts) of the original prosthesis (implant) and replaces them with new ones.

Although both procedures have the same goal — to relieve pain and improve function — revision surgery is different than primary total knee replacement. It is a longer, more complex procedure that requires extensive planning, as well as specialized implants and tools, to achieve a good result.

knee replacement implant

In a primary total knee replacement, the surfaces of the femur, tibia, and patella are replaced with implants. (The patellar component is not shown here.)

Description

During primary total knee replacement, the knee joint is replaced with an implant, or prosthesis, made of metal and plastic components (parts). There are three parts to a knee replacement implant:

  • Femoral
  • Tibial
  • Patellar

Although most total knee replacements are very successful, over time, problems such as implant wear and loosening may require a revision procedure to replace the original parts.


There are different types of revision surgery.

  • In some cases, only one part of the implant has to be removed and replaced.
  • Other times, all three parts of the implant — femoral, tibial, and patellar — need to be removed and replaced. In addition, the bone around the knee needs to be rebuilt with augments (metal pieces that substitute for missing bone) or bone graft.

Damage to the bone may make it difficult for the doctor to use standard total knee implants for revision knee replacement. In most cases, he or she will use specialized implants with longer, thicker stems that fit deeper inside the bone for extra support.

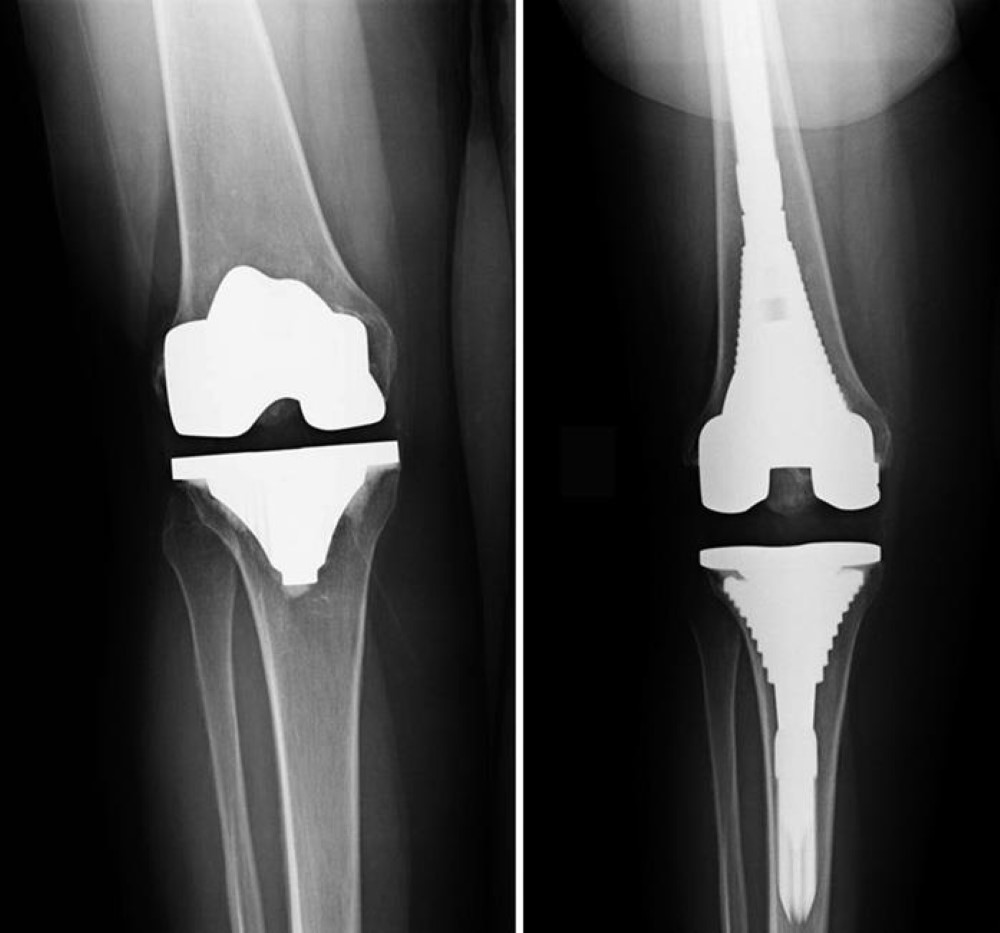
x-ray of loose knee implant and revision components

(Left) In this X-ray, the primary knee replacement implant is unstable due to weakened bone. (Right) In revision surgery, components with longer stems fit more securely into the bones and provide stability.

Reproduced from Daines BK, Dennis DA: Management of Bone Defects in Revision Total Knee Arthroplasty. Instr Course Lect 2013; 62:341-348.

When Revision Total Knee Replacement Is Recommended

Implant Loosening and Wear

For a total knee replacement to function properly, an implant must remain firmly attached to the bone. During the initial surgery, the implant was either cemented into the bone or press-fit to allow bone to grow onto the surface of the implant. In either case, the implant was firmly fixed. Over time, however, an implant may loosen from the underlying bone, causing the knee to become painful.

The cause of loosening is not always clear, but factors that may contribute include:

  • High-impact activities
  • Excessive body weight
  • Wear of the plastic spacer between the two metal parts of the implant

Also, patients who are younger when they undergo the initial knee replacement may "outlive" the life expectancy of their artificial knee. For these patients, there is a higher long-term risk that revision surgery will be needed due to loosening or wear.


In some cases, tiny particles that wear off the plastic spacer build up around the joint and are attacked by the body's immune system. This immune response also attacks the healthy bone around the implant, leading to a condition called osteolysis.


In osteolysis, the bone around the implant weakens, making the implant loose or unstable.  Advances in material science and plastic quality have made osteolysis less common today than in past decades.

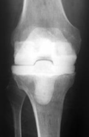
loose implant caused by osteolysis

Osteolysis (red arrow) has occurred around the tibial component, causing it to become loosened from the bone (blue arrow).

Infection

Infection is a potential complication in any surgical procedure, including total knee replacement. Infection may occur while you are in the hospital or after you go home. It may even occur years later.

If an artificial joint becomes infected, it may become stiff and painful. The implant may begin to lose its attachment to the bone. Even if the implant remains properly fixed to the bone, pain, swelling, and drainage from the infection usually make revision surgery necessary.


Revision for infection can be done in one of two ways, depending on the type of bacteria, how long the infection has been present, the degree of infection, and the patient's preference.

  • Debridement and implant retention. In some cases, the bacteria can be washed out, the plastic spacer can be exchanged, and the metal implant parts can be left in place.
  • Staged surgery. In other cases, the implant must be completely removed. There are two types of staged surgery:
    • In a two-stage surgery, the implant is removed, the joint is washed out, and a temporary cement spacer is placed in your knee. This spacer is treated with antibiotics to fight the infection and will remain in your knee for several weeks. During this time, you will also receive intravenous (IV) antibiotics. When the infection has been cleared, your doctor will perform a second surgery to remove the antibiotic spacer and insert a new prosthesis.
    • In a one-stage surgery — which is less commonly performed — the implant is removed, the joint is washed out, and the new implant is placed during the same surgery. This is then followed by intravenous (IV) antibiotics.

Your doctor will talk with you about which option is best for you. Removing the implant leads to a higher chance of curing the infection but is associated with a longer recovery.

antibiotic spacer

An antibiotic spacer placed in the knee during the first stage of treatment for joint replacement infection.

Instability

If the ligaments around your knee become damaged or improperly balanced, your knee may become unstable. Because most implants are designed to work with the patient's existing ligaments, any changes in those ligaments may prevent an implant from functioning properly. You may experience recurrent swelling and the sense that your knee is "giving way."

If knee instability cannot be treated through nonsurgical means such as bracing and physical therapy, revision surgery may be needed.

unstable knee implant

Injured ligaments can make the knee unstable.

Reproduced from McAuley JP, Engh GA, Ammeen DJ: Treatment of the unstable total knee arthroplasty, in Instructional Course Lectures 53. Rosemont, IL, American Academy of Orthopaedic Surgeons, 2004, 237-241.

Stiffness

Sometimes a total knee replacement may not help you achieve the range of motion that is needed to perform everyday activities. This may happen if excessive scar tissue has built up around the knee joint. If this occurs, your doctor may perform a manipulation under anesthesia.

In this procedure, you are given anesthesia so that you do not feel pain. The doctor then bends your knee in an attempt to break up the scar tissue.


In most cases, this procedure is successful in improving knee range of motion. Sometimes, however, the knee remains stiff. If extensive scar tissue or the position of the implant parts in your knee limits your range of motion, revision surgery may be needed.

break down scar tissue around knee implant

To break up scar tissue, your doctor may perform manipulation under anesthesia.

Photo courtesy of Stuart J. Fischer, MD, FAAOS

Fractures

A periprosthetic fracture is a broken bone that occurs around the parts of a total knee replacement. These fractures are most often the result of a fall and usually require revision surgery.

In determining the extent of the revision needed, your doctor will consider several factors, including:

  • The quality of the remaining bone
  • The type and location of the fracture
  • Whether the implant is loose

When the bone is shattered or weakened from osteoporosis, the damaged section of bone may need to be completely replaced with a larger revision component.

The femur (thighbone) has broken in several places around the implant.

The femur (thighbone) has broken in several places around the implant.

Reproduced from Parvizi J, Azzam K: Periprosthetic fractures about the knee, American Academy of Orthopaedic Surgeons website: Orthopaedic Knowledge Online Journal, 2008. Accessed May 2015.

Preparing for Surgery

Medical Evaluation

You will be asked to schedule a complete physical examination with your primary care doctor several weeks before revision surgery. This is needed to make sure that you are healthy enough to have the surgery and complete the recovery process. Patients with chronic medical conditions, like heart or kidney disease, may also be evaluated by a specialist, such as a cardiologist or nephrologist, before surgery.

Tests

Imaging tests. Your doctor will usually order imaging tests to learn more about the condition of your knee.

  • X-rays. X-rays provide images of dense structures such as bone. Your doctor may order X-rays taken around the area of the joint replacement to look for loosening or a change in the position of the implant parts.
  • Other imaging tests. A nuclear medicine bone scan may help determine if the prosthesis has loosened from the bone. In some cases, a magnetic resonance imaging (MRI) scan or a computerized tomography (CT) scan will be used to help determine why your knee replacement has failed and provide more information about the condition of the bone.

Laboratory tests. To determine whether you have an infection, your doctor may order blood tests and also aspirate your knee. In an aspiration, joint fluid is removed using a needle and syringe, then analyzed in a laboratory to see if infection is present.

Home Planning

Because your mobility will be limited after surgery, you may need help for several weeks with tasks like cooking, shopping, bathing, and doing laundry.

If you live alone, your doctor's office, a social worker, or a discharge planner at the hospital can help you make advance arrangements to have someone assist you at home.


Depending on your condition or the ability to have someone assist you at home, you may need to stay at a nursing facility or rehabilitation center for some time after you leave the hospital. Your healthcare team can also help you arrange for a short stay in an extended care facility during your recovery, if needed.


Learn more: Joint Replacement for Patients With Limited Social or Financial Resources

Complications

As with any surgical procedure, there are risks associated with revision total knee replacement. Because the procedure is longer and more complex than primary total knee replacement, it has a greater risk of complications. Before your surgery, your doctor will discuss each of the risks with you and will take specific measures to help avoid potential complications.

The possible risks and complications of revision surgery include:

  • Poor wound healing
  • Reduced range of motion or stiffness in the knee
  • Infection in the wound or the new prosthesis
  • Bleeding
  • Blood clots in the legs, which may travel to the lungs (pulmonary embolism)
  • Fracture (i.e., broken bone) during surgery
  • Damage to nerves or blood vessels
  • Medical problems such as heart attack, lung complications, or stroke

Surgical Procedure

You will either be admitted to the hospital on the day of surgery or you will go home the same day. The plan to either be admitted or go home should be discussed with your doctor before your surgery.

Anesthesia

Before surgery, you will be evaluated by a member of the anesthesia team. The most common types of anesthesia are:

  • General anesthesia (you are put to sleep)
  • Spinal, epidural, or regional nerve block anesthesia (you are awake but your body is numb from the waist down).

The anesthesia team, with your input, will determine which type of anesthesia will be best for you.

Procedure

Revision total knee replacement is more complex and takes longer to perform than primary total knee replacement. In complex cases, the surgery may take several hours.

To begin, your doctor will follow the line of the incision made during your primary total knee replacement. The incision may be longer than the original, however, to allow the old implant parts to be removed.


Once the incision is made, the doctor will move the kneecap and tendons to the side to expose your knee joint. Your doctor will then:

  • Examine the soft tissues in your knee to make sure that they are free from infection.
  • Examine all of the metal and/or plastic parts of the implant to determine which parts have become worn or loose or shifted out of position.
  • If necessary, remove the original implant. This is done very carefully to preserve as much bone as possible.
  • If cement was used in the primary total knee replacement, remove the cement. Removing this cement from the bone is a time-consuming process that adds to the complexity and length of the revision surgery.
  • After removing the original implant, prepare the bone surfaces for the revision implant. In some cases, there may be significant bone loss around the knee. If this occurs, metal augments and platform blocks can be added to the main components to make up for the bony deficits. Rarely, bone graft material may be used to help rebuild the knee. The graft may come from your own bone (autograft) or from a donor (allograft).
metal augments for knee implants

Examples of metal augments that can be added to implants to make up for lost bone.

additional block added to knee implant

(Left) In this tibial component, an additional block has been attached to make up for lost bone. (Right) An X-ray of the augmented component in place within the knee.

Photo and image courtesy of Stuart J. Fischer, MD, FAAOS

  • Finally, insert the specialized revision implant, repair any surrounding soft tissues that are damaged, and carefully test the motion of the joint. 

 A drain may be placed in your knee to collect any fluid or blood that may remain after surgery.


After surgery, you will be moved to the recovery room, where you will remain for several hours while your recovery from anesthesia is monitored. After you wake up, you will be taken to your hospital room.

Your Recovery in the Hospital

If you are admitted to the hospital, you may stay for several days. Although recovery after revision surgery is usually slower than recovery after primary total knee replacement, the type of care you will receive is very similar.

Pain Management

After surgery, you will feel some pain. This is a natural part of the healing process. Your doctor and nurses will work to reduce your pain, which can help you recover from surgery faster.

Medications are often prescribed for short-term pain relief after surgery. Many types of medicines are available to help manage pain, including opioids, nonsteroidal anti-inflammatory drugs (NSAIDs), and local anesthetics. Your doctor may use a combination of these medications to improve pain relief, as well as minimize the need for opioids.


Be aware that although opioids help relieve pain after surgery, their use has risks and complications. These medications can be addictive and potentially dangerous. It is therefore important to use opioids only as directed by your doctor, to use as little as possible for as short a time as possible, and to stop taking them as soon as your pain starts to improve. Talk to your doctor if your pain has not begun to improve within a few days of your surgery.

Physical Therapy

A physical therapist will give you specific exercises to strengthen your leg and restore range of motion so that you may begin walking and resume other daily activities as soon as possible after surgery.

See our Total Knee Replacement Exercise Guide for examples of exercises your physical therapist may have you do. DO NOT attempt these exercises without first talking to your doctor or a physical therapist.

Blood Clot Prevention

Your doctor may prescribe one or more measures to prevent blood clots and decrease leg swelling. These may include special graded compression stockings, inflatable leg coverings (compression boots), and blood thinners.

Foot and ankle movement is encouraged immediately following surgery to increase blood flow in your leg muscles to help prevent leg swelling and blood clots.


Watch: Preventing Blood Clots After Orthopaedic Surgery

Preventing Infection

One of the most serious complications facing patients who undergo revision surgery is infection. Although infection occurs in only a small percentage of patients, it can prolong or limit full recovery. To prevent infection, you will be given antibiotics before and, in some cases, after surgery. The risk of infection is slightly higher after revision surgery than after primary total knee replacement.


Watch: Preventing Infection After Joint Replacement Surgery

Your Recovery at Home

If you are discharged home to recover instead of going to a rehabilitation or skilled nursing facility, you may need some help at home for several days to several weeks. Before your surgery, arrange for a friend, family member, or caregiver to provide help at home.

You may need a walker, cane, or crutches for the first few days or weeks until you are comfortable enough to walk without assistance.

Wound Care

You will have stitches or staples running along your wound or a suture beneath your skin on the front of your knee. The stitches or staples will be removed several weeks after surgery. A suture beneath your skin will not need to be removed.

Avoid soaking the wound in water until it has thoroughly sealed and dried. 

Physical Therapy

It is important to continue moving and exercising your knee when you are home. Your physical therapist will provide you with specific exercises to increase your strength and mobility and improve your ability to do everyday activities. You will also work with your physical therapist to ensure that you can straighten your leg and then bend your knee to at least 90° of flexion.

Preventing Complications

Follow your doctor's instructions carefully to reduce your risk of developing complications, including blood clots and infection, during the first several weeks of your recovery. Your doctor may recommend that you continue taking the blood-thinners and antibiotics that you started in the hospital.

Long-Term Outcomes

Most patients who have revision surgery have good long-term outcomes, including relief from pain and increased stability and function. However, it is not always possible to achieve complete pain relief and return of function; some patients may still experience pain or knee stiffness after revision surgery.

Last Reviewed

February 2025

Contributed and/or Updated by

Neil P. Sheth, MD, FAAOS

Peer-Reviewed by

Mary K. Mulcahey, MD, FAAOS

AAOS does not endorse any treatments, procedures, products, or physicians referenced herein. This information is provided as an educational service and is not intended to serve as medical advice. Anyone seeking specific orthopaedic advice or assistance should consult his or her orthopaedic surgeon, or locate one in your area through the AAOS Find an Orthopaedist program on this website.