Our knowledge of orthopaedics. Your best health.

from the American Academy of Orthopaedic Surgeons

Diseases & Conditions

Treatment

Recovery

Staying Healthy

Revision Total Hip Replacement

Total hip replacement is one of the most successful procedures in all of medicine. In most cases, total hip replacement enables people to live more active lives without debilitating hip pain.

Over time, however, a hip replacement (aka, prosthesis) can fail for a variety of reasons. When this occurs, your doctor may recommend that you have a second operation to remove some or all of the parts of the original prosthesis and replace them with new ones. This procedure is called revision total hip replacement.

Although both procedures have the same goals—to relieve pain and improve function and quality of life—revision surgery is different than primary total hip replacement. Revision hip replacement is a longer, more complex procedure. It requires extensive planning, as well as the use of specialized implants and tools, to achieve a good result.

Components used in primary total hip replacement

(Left) The individual components used in a primary total hip replacement.
(Center) The components merged into an implant.
(Right) The implant as it fits into the hip.

Description

During primary total hip replacement surgery, the hip joint is replaced with an implant or prosthesis made of metal, plastic, and/or ceramic components. Although most total hip replacements are very successful, problems can develop over time. These problems may require a revision procedure to replace the original components. 

There are different types of revision surgery. In some cases, only some components of the prosthesis need to be revised. In other cases, the whole prosthesis needs to be removed or replaced and the bone around the hip needs to be rebuilt with augments (metal pieces that substitute for missing bone), bone graft, or custom-made implants.


Damage to bone and soft tissue around the hip may make it difficult for the surgeon to use standard primary hip implants for revision hip replacement. In most revisions, the surgeon will use specialized implants that are designed to make up for the damaged bone and soft tissue.

X-rays showing primary and revision total hip replacement

(Left) Primary total hip replacement. (Right) Revision total hip replacement.

Primary total hip replacement image courtesy of Stuart J. Fischer, MD, FAAOS

When Revision Total Hip Replacement Is Recommended

Implant Wear and Loosening

For a total hip replacement to function properly, an implant must remain firmly attached to the bone. During the initial surgery, the hip replacement components were either cemented into place or were "press fit" into the bone to allow bone to grow onto them. Sometimes, however, bone may fail to grow onto press-fit components. In addition, cemented or press-fit components that were once firmly fixed to the bone can eventually loosen, resulting in a painful hip.

The cause of loosening is not always clear. Factors that may contribute include:

  • Repetitive high-impact activities
  • Excessive body weight
  • Wear of the plastic liner between the ball and the metal cup

In addition, patients who are younger when they undergo the initial hip replacement may "outlive" the life expectancy of their artificial hip. For these patients, there is a higher long-term risk that revision surgery will be needed due to loosening or wear.

X-ray of implant loosening

The space around the femoral stem indicates that the component has loosened from the underlying bone.

In some cases, tiny particles that wear off the cup's plastic liner build up around the hip joint and are attacked by the body's immune system — similar to the way the immune system attacks bacteria or viruses. This immune response also attacks the healthy bone around the implant, leading to a condition called osteolysis. In osteolysis, the bone around the implant deteriorates, making the implant loose or unstable.


Fortunately, plastics have improved greatly over the years, so plastic wear and osteolysis occur less frequently today than they did with earlier generations of implants.

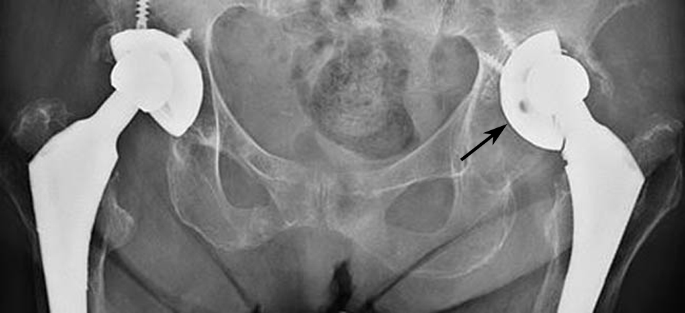
X-ray of loose acetabular cup

Wear of the plastic liner (red arrow) and osteolysis (yellow arrow) have caused the acetabular cup to loosen. The femoral head (ball) is no longer centered in the cup.

 

X-ray of loose acetabular cup

The acetabular cup on the left (arrow) has loosened from the underlying bone. As a result, the femoral head (ball) is no longer centered in the cup.

Infection

Infection is a potential complication of any surgical procedure, including total hip replacement. Infection occurs when bacteria attach in and around the surface of the prosthesis and may happen while you are in the hospital, after you go home, or even years later.

If a total hip replacement becomes infected, it can be painful and the implant may begin to lose its attachment to the bone. Even if the implant remains properly fixed to the bone, there may still be pain, instability, and drainage from the hip due to the infection. Because bacteria cannot be easily eliminated from a total hip replacement with antibiotics alone, revision surgery is usually necessary.


Revision surgery for infection can be done in different ways. To determine which procedure is best for you, your doctor will consider a number of factors, including:

  • The type of bacteria
  • The duration and severity of the infection

Debridement. In this procedure, your doctor will open up your hip, wash out the bacteria, and exchange the ball and plastic liner. The metal implants that are firmly attached to the bone are left in place. After debridement, you will receive intravenous (IV) antibiotics for several weeks to help cure the infection.


Staged surgery. In some cases, the implants must be completely removed. If the implants are removed to treat the infection, your doctor will usually perform the revision in two separate surgeries.

  • In the first surgery, your doctor will remove the implants and place a temporary cement spacer in your hip. This spacer is treated with antibiotics to help fight the infection and will remain in your hip for several weeks. During this time, you will also receive IV antibiotics.
Antibiotic spacer in hip joint

An antibiotic spacer placed in the hip joint during the first stage of treatment for joint replacement infection.

  • When the infection has been cleared, your doctor will perform a second surgery to remove the antibiotic spacer and insert a new prosthesis. In general, removing the implant leads to a higher chance of curing the infection, but is associated with a longer recovery.

In some cases, your doctor may be able to remove the implants, wash out the hip, and place a new prosthesis all in the same operation. This procedure, which is called a one-stage or single-stage exchange, may be appropriate in some situations.

Recurrent Dislocation

A hip replacement has a ball-and-socket structure like that of your natural hip. For a hip replacement to work well, the ball must remain inside the socket. Trauma or certain hip positions can sometimes cause the ball to become dislodged from the socket. This is called a hip dislocation.

If you experience repeated hip dislocations, you may need revision surgery to better align your hip joint or to insert a special implant designed to prevent dislocations.

X-ray of dislocation after hip replacement
(Left) Dislocation after primary hip replacement. (Right) The revision implant is designed with a ring mechanism that locks the femoral head (ball) into the socket to prevent dislocation.
(Left) Reproduced from Parvizi J, Picinic E, Sharkey PF: Revision total hip arthroplasty for instability. Instr Course Lect Hip 2. Rosemont, IL American Academy of Orthopaedic Surgeons, 2013: pp. 315-323.

Fracture

A periprosthetic fracture is a broken bone that occurs around the components of an implant. These fractures are most often the result of a fall, and often require revision surgery. To determine whether a revision is needed, your doctor will consider several factors, including:

  • The location of the fracture
  • Whether your implant is loose
  • The amount of remaining bone

In rare instances, an implant itself can break, which also requires revision surgery.

Revision surgery for periprosthetic fracture of the femur
(Left) This patient has a periprosthetic fracture of the femur (thighbone). (Right) The same fracture after treatment with revision surgery.
Reproduced from Della Valle CJ, Haidukewych GJ, Callaghan JJ: Periprosthetic fractures of the hip and knee: a problem on the rise but better solutions. Instr Course Lect 59, Rosemont, IL, American Acad of Orthopaedic Surgeons, 2010: pp. 563-575.

Reaction to Metal Ions and Allergy to Metal

Over time, the metals used in implants can break down or wear, causing tiny particles to fall off the device into the space around the implant. This is more common with metal-on-metal devices, in which both the ball and socket components are made of metal. In some patients, sensitivity to the metal ions in these particles can result in damage to the bone and soft tissues around the hip and lead to the need for revision surgery.

In very rare cases, an allergy to the metal used in implants may cause pain around the site of the implant. 

Other Factors

The likelihood of needing revision hip replacement is also impacted by individual differences among patients. For example:

  • Patients who are younger and more active are more likely to experience issues related to implant wear.
  • Patients who have certain medical conditions, such as obesity or diabetes, and those who have had certain surgical procedures in the past, are more likely to experience infection or implant failure.

Preparing for Surgery

Medical Evaluation

You will be asked to schedule a complete physical examination with your primary care doctor several weeks before revision surgery. This is to ensure that you are healthy enough to have the surgery and complete the recovery process.

Patients who have chronic medical conditions, such as heart disease, may also need to be evaluated by a specialist, such as a cardiologist, before surgery.

Tests

Imaging tests. Your doctor will usually order imaging tests to learn more about the condition of your hip. This may include:

  • X-rays: X-rays provide images of dense structures, such as bone. Your doctor may order X-rays of the joint replacement to look for loosening or a change in the position of the components.
  • Other imaging tests. A nuclear medicine bone scan may help determine if the prosthesis has loosened from the bone. In some cases, a magnetic resonance imaging (MRI) scan or a computerized tomography (CT) scan will be used to help determine why your hip has failed and the condition of the bone.

Laboratory tests. Your doctor may order blood tests to help determine if you have an infection or are having a reaction to the metal components in your hip. Your doctor may also aspirate your hip. In this procedure, joint fluid is removed using a needle and syringe, then analyzed in a laboratory to determine if infection is present.

Home Planning

Because your mobility will be limited after surgery, you may need help for several weeks with such tasks as cooking, shopping, bathing, and doing laundry if you live alone.

Your doctor's office, a social worker, or a discharge planner at the hospital can help you make advance arrangements to have someone assist you at home. Depending on your condition, you may need to stay at a nursing facility or rehabilitation center for some time after you leave the hospital. Your healthcare team can also help you arrange for a short stay in an extended care facility during your recovery if necessary.

Learn more: Joint Replacement for Patients With Limited Social or Financial Resources

Surgical Procedure

You will most likely be admitted to the hospital on the day of surgery.

Anesthesia

After admission, you will be evaluated by a member of the anesthesia team. The most common types of anesthesia used are:

  • General anesthesia (you are put to sleep)
  • Spinal, epidural, or regional nerve block anesthesia (you are awake, but your body is numb from the waist down).

The team, with your input, will determine which type of anesthesia is best for you.

Procedure

Revision total hip replacement is a more complex procedure and takes longer to perform than primary total hip replacement. In most cases, the surgery takes several hours.

  • To begin, your surgeon will follow the line of the incision made during your primary total hip replacement. The incision may be extended, however, to allow the old components to be removed. Once the incision is made, your surgeon will expose the hip joint.
  • After exposing the joint, your surgeon will examine the soft tissues in your hip to make sure that they are free from infection and other problems, such as a reaction to the metal components. The surgeon will assess all parts of the prosthesis to determine which ones have become worn or loose or shifted out of position.
  • Your surgeon will then remove the original implant very carefully to preserve as much bone as possible. If cement was used in the primary total hip replacement, this is removed, as well. Removing this cement from the bone is a time-consuming process that adds to the complexity and length of the revision surgery.
  • Occasionally, a controlled "fracture" of the femur (thighbone) will be performed to remove a well-fixed stem. The femur will be put back together once the new stem is in place.
Revision hip implants

Implant stems used in revision surgery next to a stem used in primary hip replacement. Revision stems are often longer to make up for lost bone in the femur.

  • After removing the original implants, your surgeon will prepare the bone surfaces in the pelvis and the femur for the revision implants. In some cases, there may be significant bone loss in these areas. If this occurs, metal augments or bone graft can be added to make up for the lost bone.
  • Finally, your surgeon will insert the specialized revision implants. Often multiple screws are required to hold the new cup in place until bone grows in. Your surgeon will test the motion of the joint to ensure the implants are well-fixed and that the ball is stable inside the socket.

Special "trial" implants are usually tested before inserting and fixing the final components. A drain may be placed in your hip to collect fluid or blood that may remain after surgery.

After surgery, you will be moved to the recovery room, where you will remain for several hours while your recovery from anesthesia is monitored. When you wake up, you will be taken to your hospital room.

Metal augments used in revision hip replacement

Examples of metal augments that can be added to implants to make up for lost bone in the pelvis.

Complications

As with any surgical procedure, there are risks associated with revision total hip replacement. Because the procedure is longer and more complex than primary total hip replacement, it has a greater risk of complications. Before your surgery, your doctor will discuss each of the risks with you and will take specific measures to help avoid potential complications.

The possible risks and complications of revision surgery include:

Your Recovery in the Hospital

You will most likely stay in the hospital for several days. Although recovery after revision is usually slower than recovery after primary hip replacement, the type of care you will receive is very similar.

Pain Management

After surgery, you will feel some pain. Your surgeon and nurses will work to reduce your pain, which can help you recover from your surgery faster.

Many types of medicines are available to help manage pain, including opioids, nonsteroidal anti-inflammatory drugs (NSAIDs), and local anesthetics. Your surgeon may use a combination of these medications to improve pain relief, as well as minimize the need for opioids.


Opioids can provide excellent pain relief; however, their use has risks and complications. These medications can be addictive and potentially dangerous. It is therefore important to use opioids only as directed by your doctor, to use as little as possible for as short a time as possible, and to stop taking them as soon as your pain starts to improve. Talk to your doctor if your pain has not begun to improve within a few days of your surgery.

Physical Therapy

Specific exercises will help strengthen your leg and restore function so that you may begin walking and resume your other daily activities as soon as possible after surgery. You may have weight-bearing limitations at first, depending on the complexity of your surgery. You may also be given certain hip precautions (positions to avoid) in order to prevent dislocation.

Blood Clot Prevention

Your doctor may prescribe one or more measures to prevent blood clots and decrease leg swelling. These may include special graded compression stockings, inflatable leg coverings (compression boots), and blood thinners.

Foot and ankle movement will be encouraged immediately following surgery. This is done to increase blood flow in your leg muscles to help prevent leg swelling and blood clots.

Learn more: Preventing Blood Clots After Orthopaedic Surgery

Preventing Infection

One of the most serious complications facing patients who undergo revision surgery is infection. Although infection occurs in only a small percentage of patients, it can prolong or limit full recovery. To prevent infection, you will be given antibiotics both before and after surgery. The risk of infection is slightly higher after revision surgery than after primary total hip replacement.

Your Recovery at Home

  • You will need some help at home for several days to several weeks after discharge. Before your surgery, arrange for a friend, family member or caregiver to provide help at home, if possible. If you live alone and do not have anyone available to help, you may need to stay in a care facility while you recover. Learn more: Joint Replacement for Patients With Limited Social or Financial Resources
  • You may need a walker, cane, or crutches for the first few days or weeks until you are comfortable enough to walk without assistance. If you are not allowed to put weight on your operative leg, you may need to use a walking aid for a longer period of time.

Wound Care

You may have stitches, staples, or glue running along your wound or sutures beneath your skin. The stitches or staples will be removed several weeks after surgery. Sutures beneath your skin will not require removal.

Avoid soaking the wound in water until it has thoroughly sealed and dried. You may continue to bandage the wound to prevent irritation from clothing or support stockings.

Physical Therapy

It is important to continue moving and exercising when you are home. Your physical therapist will provide you with specific exercises to help increase your strength and mobility and improve your ability to do everyday activities. Your therapist will also work with you to ensure that you understand and are following your hip precautions.

Preventing Complications

Follow your surgeon's instructions carefully to reduce your risk of developing complications, including blood clots and infection, during the first several weeks of your recovery. Your surgeon may recommend that you continue taking the blood-thinning and antibiotic medications that you started in the hospital.

Long-Term Outcomes

  • Most patients who undergo revision total hip replacement experience favorable long-term outcomes. This includes relief from pain, increased stability, and better function.
  • However, it is not always possible to completely relieve pain and restore function, and some patients may still experience some pain or dysfunction following revision surgery.

Last Reviewed

June 2025

Contributed and/or Updated by

Neil P. Sheth, MD, FAAOS

Peer-Reviewed by

Mary K. Mulcahey, MD, FAAOS

AAOS does not endorse any treatments, procedures, products, or physicians referenced herein. This information is provided as an educational service and is not intended to serve as medical advice. Anyone seeking specific orthopaedic advice or assistance should consult his or her orthopaedic surgeon, or locate one in your area through the AAOS Find an Orthopaedist program on this website.