Our knowledge of orthopaedics. Your best health.

from the American Academy of Orthopaedic Surgeons

Diseases & Conditions

Treatment

Recovery

Staying Healthy

Metastatic Bone Disease: Treatment Options for Specific Areas of Spread

Cancer that begins in an organ, such as the lungs, breast, or prostate, and then spreads to bone is called metastatic bone disease (MBD).

Treatment options for MBD often depend on where the bone metastases have developed. This article provides information on treatment options for specific areas of the skeleton. For a complete discussion of metastatic bone disease and its treatment: Metastatic Bone Disease

Bone Metastases in the Upper Extremity

Twenty percent of bony metastases occur in the upper extremity (shoulder, upper arm, and forearm), with approximately 50% of those occurring in the humerus (upper arm). Upper extremity metastases can cause severe functional impairment, and can hinder personal hygiene, the ability to move round without assistance, the ability to use external aids (crutches, cane, walker, etc.), meal management, and general activities of daily living.

Treatment options include:

  • Nonsurgical management
    • Radiation therapy, alone or in combination with surgery
    • Functional bracing
    • Medications, such as bisphosphonates
  • Surgical stabilization
  • Surgical removal and reconstruction. The goals of surgery are stability, functional improvement, and pain relief. Patients not suitable for surgery include those with;
    • Limited life expectancy
    • Other severe medical problems
    • Small tumors
    • Tumors that can be treated with radiation alone

The location and extent of the metastasis dictates the treatment option. Metastatic lesions of the collarbone (clavicle) and shoulder blade (scapula) are generally treated without surgery. Some cases, however, require surgical intervention.

Upper Humerus

MBD of the upper humerus near the shoulder may be treated with a variety of techniques, depending upon how extensive the cancer is. Sometimes, a portion of the upper arm and shoulder needs to be replaced with an artificial metal prosthesis (upper humeral prosthetic replacement). Generally,  only the arm side of the shoulder joint is replaced when a patient has metastatic disease. The socket side of the joint is usually not involved.

These surgeries are generally more complex than the shoulder replacements used for shoulder arthritis, and MBD patients often have less function due to rotator cuff removal and reattachment to the metal prosthesis.

upper humeral prosthetic replacement

Large metastatic tumors in the upper arm near the shoulder often require some type of artificial replacement. This X-ray shows an artificial replacement of the upper arm bone.

Humeral Shaft

Humeral shaft tumors occur along the length of the bone, below the shoulder and above the elbow. They are also treated with a variety of techniques, although the joint generally does not need to be replaced. Bone cement (polymethylmethacrylate or PMMA) affords immediate stability, restores function, and supplements poor bone quality. Humeral rods inserted down the central canal of the bone span the entire humerus and provide both mechanical and rotational stability.

Sometimes, the tumor will be removed if it is not sensitive to radiation, but often the surgeon leaves it in place because radiation treatment can kill the tumor after the bone has been stabilized.

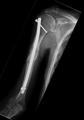
intramedullary rod in humerus
In this X-ray, the humerus has been stabilized with an intramedullary rod inserted down the center of the bone.
Reproduced from Schwartz HS, ed: Orthopaedic Knowledge Update: Musculoskeletal Tumors 2. Rosemont, IL, American Academy of Orthopaedic Surgeons, 2007, p 377.

Segmental spacers (where the middle part of the bone is removed and replaced with metal) offer a reconstructive option for treatment of shaft lesions. They are used in large defects and cases of failed prior surgery due to progressive disease. Segmental spacers can be used after resection of the metastatic lesion, minimizing blood loss in bloody lesions and often alleviating the need for postoperative radiation.

segmental spacer in humerus
This X-ray shows a segmental spacer that has replaced a portion of the humerus bone.
Reproduced from Schwartz HS, ed: Orthopaedic Knowledge Update: Musculoskeletal Tumors 2. Rosemont, IL, American Academy of Orthopaedic Surgeons, 2007, p 378.

Open stabilization with plates and screws is another treatment option for humeral shaft lesions, although it is less commonly used than intramedullary fixation. Open fixation requires a more extensive exposure of the humerus and limits the ability to protect the entire bone.

plate fixation of humerus

This X-ray shows a humerus stabilized with a plate and screws.

Mid-Arm (Near the Elbow)

Tumors located above the elbow can be treated with a variety of techniques. Flexible nails offer the ability to span the entire humerus, excellent functional recovery, and preservation of the natural elbow joint. Elbow replacement may be necessary if the tumor extends to the joint or involves the end of the humerus near the joint.

flexible nails in humerus
Flexible nails provide stability to the humerus and elbow joint.
Reproduced from Schwartz HS, ed: Orthopaedic Knowledge Update: Musculoskeletal Tumors 2. Rosemont, IL, American Academy of Orthopaedic Surgeons, 2007, p 378.

Forearm/Hand

Metastatic lesions below the elbow are rare. The most common primary tumors that metastasize to this location are lung, breast, and renal cell (kidney) carcinoma. Lung cancer is the most common primary tumor that metastasizes to the hand.

Metastatic lesions in the radius and ulna can be treated with flexible rods, plates and screws, or bracing. 

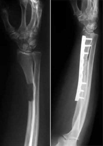
tumor in forearm stabilized with plate and screws
(Left) A large tumor of the ulna bone (forearm) shows up clearly in this X-ray. (Right) The tumor has been removed and the ulna stabilized with a plate and screws.
Reproduced from Schwartz HS, ed: Orthopaedic Knowledge Update: Musculoskeletal Tumors 2. Rosemont, IL, American Academy of Orthopaedic Surgeons, 2007, p 379.

Bone Metastases in the Lower Extremity

Patients with lower extremity metastasis have concerns related to pain and ability to walk. Fractures are more common, and the surgical techniques to stabilize the bones are becoming more standardized.

Pelvis and Acetabulum (Hip)

The indications for surgical intervention in the pelvis are:

  • Failed nonoperative management.
  • Actual or impending fractures.
  • Significant involvement of the acetabulum (hip joint cup), and other critical mechanical portions of the pelvis. If the acetabulum is involved, the patient will generally need a hip replacement (total hip arthroplasty.

Like shoulder replacements, hip replacements for tumors are more complicated than routine hip replacements. Surgically-related problems occur in approximately 20 to 30% of cases.

The femur (thighbone) is the most likely long bone to be affected by metastatic bone disease. The upper third is involved in 50% of cases. Because the development of bone metastasis is a dynamic process, the surgeon may preventively stabilize areas of the bone that do not have tumor involvement.

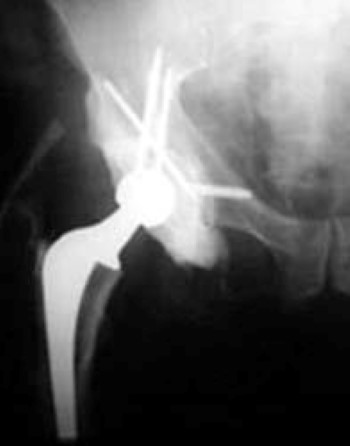
special hip replacement for metastatic bone disease
A 57-year-old man with metastatic kidney cancer and progressive right hip pain requiring a special form of total hip replacement.
Reproduced with permission from Weber K, Lewis V, Randall RL, Lee AK, Spingfield D: An approach to the management of the patient with metastatic bone disease, in Helfet DL, Greene WB (eds): Instructional Course Lectures, Volume 53. Rosemont, IL, American Academy of Orthopaedic Surgeons, 2004.

Femoral Head and Neck

Hip or femoral head and neck lesions, whether impending or actual, rarely heal. The procedure of choice to treat this type of metastasis is, therefore, joint replacement. The decision about whether to perform a partial (hemiarthroplasty) or total hip reconstruction depends on the involvement of the acetabulum (hip cup).

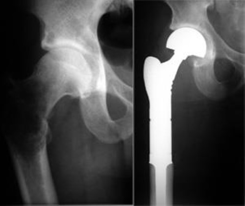
hip replacement for metastatic bone disease
(Left) An X-ray of a pathological fracture of the hip. There is extensive destruction of the bone around the hip. (Right) An X-ray of the same leg after the upper femur was replaced by an artificial implant.
Reproduced from Schwartz HS, ed: Orthopaedic Knowledge Update: Musculoskeletal Tumors 2. Rosemont, IL, American Academy of Orthopaedic Surgeons, 2007, p 389.

Lower Hip (Peritrochanteric)

Placement of a metal rod down the central canal of the femur in this location has been more successful than screw and side plate implants. Sometimes, the area is so badly destroyed that the surgeon must replace the region with a special hip replacement, especially if the metastatic bone disease is not sensitive to radiation treatment.

Below the Hip (Subtrochanteric)

The subtrochanteric area of the femur is subjected to forces four to six times a person's body weight. For this reason, pathologic fractures have difficulty healing.

  • Screw and side plate constructs, along with PMMA, can be used in this area but have a relatively high failure rate and don't protect the entire bone.
  • Replacements on the top of the femur bone may be necessary in extreme cases where the bone is badly destroyed.
  • For lesions where a break has not yet occurred but is likely, use of a metallic nail is the ideal option.
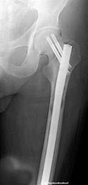
two types of hip stabilization for metastatic bone disease
A woman with advanced metastatic breast cancer to bone with pain in both her right and left hips required different types of surgery to address her problems. A special partial hip replacement was needed on the right because the hip joint was involved. On the left, a special nail was used to strengthen the femur bone below the hip.
Reproduced with permission from Weber K, Lewis V, Randall RL, Lee AK, Spingfield D: An approach to the management of the patient with metastatic bone disease, in Helfet DL, Greene WB (eds): Instructional Course Lectures, Volume 53. Rosemont, IL, American Academy of Orthopaedic Surgeons, 2004.

Femoral Shaft

Tumors in the shaft of the femur can be treated with plates and PMMA, or by placement of a metal rod down the central canal of the bone. Fractures are usually best treated with a rod.

 
intramedullary rod in femur for MBD

An intramedullary rod has been placed down the center of the femur. The goals of bone stabilization in the lower extremity include preventing a pathologic fracture, relieving pain, and improving mobility and quality of life.

Distal Femoral (Supracondylar)

Lower end femur (supracondylar) lesions can be a challenge to treat secondary to multiple bone fragments and poor bone quality. Generally, you can obtain good function with a metallic implant, but when the bone is badly destroyed, the end of the femur and the knee may need to be replaced. This form of knee replacement is usually more involved than the knee replacement procedures for arthritis.

plate and screw fixation of distal femur for MBD

In this X-ray, the weakened lower end of the femur has been stabilized with a plate and screws. In this case, plate-and-screw fixation will maintain stability and allow the patient to bear weight on the leg.

Tibia (Shinbone)

Metastasis to the tibia (shinbone) is far less common than to the femur. For lesions in the upper tibia, the approach is generally similar to that of the lower femur.

  • Often, you can achieve good function with cement, and plates and screws, but if the bone is badly destroyed, the surgeon may need to replace the upper end of the tibia and the knee joint.
  • For tibial shaft lesions, a metal rod is usually placed down the central canal of the bone.
  • When the far end of the tibia is involved, various techniques can be employed, but generally surgeons will advise plates and screws augmented with bone cement.
tibia stabilization in MBD

Stabilizing the tibia (shinbone) has similar goals as stabilizing the femur: to restore weight-bearing function and relieve pain. Here, a plate and screws have been used to stabilize the top of the tibia.

Foot

Less than 1% of all bone metastasis involve the foot. The most common types are lung, kidney, and colon. Treatment should be individualized and employ a combination of radiation therapy, orthotics, and limited surgery. Occasionally, an amputation of the toe is the best option for relieving pain and controlling the cancer.

Spine

Metastatic bone disease commonly spreads to the spine. Only the lung and liver are more frequent sites of metastasis.

Most cases of metastatic bone disease to the spine do not require surgery. When deciding whether surgery should be performed, the medical team will consider:

  • The presence of pain
  • The risk of developing a fracture
  • Nerve compression
  • Response to noninvasive or systemic treatments 

If the patient has pain but no nerve damage or risk of fracture, radiation treatment is preferred.  In patients with neurologic damage, sometimes the surgeon will recommend surgery prior to radiation treatment. Each case is different, and you should speak with your physicians about what is best for you.

Over the past decade, minimally invasive or percutaneous techniques for metastatic bone disease to the spine have been developed. These treatments are used to control pain in patients who have developed certain types of fractures.

One technique, vertebroplasty, involves percutaneous direct injection of bone cement, or PMMA through the back. A more recent development, kyphoplasty, is a means of restoring normal spine alignment before injecting PMMA. The Food and Drug Administration has not approved PMMA for this indication, and therefore this is considered an off-label use of PMMA. Nevertheless, surgeons at major cancer centers are using this technique with great success in select patients with metastatic bone disease to the spine.

Surgery is indicated for advanced cases of metastatic bone disease to the spine. Patients with intermediate involvement who have continued pain after radiation may be indicated for surgical intervention.

To assist doctors in the treatment of metastatic carcinoma and myeloma of the femur, the American Academy of Orthopaedic Surgeons has conducted research to provide some useful guidelines. These are recommendations only and may not apply to every case. For more information: Treatment of Metastatic Carcinoma and Melanoma - Clinical Practice Guideline | American Academy of Orthopaedic Surgeons (aaos.org)

Last Reviewed

October 2021

Contributed and/or Updated by

Rajiv Rajani, MD, FAAOSRobert H. Quinn, MD

Peer-Reviewed by

Thomas Ward Throckmorton, MD, FAAOSStuart J. Fischer, MD

AAOS does not endorse any treatments, procedures, products, or physicians referenced herein. This information is provided as an educational service and is not intended to serve as medical advice. Anyone seeking specific orthopaedic advice or assistance should consult his or her orthopaedic surgeon, or locate one in your area through the AAOS Find an Orthopaedist program on this website.