Our knowledge of orthopaedics. Your best health.

from the American Academy of Orthopaedic Surgeons

Diseases & Conditions

Treatment

Recovery

Staying Healthy

Helping Fractures Heal (Orthobiologics)

Orthobiologics are substances that orthopaedic surgeons use to help injuries heal more quickly. They are used to improve the healing of broken bones and injured muscles, tendons, and ligaments. These products are often made from substances that are naturally found in your body. When they are used in higher concentrations, they may help speed up the healing process.

This article focuses on orthobiologics that orthopaedic surgeons use to help broken bones heal.

Healing Process

When you injure a bone, muscle, or tendon, there is bleeding into the injured area. This bleeding is the foundation for the healing response. It provides a way for healing factors to reach the injury site.

In addition to bleeding, there are three factors necessary for healing. All three are orthobiologic substances. They include:

  • Matrix. This can be thought of as the house in which the cells live and where they will thrive and eventually make bone, tendon, or ligament. Matrix material is conductive. This means it can form the building blocks that help fill bone gaps.
  • Growth factors. These are the many different kinds of proteins necessary for cells to work during the healing process. Some proteins help speed up the healing process, while others help to control it or slow it down. These elements are much like the vitamins that we take every day to try to improve our health and body function.
  • Stem cells. These are special cells in your body that can turn into certain types of cells. During the healing process, stem cells are called to the area of your body that needs repair. Factors in the area influence the stem cells to become repair cells. Note that the same stem cell that repairs bone can also repair a tendon or ligament.
Three factors necessary for healing

The relationship between matrix, growth factors, and stem cells.

Matrix (Conductive Material)

The matrix, or conductive material, provides housing for stem cells while they grow into mature cells. If stem cells do not have a house to grow in, they cannot develop into repair cells that can heal bone, muscle, tendon, or cartilage.

When someone breaks or fractures a bone, the healing process begins. As long as most of the bony substance is not lost, stem cells should be able to make new bone and promote healing. If, however, a significant portion of the broken bone is lost, a large gap may result. This can happen if the bone crumbled, or broke into several pieces and went through the skin.


Under these circumstances, the gap must be filled with matrix, or conductive material, to house stem cells. There are several types of substances that may be used for this purpose.

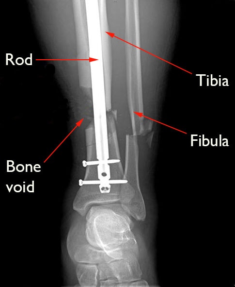
internal fixation of broken tibia

This X-ray shows a broken shinbone (tibia) with a large bone gap, or void. A metal rod has been placed down the marrow cavity of the bone to help hold it together.

Bone Grafts

Bone grafts are often used as matrix material. There are two types of bone grafts.

Autograft. A bone graft can be obtained from the patient. This type of graft is called an autograft. Many different bones can be used to supply the graft. Grafts are most commonly taken from the iliac crest, which is part of the pelvis, or the femur (thighbone).


Harvesting a bone graft requires an additional incision during the operation to treat the injury. This makes the surgery take longer and can cause increased pain or risk of infection after the operation. Although autografts have been used with good results, some people may experience pain at the donor site for some time.

Normal hip anatomy, including the iliac crest of the hip

Most autografts are harvested from the iliac crest of the hip.

Allograft. One alternative to taking the bone graft from the patient is called an allograft, which is cadaver bone. An allograft is typically acquired through a bone bank. Like other organs, bone tissue can be donated upon death.


The main difference between an autograft and an allograft is that an autograft contains living stem cells, while allograft bone does not. Because of this, growth factors are often added to allograft bone to promote healing.

The use of allografts has grown because it avoids the risk of pain at the donor site. There are risks and benefits for both types of bone grafts, which your surgeon will discuss with you.

Artificial Matrix Material

Man-made materials, such as calcium phosphate, may also be used to fill a large void between bone ends. When treated properly, calcium phosphate can form material that closely resembles bone. It contains holes that are the right size for stem cells to enter and develop into mature cells.

Both calcium phosphate and cadaver bone eliminate the pain and other risks involved with having extra surgery to harvest an autograft.

Bone matrix material

This illustration shows a microscopic view of bone matrix material and the type of holes needed to house stem cells.

Growth Factors

Growth factors are found inside bone in low concentrations, and in other parts of your body. They can be produced in higher concentrations through genetic engineering.

A lot of work is being done using genetic engineering to help with medical problems. Genetic engineering has made great improvements in making bone heal faster and better.


Genetic engineering can produce large quantities of a needed element in its pure form. During the genetic engineering process, signals inside a cell are altered in order to change the cell's function. To help with bone healing, cells can be turned into factories that produce growth factor proteins.

Growth Factor Proteins and Bone Healing

Growth factor proteins play an important role in the healing process. They call stem cells to the injury site. This is called chemoattraction. The stem cells are drawn to the injured area where they develop into "repair" cells.

Chemoattraction works only when there is a good blood supply around the injured area. If there is not good blood flow, the proteins cannot attract stem cells, or provide them with a way to travel to the area where they are needed.

Stem Cells

Of all the types of cells, stem cells have the greatest potential for promoting healing. As discussed above, stem cells are immature cells that are influenced by their surroundings. When brought to an injury site, a stem cell can develop into the kind of cell needed to help in healing — bone, muscle, ligament, and cartilage.

Stem cell differentiation

Stem cells can turn into muscle, tendon, bone, or cartilage.

Because of the healing capabilities of stem cells, doctors have developed ways to bring stem cells to an injury site faster and in greater numbers. The first step in this process is to retrieve the stem cells. This can be done by harvesting them from the patient, or through a stem cell donor program.

Stem Cell Harvesting

There are many sources of stem cells in the human body. The most important source is bone marrow. Bone marrow is located in the centers of long bones, such as the bones in your arms, forearms, thighs, and legs. The pelvic bone contains the highest concentration of stem cells. Therefore, the bone marrow in your pelvic bone is the most common source for harvesting stem cells.

The doctor draws the stem cells out of the bone marrow with a needle, in a similar way that blood is drawn from your arm for tests. An orthopaedic surgeon then inserts this large supply of stem cells into the injury site. This eliminates the time it would take for the stem cells to reach the injury on their own and delivers them in a higher concentration, which speeds the healing process.

Bone Cell Donation

Orthopaedic surgeons can also use donor bone cells to promote healing. In much the same way that blood transfusions help millions of patients each year, bone cells taken from donors after they pass away help millions of orthopaedic patients. When these cells are harvested, they are treated so that they will not create an immune or allergic reaction in the patient.

Future of Orthobiologics

Each year, there are many new developments in the area of orthobiologics. For example, new growth factors have been identified that aid the body in repairing bones. Some of these are FDA-approved for use in other locations, such as the spine or feet. Over the next few years, we expect to see a widening of the indications (conditions that, if present, make it advisable or necessary to use a certain treatment) for these factors to include bone fractures.

Today, doctors have many more options to help the musculoskeletal system heal than they had 25 years ago when most orthobiologics were not available. The goal is to get patients back to the way they were prior to their injuries.

Last Reviewed

January 2022

Contributed and/or Updated by

Michael Githens, MD

Peer-Reviewed by

Faisal M. Mirza, MD, FAAOS, FRCSCStuart J. Fischer, MD, FAAOS

AAOS does not endorse any treatments, procedures, products, or physicians referenced herein. This information is provided as an educational service and is not intended to serve as medical advice. Anyone seeking specific orthopaedic advice or assistance should consult his or her orthopaedic surgeon, or locate one in your area through the AAOS Find an Orthopaedist program on this website.