Our knowledge of orthopaedics. Your best health.

from the American Academy of Orthopaedic Surgeons

Diseases & Conditions

Treatment

Recovery

Staying Healthy

Transient Osteoporosis of the Hip

Transient osteoporosis of the hip is a rare condition that causes temporary bone loss in the upper portion of the thighbone (femur).

People with transient osteoporosis of the hip will experience a sudden onset (start) of pain that worsens with walking or other weight-bearing activities. In many cases, the pain increases over time and may become disabling.

Painful symptoms gradually decrease and usually go away within 6 to 12 months. Bone strength in the hip also returns to normal in most people.

Despite the name, transient osteoporosis of the hip is very different from the more common age-related osteoporosis. Age-related osteoporosis is a painless, progressive (develops over time) condition that leads to a weakening of the bones throughout the body. It can put people at greater long-term risk for broken bones.

For more information about age-related osteoporosis: Osteoporosis

Anatomy

The hip is one of the body's largest joints. It is a ball-and-socket joint. The socket is formed by the acetabulum, which is part of the large pelvis bone. The ball is the femoral head, which is the upper end of the femur (thighbone).

Normal hip anatomy showing ball-and-socket

The hip is a ball-and-socket joint. In a healthy hip, the femoral head (ball) fits firmly into the acetabulum (socket).

Description

In transient osteoporosis of the hip, the femoral head weakens and loses density (bone mass). During the time that the bone is weakened, it is at greater risk for breaking.

Transient osteoporosis most often occurs in the hip joint, but can also affect other joints in the leg, such as the knee, ankle, and foot.


Transient osteoporosis of the hip most often occurs in young or middle-aged men (between the ages of 30 and 60). It is also more common in women who are in the late stages of pregnancy (the last 3 months) or who have recently given birth. A study published in the Journal of Obstetrics and Gynecology in 2017 estimates that the condition affects 1 in 250,000 pregnant females.

Cause

Currently, there is no clear explanation for what causes this condition. Researchers are studying this disease and several theories have been proposed, although none are proven.

Some of the causes that have been suggested include:

  • Obstruction (blockage) of some of the small blood vessels that surround the hip
  • Hormonal changes
  • Abnormal mechanical stresses (external load or force) on the bone

Symptoms

  • Sudden onset of pain, typically in the front of the thigh, the groin, the side of the hip, or the buttocks
  • Pain that intensifies with weight bearing and may lessen with rest
  • No previous accident or injury to the hip that would trigger pain
  • Slightly limited motion: Gentle hip motion is usually painless, but pain may intensify with extreme motions of the hip
  • Pain that gradually increases over a period of weeks or months and may be so intense that it is disabling
  • A noticeable limp as you try to protect the joint and ease the pain

Doctor Examination

Medical History and Physical Examination

Your doctor will talk to you about your symptoms and when they first started. They may ask you whether you can remember any injury to your hip.

During the physical examination, your doctor will have you move your leg in different directions to measure your range of motion and try to reproduce the pain. Most patients with transient osteoporosis of the hip have more pain when they move the hip themselves (active range of motion) as opposed to when the doctor moves the hip for them (passive range of motion).


In addition, pain is often felt only with extremes of hip movements, and it usually worsens with any weightbearing. This difference in how the pain is felt (severe pain with weightbearing, but minimal pain with passive range of motion) is one of the clues to the diagnosis of transient osteoporosis.

Testing range of motion in hip
During the exam, your doctor will test the range of motion in your hip.
Reproduced from JF Sarwark, ed: Essentials of Musculoskeletal Care, ed 4. Rosemont, IL, American Academy of Orthopaedic Surgeons, 2010.

Tests

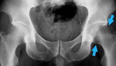
  • X-rays. In the early course of the disease (the first 6 weeks), X-ray images may show a slight decrease in the bone density of the femoral head, but this may be hard to see. Several months later, X-rays may show a dramatic loss of bone density with a near complete disappearance of the femoral head. This temporary loss of bone density is why the disease is termed "transient osteoporosis of the hip."
Pelvis x-ray
This X-ray of the pelvis shows early changes in bone density in the affected hip (arrows).
Reproduced from Korompilias AV, Karantanas AH, Lykissas MG, Beris AE: Transient osteoporosis. J Am Acad Orthop Surg 2008; 16:480-489.
  • Other imaging scans. Because X-rays may not show bone loss until the condition is well-advanced, your doctor may order other types of imaging tests to identify the cause of your symptoms.

    Computed tomography (CT) scans and magnetic resonance imaging (MRI) scans can provide more detailed images. MRI scans provide clear images of the soft tissues (muscles, tendons, and ligaments) around the hip.

    A nuclear medicine bone scan can more clearly show changes in bone caused by infection or injury. (A nuclear medicine bone scan should not be confused with a dual energy X-ray absorptiometry (DEXA) scan. A DEXA scan is a study that tests for general bone density, and while it is the gold standard in testing for age-related osteoporosis, it is not effective in diagnosing transient osteoporosis of the hip.)

    If you are pregnant, your doctor may decide to delay imaging studies until the last stages of your pregnancy, or even until after the delivery. Generally, MRI is safe to obtain in pregnancy, although you should discuss this with your orthopaedic surgeon, your primary doctor, and your obstetrician if you are considering this test.
  • Laboratory tests. Currently there is no blood test that helps to diagnose this disorder. However, blood tests are often very helpful in ruling out other causes of hip pain, such as metabolic (nutritional) disorders, endocrine (hormonal) disorders, and metastatic disease (cancer).

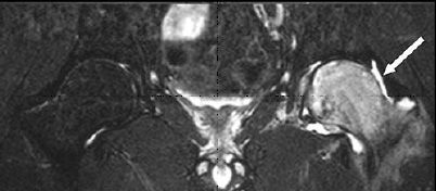
Bone Marrow Edema

One of the most common signs of transient osteoporosis of the hip is bone marrow edema. Bone marrow is a spongy substance that produces blood cells and is located in the hollow part of long bones. In bone marrow edema, the bone marrow is inflamed and full of fluid.

An MRI scan of a hip affected by transient osteoporosis will usually reveal bone marrow edema. Because of this, MRI is one of the most useful studies to help diagnose the condition.

MRI scan showing edema
This MRI image shows edema surrounding the affected hip. Edema causes the bone to appear white in the MRI image.
Reproduced from Korompilias AV, Karantanas AH, Lykissas MG, Beris AE: Transient osteoporosis. J Am Acad Orthop Surg 2008; 16:480-489.

Treatment

Because transient osteoporosis goes away on its own, treatment focuses on minimizing symptoms and preventing any damage to the bones while they are weakened by the disorder.

  • Non-steroidal anti-inflammatory medication (NSAIDs). Drugs like ibuprofen and naproxen may relieve pain and inflammation.
  • Weightbearing restrictions. Your doctor may advise you to temporarily limit or eliminate weightbearing activities. Using crutches, a cane, a walker, or other walking aid, will help relieve the stress of weightbearing on the affected hip, and may prevent a fracture of the temporarily weakened bone.
  • Physical therapy. To help maintain strength and flexibility in the muscles supporting your hip, your doctor may also recommend a series of exercises that you can do as the pain lessens. Water exercises may be helpful not only because they ease movement, but also because they relieve weight bearing.
  • Nutrition. Proper nutrition, including Vitamin D and calcium, may help promote the healing process and rebuilding of bone.

Outcomes

With proper diagnosis and treatment, most patients with transient osteoporosis of the hip can expect their symptoms to end within 6 to 12 months. Bone strength in the hip also will return to normal in most cases.

In a small percentage of patients, transient osteoporosis appears again later in life. It can return to the same hip or even in the hip that was not originally affected. It is difficult to predict whether the condition will come back.

Last Reviewed

April 2023

Contributed and/or Updated by

Neil P. Sheth, MD, FAAOSJared R. H. Foran, MD

Peer-Reviewed by

Thomas Ward Throckmorton, MD, FAAOSStuart J. Fischer, MD

AAOS does not endorse any treatments, procedures, products, or physicians referenced herein. This information is provided as an educational service and is not intended to serve as medical advice. Anyone seeking specific orthopaedic advice or assistance should consult his or her orthopaedic surgeon, or locate one in your area through the AAOS Find an Orthopaedist program on this website.