Our knowledge of orthopaedics. Your best health.

from the American Academy of Orthopaedic Surgeons

Diseases & Conditions

Treatment

Recovery

Staying Healthy

Hallux Rigidus (Stiff Big Toe)

Hallux rigidus (stiff big toe) occurs when the joint at the base of the big toe stiffens. It is the most common arthritic condition in the foot and can make walking painful and difficult. Hallux rigidus usually develops in adults between the ages of 30 and 60.

Anatomy

The big toe is made up of two joints. The largest of the two is the metatarsophalangeal joint (MTP), where the first long bone of the foot (metatarsal) meets the first bone of the toe (phalanx). Its function is to bend and grip the ground and to accommodate foot flexibility when walking.

Big Toe Anatomy

The MTP joint is the large joint closest to the base of the big toe.

Description

In the MTP joint, as in any joint, the ends of the bones are covered by smooth articular cartilage. If this cartilage is damaged, the bone ends can rub together. A bone spur (osteophyte), or overgrowth, may then develop on the top of the bone at the base of the big toe. This overgrowth can prevent the toe from bending as much as it needs to when we walk.  

In later stages, all the cartilage is worn away, leaving bone-on-bone arthritis within the joint.

Bone spur

An osteophyte, or bone spur.

Cause

  • Hallux rigidus may be the result of simple wear and tear or a  past traumatic injury to the big toe that has led to damage of the articular cartilage over time.
  • In addition, poor foot alignment, such as a flatfoot or bunion, can create stress on the MTP joint and lead to hallux rigidus.
  • There are also genetic factors that contribute to development of hallux rigidus.

Symptoms

Symptoms of hallux rigidus can vary and may include one or more of the following:

  • Pain in the big toe joint during walking or other activities. This pain usually occurs on the top of the joint, but it can also be deep inside the joint.
  • Swelling around the joint, which may require you to make shoe wear modifications.
  • A bump, like a bunion or callus, that develops on the top of the foot. There may be redness around the bump.
  • Stiffness in the big toe and an inability to bend it up or down.
Foot With Hallux Rigidus

Patients with hallux rigidus often develop a bump on the top of the foot at the base of the big toe (white arrow).

Doctor Examination

If you have difficulty bending your toe up and down or find that you are walking on the outside of your foot because of pain in the big toe, it's important to see your doctor to make a diagnosis.

Hallux rigidus can be easier to treat when the condition is recognized early. If you wait until you see a bony bump on the top of your foot, bone spurs will already have already developed, arthritis may already have set in inside the joint, and treating the condition may be more involved.

Physical Examination

  • Your doctor will examine your foot and look for evidence of bone spurs.
  • They may move the big toe around to see how much motion is possible without causing pain. Moving the toe in various directions will also help determine whether the pain is deep or limited to the bump on the top of the toe joint. Knowing this will help your doctor decide which treatment to recommend.

Imaging Tests

X-rays. Your doctor may choose to get X-rays of your foot. X-rays will show the location and size of any bone spurs, the degree of arthritis deep in the joint space, and cartilage loss.

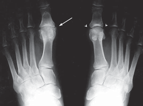
X-ray of Feet With Hallux Rigidus

X-ray of the feet of patient with hallux rigidus. Note the advanced arthritic changes, with large bone spurs and severe joint space narrowing in the left foot (white arrow) and the small spurs with a preserved joint space (white arrowheads) in the right foot.

Reproduced from Advanced Reconstruction Foot and Ankle, p. 45.

Treatment

Nonsurgical Treatment

Over-the-counter medications. Your doctor may recommend pain relievers, such as oral or topical non-steroidal anti-inflammatory medicines (NSAIDs), to help alleviate the pain and reduce the swelling.

Ice. Applying ice packs to the toe may also temporarily help reduce inflammation and control your symptoms. Do not apply ice directly to the skin.


Contrast bath. A contrast bath uses alternating cold and hot water to reduce inflammation. You'll need two buckets, one with water as cold as you can tolerate and the other with water as warm as you can tolerate. Immerse (soak) your foot in the cold water for 30 seconds, then immediately place it in the hot water for 30 seconds. Continue to alternate between cold and hot for 5 minutes, ending in the cold water. You can do contrast baths up to 3 times a day. However, be careful to avoid extreme temperatures in the water, especially if your feet aren't very sensitive to heat or cold.

Footwear. Wearing a shoe with a large toe box will reduce the pressure on the top of the toe. High heels are not recommended. Your doctor may suggest that you get a stiff-soled shoe with a rocker or roller bottom design.  Often, a standard shoe with a stiff carbon fiber insert (called a Morton’s extension insert) or metal plate embedded in the sole of the shoe will relieve pain. These types of shoe modifications support the foot when you walk and reduce the amount of bend in the big toe, which reduces pain and inflammation.


Injections. A small corticosteroid injection into the MTP joint can be both diagnostic and therapeutic: it is sometimes used to clarify the diagnosis of hallux rigidus, or to treat pain in patients who have not found relief with other nonsurgical treatments but are not good candidates for surgery. A corticosteroid injection will not fix the problem, but it has the potential to provide pain relief for several months.

Surgical Treatment

If nonsurgical treatment methods are not effective, your doctor may recommend surgery.

Cheilectomy. Cheilectomy is usually recommended for patients who have mild or moderate hallux rigidus. It involves removing the bone spurs as well as a portion of the big toe bone, so that the toe has more room to bend. 


Arthrodesis. Fusing the bones together (arthrodesis) is often recommended when the damage to the big toe’s cartilage is severe. During arthrodesis, your doctor will remove the damaged cartilage and use pins, screws, or a plate to fix the joint in a permanent position. This will allow you to walk comfortably, and possibly wear a low-heeled shoe. Gradually, the bones will grow together, eliminating the toe joint completely. This means that you will not be able to bend the toe at all. However, arthrodesis is the most reliable way to reduce pain in patients with severe hallux rigidus, or in those who fail the cheilectomy.

Arthrodesis With a Plate and Screws

Arthrodesis using a plate and screws. 

Reproduced from Orthopaedic Knowledge Update 5: Foot and Ankle, p. 198.

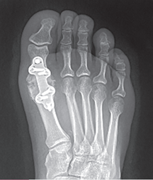
Arthroplasty. Older patients who place few functional demands on the feet may be candidates for joint replacement surgery (arthroplasty). During the procedure, your doctor will remove the MTP joint surfaces and implant an artificial joint. This procedure may relieve pain and preserve joint motion.

Arthroplasty for Hallux Rigidus

During arthroplasty, the joint surfaces are removed, and an artificial joint is implanted. 

Surgical Recovery

Pain management. Many types of medicines are available to help control pain, including opioids, nonsteroidal anti-inflammatory drugs (NSAIDs), and local anesthetics. Treating pain with medications can help you feel more comfortable while you recover.

Although opioids can relieve pain, they are narcotics and can be addictive. It is important to use opioids only as directed by your doctor and to stop taking them as soon as your pain starts to improve.


Most patients who undergo cheilectomy experience long-term relief. It is important, however, that they begin moving their toe early after surgery so that scar tissue does not cause the toe to stiffen again. The toe and surgical site may also remain swollen for several months. As a result, patients will have to wear a wooden-soled sandal for at least 2 weeks after surgery. They can then transition to wearing a normal shoe that has enough room to accommodate the swelling.

Most patients who undergo arthrodesis will wear a cast for the first 6 weeks after surgery. Once the cast is removed, they will use crutches and wear either a boot, a stiff-soled shoe, or a shoe with a rocker bottom. Swelling can last 3 to 6 months.

Last Reviewed

October 2022

Contributed and/or Updated by

Taylor Beahrs, MDBrian M. Weatherford, MD

Peer-Reviewed by

Thomas Ward Throckmorton, MD, FAAOSStuart J. Fischer, MD

AAOS does not endorse any treatments, procedures, products, or physicians referenced herein. This information is provided as an educational service and is not intended to serve as medical advice. Anyone seeking specific orthopaedic advice or assistance should consult his or her orthopaedic surgeon, or locate one in your area through the AAOS Find an Orthopaedist program on this website.