Our knowledge of orthopaedics. Your best health.

from the American Academy of Orthopaedic Surgeons

Diseases & Conditions

Treatment

Recovery

Staying Healthy

Slipped Capital Femoral Epiphysis

Slipped capital femoral epiphysis (SCFE) is a hip condition that occurs in teens and pre-teens who are still growing. For reasons that are not well understood, the ball at the head of the femur (thighbone) slips off the neck of the bone in a backward direction. This causes pain, stiffness, and instability in the affected hip. The condition usually develops gradually over time.

Treatment for SCFE involves surgery to stop the head of the femur from slipping any further.

To achieve the best outcome, it is important to be diagnosed as quickly as possible. Without early detection and proper treatment, SCFE can lead to potentially serious complications, including rapid deterioration of the femoral head and/or painful arthritis in the hip joint.

Anatomy

The hip is a ball-and-socket joint.

  • The socket is formed by the acetabulum, which is part of the large pelvis bone.
  • The ball is the femoral head, which is the upper end of the femur.
Normal anatomy of the hip

(Left) Normal anatomy of the hip. (Right) The location of the growth plates and epiphyses at the ends of the femur. The epiphysis at the upper end of the bone eventually becomes the femoral head.

Like the other long bones in the body, the femur does not grow from the center outward. Instead, growth occurs at each end of the bone around an area of developing cartilage called the growth plate (physis).

Growth plates are located between the widened part of the shaft of the bone (metaphysis) and the end of the bone (epiphysis). The epiphysis at the upper end of the femur is the growth center that eventually becomes the femoral head.

Description

SCFE is the most common hip disorder in adolescents. In SCFE, the epiphysis, or head of the femur, slips down and backward off the neck of the bone at the growth plate, the weaker area of bone that has not yet developed.

Illustration of SCFE
An illustration and X-ray of a left SCFE. The femoral head has shifted slightly downward off the neck of the bone through the growth plate (arrow).
Illustration courtesy of John Killian, MD, Birmingham, AL

SCFE usually develops during periods of rapid growth, shortly after the onset of puberty. This most commonly occurs between the ages of 12 and 16 years in boys, and the ages of 10 and 14 years in girls.

Sometimes SCFE occurs suddenly after a minor fall or trauma. More often, however, the condition develops gradually over several weeks or months, with no previous injury.

SCFE is often described based on whether the patient is able to put weight on the affected hip. Knowing the type of SCFE will help your child's doctor determine treatment.

Types of SCFE include:

  • Stable SCFE. In stable SCFE, the patient is able to put weight on the affected hip, either with or without crutches. Most cases of SCFE are stable slips.
  • Unstable SCFE. This is a more severe slip. The patient cannot put weight on their hip, even with crutches. Unstable SCFE requires urgent treatment. Complications associated with SCFE are much more common in patients with unstable slips.

SCFE usually occurs on only one side; however, it can occur on the opposite side, as well. If so, this happens within 18 months of the initial episode.

Cause

The cause of SCFE is not known. The condition is more likely to occur during a growth spurt and is more common in boys than girls.

Risk factors include:

  • Excessive weight or obesity — most patients are above the 95th percentile for weight.
  • Family history of SCFE.
  • An endocrine or metabolic disorder, such as hypothyroidism or hyperthyroidism. This is more likely to be a factor for patients who are older or younger than the typical age range for SCFE (10 to 16 years).

Symptoms

Symptoms of SCFE depend on the severity of the condition.

A patient with a  stable SCFE: 

  • Will usually have occasional pain in the groin, hip, knee and/or thigh for several weeks or months that usually worsens with activity
  • May walk or run with a limp after a period of activity
  • May hold the affected side in a position of increased external rotation, resulting in an out-toed gait
Clinical photo of patient with SCFE
An 11-year-old boy with unstable SCFE. His affected leg is turned outward and is shorter than the other leg.
Reproduced from Weber MD, Naujoks R, Smith BG: Slipped capital femoral epiphysis. Orthopaedic Knowledge Online Journal 2008; 6(2). Accessed June 2016.

In the more severe unstable SCFE, in which the femoral head has shifted abruptly, symptoms may include:

  • Sudden onset of pain, often after a fall or injury
  • Inability to put weight on the affected leg
  • Outward turning (external rotation) of the affected leg
  • Discrepancy in leg length — the affected leg may appear shorter than the opposite leg

Doctor Examination

Physical Examination

During the examination, your child's doctor will ask about:

  • Your child's general health
  • Your child's medical history
  • Your child's symptoms, including when the symptoms began

While your child is lying down, the doctor will perform a careful examination of the affected hip and leg, looking for:

  • Pain with extremes of motion
  • Limited range of motion in the hip — especially limited internal rotation
  • Involuntary muscle guarding and muscle spasms that are present in order to avoid painful movement

The doctor will also observe your child's gait (the way they walk). A child with SCFE may limp or have an abnormal gait.

Physical exam for SCFE
The doctor will check range of motion in the affected hip, if the SCFE is stable.
Reproduced from Weber MD, Naujoks R, Smith BG: Slipped capital femoral epiphysis. Orthopaedic Knowledge Online Journal 2008; 6(2). Accessed June 2016.

X-rays

X-rays provide images of dense structures, such as bone. Your child's doctor will order X-rays of the pelvis, hip, and thigh from two different angles to help confirm the diagnosis.

In a patient with SCFE, an X-ray will show that the head of the femur appears to be slipping off the neck of the bone.

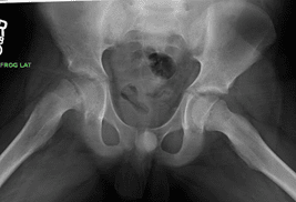
X-ray of stable SCFE

X-ray of an 11-year-old boy with stable SCFE in his right hip.

Treatment

The goal of treatment is to prevent the mildly displaced femoral head from slipping any further. This is always accomplished through surgery.

Early diagnosis of SCFE provides the best chance of stabilizing the hip and avoiding complications. When treated early and appropriately, long-term hip function can be expected to be very good.

Once SCFE is confirmed, your child will not be allowed to put weight on their hip and will probably be admitted to the hospital. In most cases, surgery is performed within 24 to 48 hours.

Procedures

The surgical procedure your child's doctor recommends will depend on the severity of the slip. Procedures used to treat SCFE include:

In situ fixation. This is the procedure used most often for patients with stable or mild SCFE. The doctor makes a small incision near the hip, then inserts a metal screw across the growth plate to maintain the position of the femoral head and prevent any further slippage.

Over time, the growth plate will close, or fuse. Once the growth plate is closed, no further slippage can occur.

In situ fixation
Illustration and X-ray of in situ fixation. A single screw is inserted to prevent any further slip of the femoral head through the growth plate.
(Left) Courtesy of John Killian, MD, Birmingham, AL. (Right) Reproduced from Weber MD, Naujoks R, Smith BG: Slipped capital femoral epiphysis. Orthopaedic Knowledge Online Journal 2008; 6(2). Accessed June 2016.

Open reduction. In patients with unstable SCFE, the doctor may first make an open incision in the hip, then gently reduce (manipulate) the head of the femur back into its normal anatomic position.

The doctor will then insert one or two metal screws to hold the bone in place until the growth plate closes. This is a more extensive procedure and requires a longer recovery time.

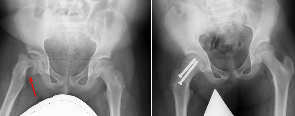
Open reduction
(Left) Preoperative X-ray of an unstable SCFE . (Right) Postoperative X-ray shows that the femoral head has been manipulated back into place and screws have been inserted to hold it in place.
Reproduced from Weber MD, Naujoks R, Smith B: Slipped capital femoral epiphysis. Orthopaedic Knowledge Online Journal 2008; 6(2). Accessed June 2016.

In situ fixation in the opposite hip. Some patients are at higher risk for SCFE occurring on the opposite side. If this is the case with your child, the doctor may recommend inserting a screw into the unaffected hip — during the procedure to treat the affected hip — to reduce the risk of SCFE developing. The doctor will talk to you about whether this treatment is appropriate for your child.

In situ fixation
In this X-ray, two screws have been inserted in the patient's right hip to stop progression of a slip. A single screw has been inserted in the left hip to prevent SCFE from developing.
Reproduced from Woiczik MR, Pizzutillo PD, Gross RH, Carroll KL: Musculoskeletal effects of Down Syndrome. Orthopaedic Knowledge Online Journal 2012; 10(10). Accessed June 2016.

Complications

Although early detection and proper treatment of SCFE will help decrease the chance of complications, some patients will still experience problems.

Complications following SCFE include avascular necrosis (degeneration of the femoral head), chondrolysis (rapid onset of painful arthritis), and impingement.

Avascular Necrosis

In severe cases, SCFE may interrupt the blood supply to the femoral head. This can lead to a gradual and very painful collapse of the bone — a condition called avascular necrosis (AVN) or osteonecrosis.

When the bone collapses, the articular cartilage covering the bone also collapses. Without this smooth cartilage, bone rubs against bone, leading to painful arthritis in the joint. Some patients with AVN may need further surgery to reconstruct the hip.

AVN is more likely to occur in patients with unstable SCFE. Because evidence of AVN may not be seen on an X-ray until 12 to 18 months after the initial surgery, the patient will need to be monitored with X-rays throughout this period of time.

Chondrolysis

Chondrolysis is a rare but serious complication of SCFE. In chondrolysis, the articular cartilage on the surface of the hip joint degenerates very rapidly, leading to pain, deformity, and permanent loss of motion in the affected hip.

Although the cause of the condition is not yet fully understood by doctors, it is believed that it may result from inflammation in the hip joint.

Aggressive physical therapy and anti-inflammatory medications may be prescribed for patients who develop chondrolysis. Over time, there may be some gradual return of motion in the hip. However, the patient may eventually need reconstructive surgery.

Femoroacetabular Impingement (FAI)

SCFE may also cause impingement within the hip joint, sometimes due to the placement of the screw used to stabilize the SCFE. Additionally, femoroacetabular impingement (FAI) may occur as a result of changes to the shape of the femur and/or socket.

Surgeries, including screw removal, arthroscopy, or open reconstruction, may be considered in patients who have pain from FAI or limited range of motion in their hip.

This X-ray shows that the shape of the left femoral head is no longer smooth and round. Impingement with hip pain and/or limited range of motion may develop, requiring additional surgery.

Recovery

Weightbearing

After surgery, your child will be on crutches for several weeks. The doctor will give you specific instructions about when your child can start putting their full weight on the hip. To prevent further injury, it is important to closely follow the doctor's instructions.

Physical Therapy

A physical therapist may provide specific exercises to help strengthen the hip and leg muscles and improve range of motion, when appropriate.

Sports and Other Activities

For a period of time after surgery, your child will be restricted from participating in vigorous sports and activities. This will help minimize the chance of complications and enable healing to take place. The doctor will tell you when your child can safely resume their normal activities.

Follow-Up Care

Your child will return to the doctor for follow-up visits for 18 to 24 months after surgery. These visits may include X-rays every 3 to 4 months to ensure that the growth plate has closed and that no complications have developed.

Depending on your child's age and other factors, they may require a team approach that includes a general pediatrician, endocrinologist, and/or dietician for comprehensive care over time.

OrthoKids

This article was reviewed by members of the Pediatric Orthopaedic Society of North America (POSNA).

Learn more about pediatric musculoskeletal conditions and injuries on the OrthoKids website.

Contributed and/or Updated by

Margret Siobhan Murphy-Zane, MD, FAAOS

AAOS does not endorse any treatments, procedures, products, or physicians referenced herein. This information is provided as an educational service and is not intended to serve as medical advice. Anyone seeking specific orthopaedic advice or assistance should consult his or her orthopaedic surgeon, or locate one in your area through the AAOS Find an Orthopaedist program on this website.