Diseases & Conditions
Sever's Disease
Sever's disease (also known as calcaneal apophysitis) is one of the most common causes of heel pain in growing children, especially children who are very physically active. It is an inflammation of the growth plate in the calcaneus (heel).
Sever's disease is caused by repetitive stress to the heel. It most often occurs during growth spurts, when bones, muscles, tendons, and other structures are changing rapidly.
- Children and adolescents who participate in athletics — especially running and jumping sports — are at an increased risk for this condition.
- However, less active adolescents may also experience this problem, especially if they wear very flat shoes.
In most cases of Sever's disease, simple measures like rest, over-the-counter medication, and a change in footwear will relieve pain and allow a return to daily activities. In addition, stretching the calf muscles may help decrease the stress on the heel.
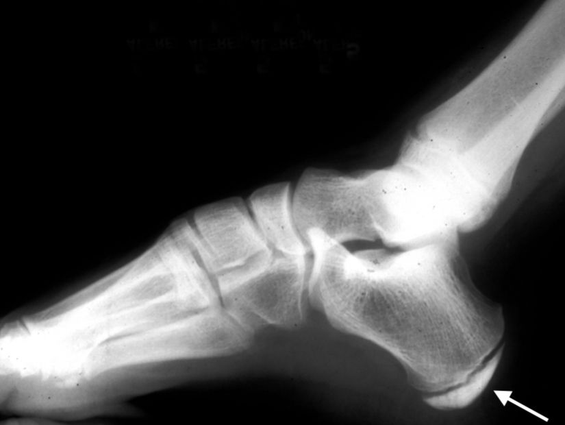
Description
The bones of children and adolescents possess a special area where the bone is growing called the growth plate. Growth plates are areas of cartilage located near the ends of bones.
When a child is fully grown, the growth plates close and are replaced by solid bone. Until this occurs, the growth plates are weaker than the nearby tendons and ligaments and are vulnerable to trauma.
Sever's disease affects the part of the growth plate at the back of the heel. This growth area serves as the attachment point for the Achilles tendon — the strong band of tissue that connects the calf muscles at the back of the leg to the heel bone.
Repetitive stress from running, jumping, and other high-impact activities can cause pain and inflammation in this growth area of the heel. Additional stress from the pulling of the Achilles tendon at its attachment point can sometimes further irritate the area.
Symptoms
Painful symptoms are often brought on by running, jumping, and other sports-related activities. In some cases, both heels have symptoms, although one heel may be worse than the other. Symptoms may include:
- Heel pain and tenderness underneath the heel
- Mild swelling at the heel
Doctor Examination
During the appointment, your child's doctor will:
- Discuss your child's symptoms and general health.
- Conduct a thorough examination of the foot and ankle to determine the cause of the pain. This will include applying pressure to the heel bone on both the bottom of the bone and along the sides, which should be tender or painful for a child with Sever's disease.
- Possibly ask your child to walk, run, jump, or walk on their heels to see if the movements bring on painful symptoms.
Treatment
Treatment for Sever's disease focuses on reducing pain and swelling. This typically requires limiting exercise activity until your child can enjoy activity without discomfort or significant pain afterwards. In some cases, rest from activity is required for several months, followed by a strength conditioning program. However, if your child does not have a large amount of pain or a limp, participation in sports may be safe to continue.
Your child's doctor may recommend additional treatment methods, including:
- Heel pads. Heel cushions inserted in sports shoes can help absorb impact and relieve stress on the heel and ankle.
- Wearing shoes with a slightly elevated heel. Elevating the heel may relieve some of the pressure on the growth plate.
- Nonsteroidal anti-inflammatory drugs (NSAIDs). Drugs like ibuprofen and naproxen can help reduce pain and swelling.
- Exercises. Exercises, such as the heel cord stretch (see below) can help to stretch the calf muscle and strengthen the leg muscles once pain has decreased.
In cases where the pain is bad enough to interfere with walking, a "walker boot" might be required to immobilize the foot while it heals.
Outcome
It is not unusual for Sever's disease to recur. This typically happens when a child once again increases sports activities. Wearing sports shoes that provide good support to the foot and heel may help prevent recurrence.
Sever's disease will not return once a child is fully grown and the growth plate in the heel has matured into solid bone.
Last Reviewed
June 2022
AAOS does not endorse any treatments, procedures, products, or physicians referenced herein. This information is provided as an educational service and is not intended to serve as medical advice. Anyone seeking specific orthopaedic advice or assistance should consult his or her orthopaedic surgeon, or locate one in your area through the AAOS Find an Orthopaedist program on this website.
 
     
             
             
         
         
         
         
             
         
         
         
         
        