Our knowledge of orthopaedics. Your best health.

SYSTEM ALERT: OrthoInfo will be down for maintenance from  8:00 a.m. to 9:00 a.m.(CST) on 12/16/2025.  We apologize for the inconvenience.

SYSTEM ALERT: OrthoInfo will be down for maintenance from  8:00 a.m. to 9:00 a.m.(CST) on 12/16/2025.  We apologize for the inconvenience.

from the American Academy of Orthopaedic Surgeons

Diseases & Conditions

Treatment

Recovery

Staying Healthy

Multiple Myeloma/Plasmacytoma

Multiple myeloma (also known as myeloma) is the most common primary bone cancer. However, despite being the most common bone cancer, it is still relatively rare. The American Cancer Society estimated that there were 35,830 cases in 2023, which represents about 1 to 2% of all cancers

This disease generally occurs in older adults. Very few cases occur in people under the age of 40 years. Multiple myeloma tends to be more common in men than women. It is twice as common in African Americans as it is in Caucasians. 

Description

Multiple myeloma is named for the "clock face" appearance of the cancer cells when seen under a microscope. They infiltrate (get into) virtually all of a patient's bone marrow — the spongy center of bones where red and white blood cells are made. In X-ray images of multiple myeloma, it looks like holes have been punched out of the bone. 

X-ray of multiple myeloma in skull

A skull X-ray taken from the side shows typical findings of multiple myeloma and multiple "punched-out" holes. The arrow is pointing at one of the larger holes. 

Multiple myeloma is not limited to a specific bone or location within a bone. It tends to involve the entire skeleton. When only one lesion is found, it is called a plasmacytoma. Most doctors believe that plasmacytoma is simply an early, isolated form of multiple myeloma. 

Cause

  • Multiple myeloma occurs spontaneously. No known risk factors are inherited (passed down from a parent)
  • Occasionally, patients exposed to ionizing radiation and the pesticide dioxin may develop the disease. Ionizing radiation is found in low levels in nature (e.g., radon gas), and there are also manmade sources. The most common exposure to manmade ionizing radiation is from medical tests, such as X-rays, CT scans, PET scans, fluoroscopy, and nuclear medicine procedures. 
  • Infection with some viruses (HIV and human herpesvirus 8) has also been associated with multiple myeloma. 

Symptoms

Patients usually complain of bone pain. Other symptoms include:

  • Fatigue
  • Feeling ill
  • Fever
  • Night sweats

Weight loss is not common in the early stages.

Physically, patients are pale with widespread bone tenderness, especially around the sternum (breastbone) and pelvis (hips).

Pathologic fractures (fractures caused by tumors) occur frequently. Patients will often have their multiple myeloma first discovered when they develop this kind of fracture. The spine is the most common location for a pathologic fracture to occur. It can also happen in the ribs and pelvis. 

X-rays of multiple myeloma and a pathologic fracture

This X-ray, taken from the side, shows the lower end of a patient’s femur near the knee. Multiple myeloma has weakened the bone and resulted in a pathologic fracture (black arrow). The white arrow is pointing at one of the “punched out” holes typically seen on X-ray. 

Reproduced from Johnson TR, Steinbach LS (eds.):  Essentials of Musculoskeletal Imaging. Rosemont, IL. American Academy of Orthopaedic Surgeons, 2004, p. 145.

Compression of the spinal cord occurs in up to 5% of patients. This causes pain in the back, and pain, numbness, and weakness in the legs.

Patients who have high levels of calcium in their blood may experience nausea, fatigue, confusion, constipation, and frequent urination.

Patients with anemia may experience fatigue, weakness, and shortness of breath with exercise.

In advanced cases, patients typically have recurrent (repeated) infections and can have kidney failure. 

Doctor Examination and Tests

Several tests are used to confirm a diagnosis of multiple myeloma, including:

  • X-rays
  • Advanced imaging (e.g., PET scans, bone scans)
  • Blood or urine tests
  • A bone biopsy

Multiple myeloma appears on X-rays as lytic bone lesions (the appearance of a lot of punched-out holes in the bone). These destructive lesions weaken the bone. The first imaging test usually performed is a skeletal survey. This consists of X-rays of all the bones in the body.

Additionally, doctors now use positron emission tomography (PET) scans to help identify all sites of disease in multiple myeloma.

Occasionally, a bone scan may be performed, but often the lesions cannot be seen on a bone scan.

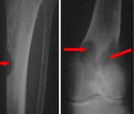
X-rays of multiple myeloma in leg

These X-rays show typical lesions caused by multiple myeloma. (Left) A lesion in the tibia (shinbone). (Right) Two lesions at the lower end of the femur (thighbone) near the knee. 

The diagnosis is made when a large number of abnormal plasma cells are found in the patient's bone marrow, which is obtained through a bone biopsy.

A blood test can confirm the diagnosis. The patient's blood is checked for abnormal antibodies produced by myeloma cells. A urine test can identify abnormal multiple myeloma proteins as well.

Patients may also have:

  • Anemia (low red blood cell count)
  • Leukopenia (low white blood cell count)
  • Thrombocytopenia (low platelet count)
  • Hypercalcemia (high calcium level in the blood) 

Treatment

While there is no cure for multiple myeloma, there are many treatment options.

Most commonly, patients start on chemotherapy (induction chemotherapy). Then, many patients are eligible for stem cell transplant. The goal is to get patients to remission (no sign of cancer) and then keep them on maintenance therapy. These treatments help to prolong survival and decrease pain and symptoms.

Chemotherapy

Chemotherapy is the use of medications or drugs to treat cancer. Doctors and scientists continue to develop new medications for the treatment of multiple myeloma. The most common chemotherapy options include: 

Three-drug regimens

  • Immunomodulatory drug (Revlimid or Pomalyst)
  • Proteasome inhibitor (Velcade, Kyprolis, or Ninlaro)
  • Steroid (dexamethasone or prednisone)

Four-drug regimens

  • Same medications as the three-drug regimen
  • Anti-CD38 monocolonal antibody (Darzalex or Sarclisa)

After induction chemotherapy, eligible patients may receive an autologous stem cell transplantation. This stem cell transplantation involves:

  • Harvesting a patient's own blood cells
  • Conditioning the cells with very high doses of chemotherapy (melphalan)
  • Re-infusing the blood cells back into the patient

Radiation Therapy

Radiation therapy is helpful for decreasing the size of symptomatic bone lesions, and it can improve specific areas of pain related to bone lesions. Radiation helps to kill myeloma cells in very specific (targeted) areas of the bone to allow pathologic bone fractures to heal.

Supportive Care

Supportive care is critical. This includes comfort measures, pain control, and interventions that maintain function. Supportive care includes managing the bone disease, anemia, infections, kidney failure, and pain associated with multiple myeloma.

  • Bisphosphonate medications can decrease the risk of fracture in destructive bone lesions and spine fractures.
  • Erythropoietin or occasional blood transfusions can manage anemia.
  • Antibody infusions and vaccinations can help patients with recurrent (repeated) infections.
  • Corticosteroids and hydration can be used to treat high blood calcium concentrations (from bone loss) and dehydration.
  • Opioid pain medications can address the pain associated with bone lesions. 

Surgical Treatment

Surgery will not cure multiple myeloma, but it is used to treat fractures and prevent the risk of future fractures. The goal of these surgeries is to decrease pain and maintain function.

Internal fixation augmented with cement is frequently recommended, as are joint replacements and vertebroplasties (for spine fractures). Surgery does not alter the survival rate, but it does improve the quality of life. 

  • Orthopaedic surgeons can stabilize bones with plate, screws, or intramedullary rods (a metal implant insert inside the bone).
  • Many surgeons will scrape out the tumor (curettage) and augment (fill in the hole created by the scraping) with bone cement. 
  • Occasionally, joint replacement is needed to maintain function and mobility.
  • In the spine, kyphoplasty or vertebroplasty (injecting cement into the vertebral body for spine fractures) can help to relieve pain and maintain the alignment of the spine.

Surgery does not improve the survival rate, but it does improve your quality of life.

Future Research

Research in multiple myeloma has been evolving rapidly. Currently, there are a number of new biologic agents (Xpovio, Abecma, Carvykti, Tecvayli, Talvey, Elrexfio) in various stages of clinical trials. 

Additionally, orthopaedic oncologists are starting to use CAR T-cell therapy for relapsed or refractory multiple myeloma.

Last Reviewed

April 2024

Contributed and/or Updated by

Alexandra Kathleen Callan, MD, FAAOSRajiv Rajani, MD

Peer-Reviewed by

Thomas Ward Throckmorton, MD, FAAOSStuart J. Fischer, MD

AAOS does not endorse any treatments, procedures, products, or physicians referenced herein. This information is provided as an educational service and is not intended to serve as medical advice. Anyone seeking specific orthopaedic advice or assistance should consult his or her orthopaedic surgeon, or locate one in your area through the AAOS Find an Orthopaedist program on this website.