Our knowledge of orthopaedics. Your best health.

SYSTEM ALERT: OrthoInfo will be down for maintenance from  8:00 a.m. to 9:00 a.m.(CST) on 1/20/2026.  We apologize for the inconvenience.

SYSTEM ALERT: OrthoInfo will be down for maintenance from  8:00 a.m. to 9:00 a.m.(CST) on 1/20/2026.  We apologize for the inconvenience.

from the American Academy of Orthopaedic Surgeons

Diseases & Conditions

Treatment

Recovery

Staying Healthy

Heterotopic Ossification of the Hip

Heterotopic ossification (HO) is the formation of extra bone outside the normal locations on the skeleton.

  • This process can result from direct injury to soft tissues, such as after surgery or a fall.
  • HO can also happen after a neurologic injury, such as a brain or spinal cord injury.
  • Patients with burns or blast injuries are also vulnerable to this condition.

Heterotopic bone formation can happen anywhere in your body, including your joints. Large joints such as the hip are most commonly affected, though the knee, elbow, and shoulder also are at risk. This article will focus on HO of the hip.

Anatomy

The hip is a ball-and-socket joint.

  • The socket is formed by the acetabulum, which is part of the large pelvis bone.
  • The ball is the femoral head, which is the upper end of the femur (thighbone).

The surface of the ball and socket is covered with articular cartilage, a smooth, slippery substance that protects the bones and enables them to glide easily across each other.

Conditions such as osteoarthritis affect the cartilage of your hip. HO forms around your hip, usually in the back of the hip. This abnormal bone decreases motion by blocking the natural movement of your femur and pelvis as you move your hip.

Illustration showing a healthy hip joint.

Description

HO is the production of normal bone in abnormal locations. Your doctor may use the Brooker Classification System to classify HO of the hip. The classification system ranges from I (one) to IV (four).

  • Class I HO is characterized by small bone fragments around the hip.
  • Class II HO has bony protrusions (pieces of bone that stick out, also called bone spurs) from the pelvis or femur. These spurs are greater than 1 centimeter apart
  • Class III HO has bony protrusions from the pelvis or femur. These spurs are less than 1 centimeter apart.
  • Class IV HO is where the hip joint is encased (covered) in HO and unable to move. This is also called ankyloses.

Class I and class II HO are low-grade HO, which is considered less severe. Class III and IV HO are considered severe.


The sooner acquired HO is diagnosed by your orthopaedic surgeon, the quicker you can start treatment. There is no cure for heterotopic ossification; however, there are treatments that can lessen its effect on your overall function and keep it from coming back.

Cause

HO can be acquired or, very rarely, genetic.

  • The cause of acquired HO is unknown. It can happen from trauma; after surgery or burns; or as the result of brain or spinal cord injury. Post-traumatic HO of the hip is most commonly reported following fractures of the acetabulum (the socket of the pelvis).
  • Genetic HO is the result of rare genetic diseases, including fibrodysplasia ossificans progressiva (FOP) and progressive osseous heteroplasia (POH).

Risk Factors

You have a higher risk of acquired HO of the hip following traumatic injury if you are male and/or have:

  • Significant soft tissue injury or major surgery
  • Neurologic, chest, or abdominal injury at the same time as the hip trauma
  • Fractures of the acetabulum
  • Prior brain or spinal cord injury
  • Burn or blast injury

You have a higher risk of acquired HO of the hip following neurologic injury if you are male, younger in age, and/or have:

  • Traumatic injury at the same time as the neurologic injury
  • Prolonged coma
  • More severe injury
  • Direct hip trauma

If you have previously developed HO, you have an increased risk of more HO.

Symptoms

Early symptoms of HO are vague. HO symptoms can mimic those of other orthopedic conditions.

  • You may have pain, decreased range of motion, redness, and warmth. These symptoms may mimic infection.
  • Over time, you may notice a progressive decrease in range of motion. Walking and bending down may become more and more difficult, which can affect activities of daily living like getting dressed, bathing, doing housework, or driving.

Doctor Examination

Medical History and Physical Examination

  • Your doctor will discuss your symptom timeline and medical history.
    • It is helpful to tell the doctor where your pain is located and which movements are difficult.
    • Mention any nerve symptoms you may have, such as numbness, “pins and needles” sensations (also described as a body part “falling asleep”), or weakness.
  • A physical exam will also help to uncover the cause of your hip pain. In addition to a thorough, standard hip examination, your doctor may perform a “Thomas” test, which tests the ability of your hip joint to become straight.

Diagnostic Tests

Your doctor may order specific tests, including one or more of the following:

  • Blood tests. Blood tests can be used to rule out other causes of your symptoms, such as infection. They can also monitor if HO formation has started to slow down.
  • X-rays. X-rays provide imaging of dense objects such as bone and can be used to show the bone formed by HO.
  • Computed tomography (CT) scans. CT scans are more detailed than a standard X-ray. A CT scan gives your doctor a 3D view of the HO formation. CT scans can also be useful in looking for other possible causes of hip pain after total hip replacement.
  • Three-phase bone scans. A three-phase bone scan can be used for early diagnosis. It can help your doctor see if the HO is currently active and maturing or if it is dormant (inactive). Repeat X rays are also sometimes used for this purpose.
  • Ultrasonography (US) or magnetic resonance imaging (MRI). Your doctor may order US or MRI to better understand your symptoms, make an early diagnosis of HO, and/or rule out other conditions. Studies have shown MRI to be better than X-rays at detecting early HO.

Treatment

Nonsurgical Treatment

There are currently there are no universally agreed upon nonsurgical treatments for HO of the hip.

  • Depending on how bad your symptoms are, your doctor may recommend decreasing your activity level or avoiding activities that cause symptoms.
  • Nonsteroidal anti-inflammatory medications (NSAIDs) may help reduce pain and inflammation.
  • Physical therapy has not been proven to help with HO. Range of motion exercises can help with Brooker 1 or 2 mature HO, but Brooker 3 and 4 HO generally do not respond to physical therapy.
  • There are no FDA-approved medications for treatment of acquired HO. Palovarotene has been FDA approved for treatment of fibrodysplasia ossificans progressiva (FOP), one of the rare genetic diseases that can cause HO. Learn more about FOP

Surgical Treatment

Surgical treatment for HO may be considered:

  • If your symptoms are limiting your daily function
  • If you have progressive (worsening) neurologic disability as the result of HO compressing nerves

Timing of surgery varies.

  • Surgery should wait until the original injury has healed and any other significant medical issues are stabilized.
  • Once the injury heals and medical issues are stabilized, operating early might help preserve the function you have now and prevent your function from getting worse over time.
  • HO can remain active for months to years after the initial injury. Waiting until the HO is no longer active might help keep the HO from coming back.

Surgery for HO of the hip involves exploring the region around hip joint through either a prior incision or a new incision.


The surgeon will remove HO that is causing range of motion to be limited. The goal is to restore as much joint motion as possible.

Outcomes of HO removal depend on the original cause of the HO.

  • If HO of the hip is due to acetabular fracture, about 67% of patients report good to excellent results and 33% have recurrence (the HO comes back).
  • There is a higher chance of the HO coming back in patients with neurologic injuries, such as spinal cord injury.

Prevention

It is important to recognize risk factors that may prompt preventive treatment of HO (see Risk Factors above). If you are at high risk of HO, preventive treatment can help decrease the formation of HO after surgery.

Two of the most common preventive treatments for HO are non-steroidal anti-inflammatory drugs (NSAIDs) and radiation therapy (XRT).

  • NSAIDs, commonly indomethacin in the U.S., help to decrease the number of bone-forming cells that create HO. These medications are typically prescribed for 3 to 6 weeks after surgery.
  • Low-dose XRT is given in a single dose shortly before or after surgery.

NSAIDs and XRT have been shown to be equally effective at reducing HO of the hip after surgery.

Etidronate disodium (a bisphosphonate drug) has also been used for HO prevention, but it has fallen out of favor due to its side effects.

Heterotopic Ossification After Hip Arthroplasty

In total hip arthroplasty, the arthritis in both the socket and head of the femur are removed and replaced with metal implants.

HO after hip replacement is similar in nature to acquired traumatic HO.

There are multiple places on the body where surgeons can make the incisions to perform a hip replacement. The two most common incision locations have HO rates of 22% to 42%.


HO that forms around total hip arthroplasty is often Brooker class I or II (low-grade, less severe). Many of these patients do not have symptoms related to their HO.

Risk Factors

Risk factors for HO after hip replacement include:

  • History of HO
  • Prior hip surgery
  • History of hip trauma
  • Increased surgical time
  • Blood type O
  • The type of surgical approach used
  • Being a biological male
  • Being older than 65 years of age
  • Prolonged wound drainage (there is drainage for a longer amount of time than usual)

Symptoms

Patients with HO after hip replacement often have pain in their hip or lower back with decreased hip range of motion.

Diagnosis

Your doctor may order many of the tests mentioned above (see Doctor Examination).

Surgical Treatment

If you have severe HO, surgical exploration and removal may be an option. It is important to discuss your specific mobility issues with your surgeon to determine if HO removal is right for you.

For this procedure, HO is removed from your hip through either the same incision used for your hip replacement or a new incision.

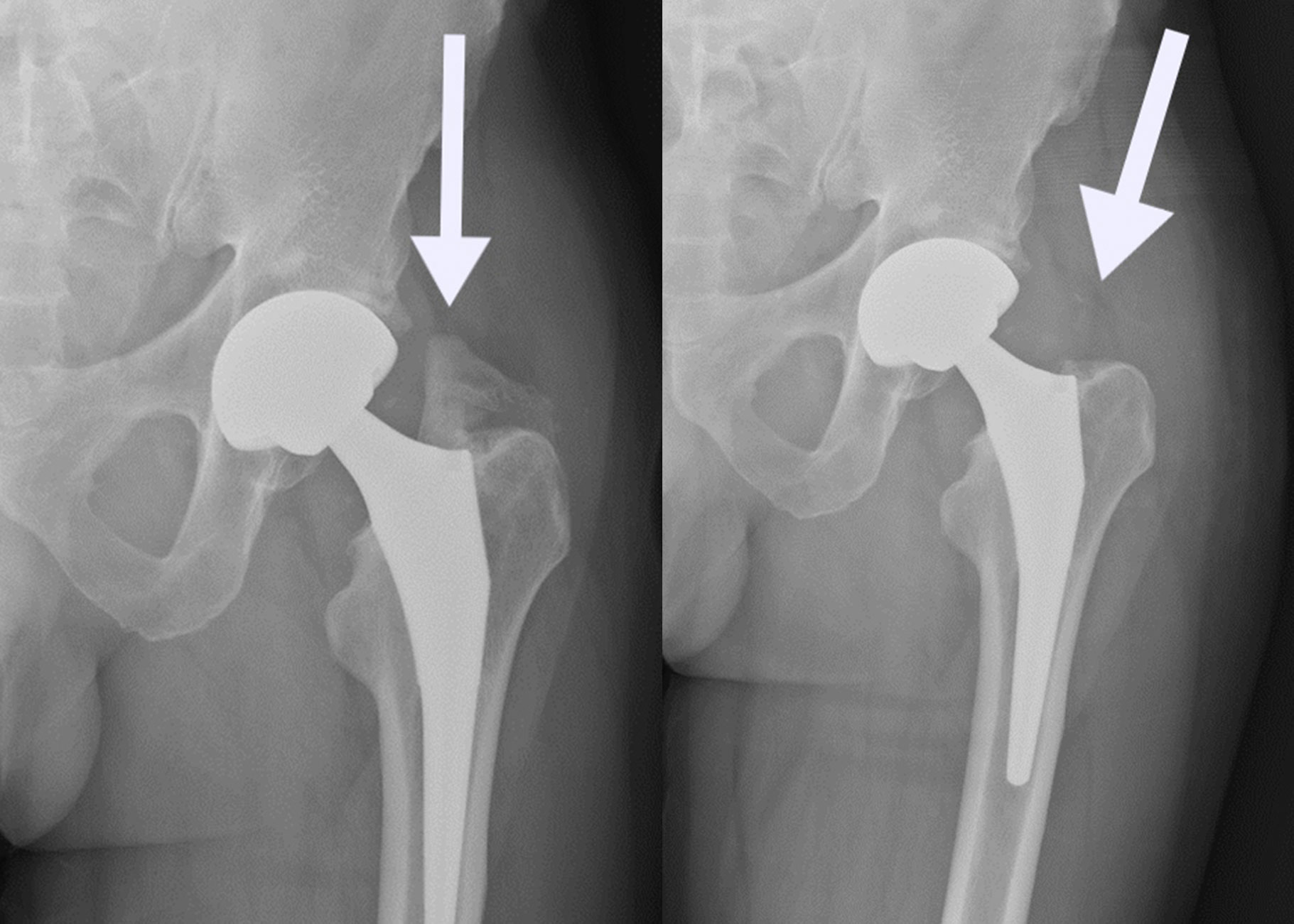
(Left)  In this image, HO has developed after hip replacement. (Right) This image shows the hip after surgery to remove the HO.

HO after hip replacement should be removed after it has fully matured, which may take up to 3 years from the initial hip replacement.

Recovery from surgery depends on where your HO is located and how big it is. Preventive treatment is often used after HO removal to keep it from coming back. Depending on where the HO is, you may have muscle weakness, continued pain, or a limp after surgery.

Conclusion

HO remains a frustrating problem for patients and orthopaedic surgeons.

While there are few effective nonsurgical treatment, surgery has been shown to provide good results in most patients. There are also treatments to help decrease the risk of developing HO in patients with known risk factors.


Discuss your symptoms with your doctor to determine which treatment is right for you.


References

Contributed and/or Updated by

Jaret McGraw Karnuta, MD, MSWeston Smith, MDKeith D. Baldwin, MD, FAAOS

Peer-Reviewed by

Neil P. Sheth, MD, FAAOSThomas Ward Throckmorton, MD, FAAOS

AAOS does not endorse any treatments, procedures, products, or physicians referenced herein. This information is provided as an educational service and is not intended to serve as medical advice. Anyone seeking specific orthopaedic advice or assistance should consult his or her orthopaedic surgeon, or locate one in your area through the AAOS Find an Orthopaedist program on this website.