Our knowledge of orthopaedics. Your best health.

SYSTEM ALERT: OrthoInfo will be down for maintenance from  8:00 a.m. to 9:00 a.m.(CST) on 12/16/2025.  We apologize for the inconvenience.

SYSTEM ALERT: OrthoInfo will be down for maintenance from  8:00 a.m. to 9:00 a.m.(CST) on 12/16/2025.  We apologize for the inconvenience.

from the American Academy of Orthopaedic Surgeons

Diseases & Conditions

Treatment

Recovery

Staying Healthy

Fracture After Total Knee Replacement

A periprosthetic fracture is a broken bone that occurs around or near an orthopaedic implant. This article focuses on periprosthetic fracture after total knee replacement. Learn more about fracture after total hip replacement.

For a total knee replacement, periprosthetic fractures can occur in the femur (thigh bone), tibia (shin bone), or patella (kneecap). These injuries can occur at any point in time following a total knee replacement and are usually the result of a fall or high-energy injury, such as a motor vehicle collision.

Fortunately, fracture after total knee replacement is rare. It is a serious complication that is often challenging to treat, almost always requiring a large surgery and an extended period of post-operative rehabilitation.

Description

  • Most periprosthetic fractures occur in the femur (thigh bone), above a total knee replacement.
  • Fractures of the tibia (shin bone) or patella (kneecap) also can occur but are less common.

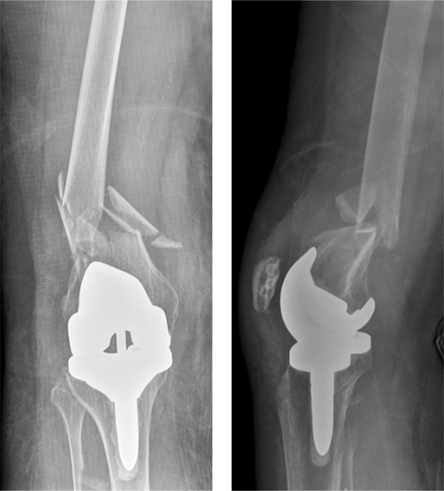
X-ray showing a comminuted periprosthetic femur fracture above the total knee replacement.

Reproduced from Van Rysselberghe NL, Campbell S, Goodnough LH, Amanatullah D, Gardner, M, Bishop J: To Fix or Revise: Differences in Periprosthetic Distal Femur Fracture Management Between Trauma and Arthroplasty Surgeons. J Am Acad Orthop Surg 2022; 30[1]:e17-24.

The Vancouver classification system for periprosthetic fractures around the knees.

Reproduced from Bengoa, F, Neufeld M, Howard, L, Masri B. Periprosthetic Fractures After a Total Knee Arthroplasty. J Am Acad Orthop Surg 2023; 31[19]:3746-3758. Courtesy of the AO Foundation, adapted with permission from the AO Surgery Reference. 

Cause

Periprosthetic fractures are most commonly the result of a fall. They can also result from high-energy injuries, such as a motor vehicle collision.

Several things can put people at higher risk for a periprosthetic fractures, including:

  • Having more risk factors for a fall, such as muscle weakness, poor vision, or poor balance
  • Having a condition that weakens bone, such as osteoporosis

Symptoms

The most common symptoms of periprosthetic total knee fractures include:

  • Pain around the thigh or knee
  • Swelling and bruising around the thigh or knee
  • Inability to bear weight on the injured leg
  • The injured leg appears shortened or deformed

Doctor Examination

Similar to many fractures, someone with a periprosthetic total knee fracture will often have significant pain and will likely go directly to the emergency room.

In the emergency room, multiple doctors are typically involved in your care. They will examine the injured leg for any abrasions or lacerations and will assess the limb for nerve function and blood flow.

Tests

X-ray. In the emergency room, your doctor will order X-rays of your femur, knee, and tibia bones, as well as any additional areas in which you are having pain. This will allow the doctor to visualize the total knee replacement and fracture.

X-rays images can show:

  • The quality of the bone
  • How many pieces of broken bone there are
  • How much displacement (gaps between broken pieces) there is

Computed tomography (CT) scan. In some cases, your doctor will also order a CT scan. CT scans provide three-dimensional images of the bony structures.

Laboratory tests. Blood and other laboratory tests can provide your doctor with important information about your general health and help prepare you for surgery.

Injury Stabilization

You will not be allowed to put any weight on the injured leg. Your doctor may place you in a brace to limit motion at the site of injury.

After initial testing is complete, a decision will be made whether you will need to be admitted to the hospital.

Treatment

Most periprosthetic total knee replacement fractures require surgery.

To determine the right treatment for you, your doctor will consider several factors, including:

  • The type and location of the fracture
  • The quality of the remaining bone
  • Whether the implants are loose
  • Your overall medical health

Patients with multiple medical conditions who need surgery may be in the hospital for up to several days before the surgery is performed. This often occurs as patients undergo  additional testing to get them medically ready for surgery in order to  reduce the risks of complications.

The general approaches to treating periprosthetic total knee replacement fractures include:

Open Reduction and Internal Fixation

If your implant is still firmly fixed into your femur bone and tibia bone, your doctor may recommend internal fixation to treat the fracture.

During this operation:

  • The bone fragments are first repositioned (reduced) into their normal alignment, then held together with plates and screws/cables.
  • In some instances, a metal nail (intramedullary nail) is placed inside the femur to restore stability to the leg.

Your surgeon will discuss which operation is best for you.

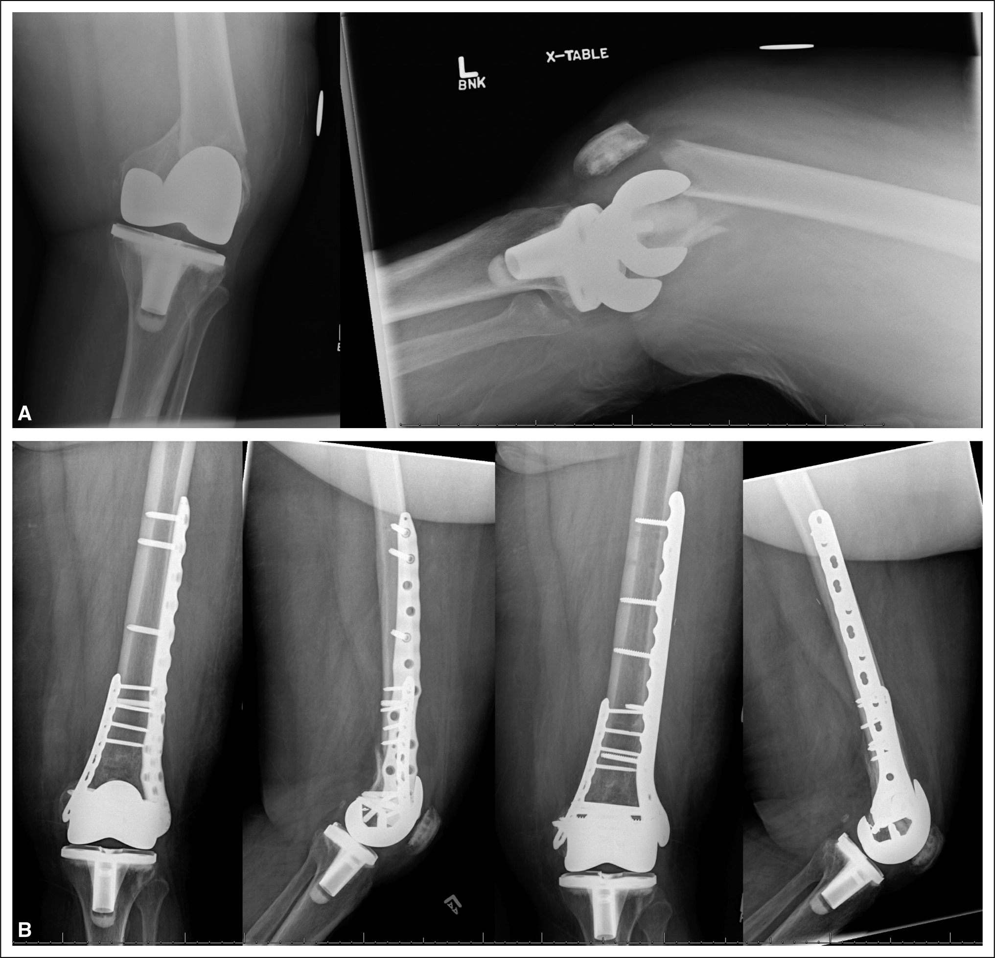
(A) This patient had a Vancouver type B1 periprosthetic femur fracture. (B) Plates were used to hold the repositioned bones together. One year after the surgery, the fracture had healed with adequate alignment, rotation, and strength. 

Reproduced from Bengoa F, Neufeld M, Howard L, Masri B. Prosthetic Fractures After a Total Knee Arthroplasty. J Am Acad Orthop Surg 2023; 31[19]:e746-e759.

 

Revision Total Knee Replacement

In some cases of periprosthetic total knee fractures, the implant is loose. In these situations, the original implant must be removed from the bone and replaced with a new implant. This is called a revision.

Due to possible bone loss, the surgeon may use special implants. These implants tend to be larger for stability and include stems to protect the weaker bone near the knee joint.

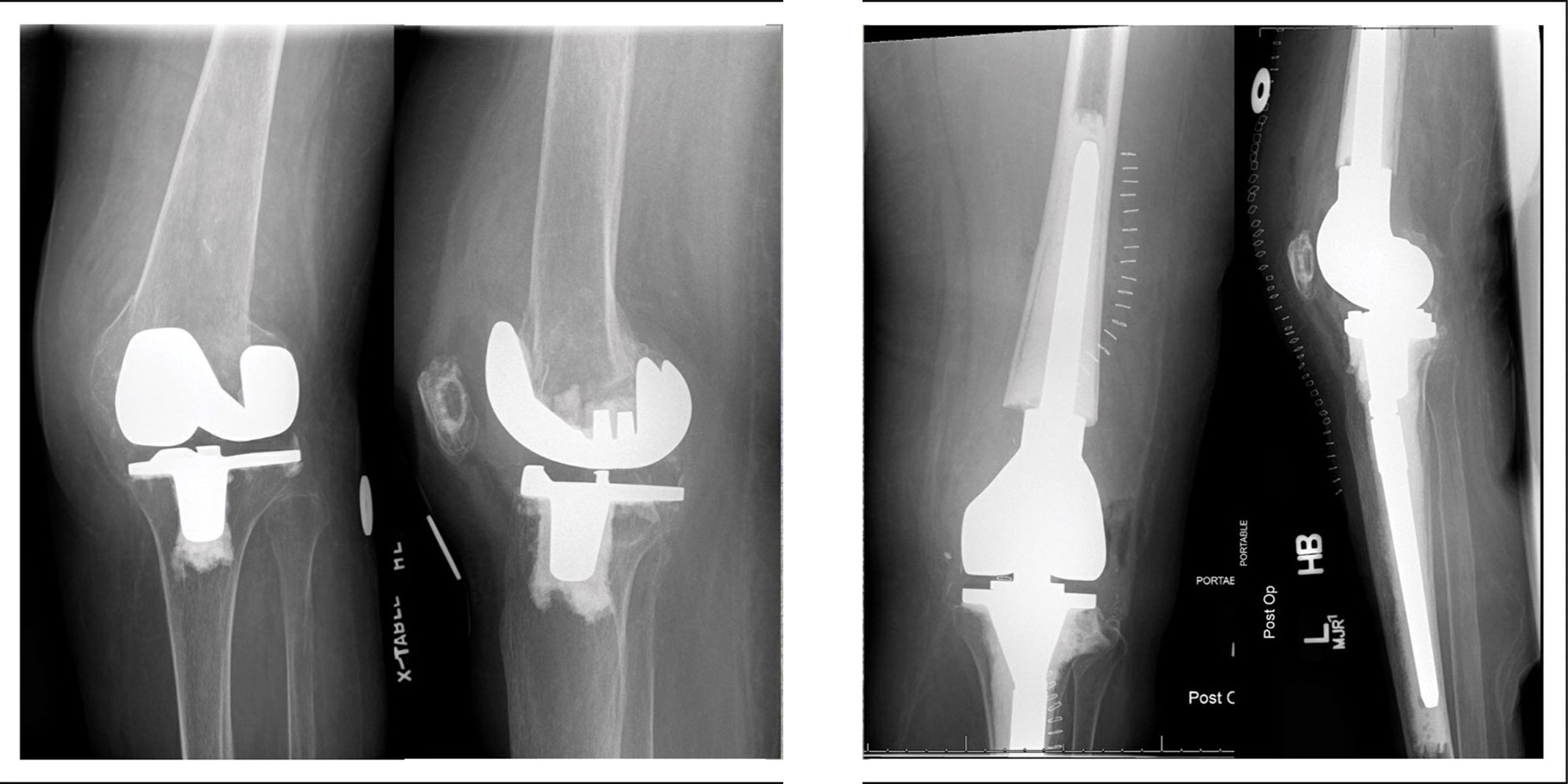
Two different viws (A and B) of a distal comminuted periprosthetic fracture treated with revision total knee replacement (C and D)

Reproduced and adapted from Kuzyk PRT, Watts E, Backstein D. Revision Total Arthroplasty for the Management of Periprosthetic Fractures. J Am Acad Orthop Surg 2017 Sept; 25[9]:624-633.

If there is not sufficient bone at the end of the femur, your surgeon may use a special type of implant known as distal femoral replacement.

Your surgeon will discuss which surgery and implants are best for your specific injury.

Periprosthetic distal femur fracture treated with a distal femur arthroplasty.

Reproduced and adapted from Bengoa F, Neufeld M, Howard L, Masri B. Periprosthetic Fractures After a Total Knee Arthroplasty. J Am Acad Orthop Surg 2023; 31[19]:e746-e759.

Your Surgery

When needed, surgery will be performed as soon as it is medically safe.

Anesthesia

After admission, you will be evaluated by a member of the anesthesia team.

Surgery to treat a periprosthetic total knee fracture is most often performed using general anesthesia (you are put to sleep). You, your anesthesiologist, and your surgeon will discuss the type of anesthesia to be used.

Procedure

Surgery to fix a fracture can be challenging. It is not uncommon for these surgeries to last more than 3 hours.

Factors that increase the complexity of the procedure include:

  • Poor bone quality
  • Fracture comminution (multiple bone fragments)
  • In some cases, the presence of bone cement (from the original knee replacement surgery)
  • The need to work around existing surgical implants

After surgery, you will be moved to the recovery room, where you will remain for several hours while your recovery from anesthesia is monitored. After you wake up, you will be taken to your hospital room.

Surgical Recovery

You will most likely stay in the hospital for a few days after surgery.

  • After surgery, you will likely be on intravenous (IV) antibiotics for a period of time to help prevent infection.
  • In addition, your surgeon will prescribe a blood thinning medication to help reduce the risk of developing a blood clot in your leg (deep vein thrombosis).

Pain Management

After surgery, you will feel some pain. This is a natural part of the healing process. Your doctor and nurses will work to reduce your pain, which can help you recover from surgery faster.


Medications are often prescribed for short-term pain relief after surgery. Many types of medicines are available to help manage pain, including non-steroidal anti-inflammatory drugs (NSAIDs), opioids, and local anesthetics. Your doctor may use a combination of these medications to improve pain relief and lessen the need for opioids.

Be aware that although opioids help relieve pain after surgery, they are narcotics and can be addictive. Opioid dependency and overdose have become critical public health issues in the U.S. It is important to use opioids only as directed by your doctor and to stop taking them as soon as your pain begins to improve.


Talk to your doctor if your pain has not begun to improve within a few days of your surgery.

Rehabilitation

In most cases, physical therapy begins soon after the operation.

  • Your surgeon will determine how much weight you can place on your healing leg as well as how much you can bend your knee.
  • A physical therapist will teach you how to mobilize safely and use a walker.
  • There are a few instances where you will have a brace for your knee. Your surgeon will discuss these restrictions with you.

The process of regaining strength and the ability to walk may take several months. After the initial hospitalization, you may spend several weeks in a skilled nursing facility or a rehabilitation center to improve your strength and general health.

Possible Complications of Surgery

Complications after surgery for periprosthetic fractures can be serious. The most common complications include:

Additional Surgery

In some cases, a repeat operation is necessary to address the complication. It is important to talk with your orthopaedic surgeon about the risks and benefits of the procedure before having surgery.

Last Reviewed

September 2024

Contributed and/or Updated by

Jason Shah, MDAjay Premkumar, MD, MPH

Peer-Reviewed by

Neil P. Sheth, MD, FAAOSThomas Ward Throckmorton, MD, FAAOS

AAOS does not endorse any treatments, procedures, products, or physicians referenced herein. This information is provided as an educational service and is not intended to serve as medical advice. Anyone seeking specific orthopaedic advice or assistance should consult his or her orthopaedic surgeon, or locate one in your area through the AAOS Find an Orthopaedist program on this website.