Our knowledge of orthopaedics. Your best health.

SYSTEM ALERT: OrthoInfo will be down for maintenance from  8:00 a.m. to 9:00 a.m.(CST) on 12/16/2025.  We apologize for the inconvenience.

SYSTEM ALERT: OrthoInfo will be down for maintenance from  8:00 a.m. to 9:00 a.m.(CST) on 12/16/2025.  We apologize for the inconvenience.

from the American Academy of Orthopaedic Surgeons

Diseases & Conditions

Treatment

Recovery

Staying Healthy

Fracture After Total Hip Replacement

A periprosthetic fracture is a broken bone that occurs around or near an orthopaedic implant. This article focuses on periprosthetic fracture after total hip replacement. Learn more about fracture after total knee replacement.

Although a fracture may occur during a hip replacement procedure, the majority of periprosthetic fractures occur:

  • Within a few weeks after the procedure
  • Years after a well-functioning total hip replacement

Fortunately, these fractures are rare. It is a serious complication that most often requires surgery, and treatment is often challenging because patients may be older and may have thinning bone or other medical conditions.

Description

Most periprosthetic fractures occur around the stem of the metal component placed in the femur. Fractures of the hip socket (acetabulum) are less common.

The severity of fracture (how serious it is) depends on two main factors:

  • The quality and strength of the bone around the implant
  • The amount of force involved in the injury
total hip replacement

Most fractures occur in the femur near the implant stem.

how bone can break around a total hip replacement

The bone around the implant stem can break in many different ways.

Reproduced and adapted from Archibeck MJ, Rosenberg AG, Berger RA, Silverton CD: Trochanteric osteotomy and fixation during total hip arthroplasty. J Am Acad Orthop Surg 2003; 11[3]:163-173.

Cause

Periprosthetic femur fractures are most often the result of a fall. These fractures can also be caused by a higher energy force, such as a direct blow to the side of the hip or motor vehicle collision. 

Several things can put people at higher risk for a periprosthetic hip fracture, such as:

  • Having more risk factors for a fall, such as muscle weakness, poor vision, or poor balance.
  • Having a condition that weakens bone, such as osteoporosis.
  • A loosened femoral stem. This is a major risk factor. This loosening typically occurs over a long period of time and is most often due to everyday activity. It can also result from a thinning of the bone called osteolysis, or an infection of the total hip replacement prosthesis.

Symptoms

The most common symptoms of periprosthetic hip fracture include:

  • Pain around the hip or thigh
  • Swelling and bruising around the hip or thigh
  • Inability to bear weight on the injured leg
  • Injured leg appears shortened or deformed

Doctor Examination

Because these types of injuries are often very painful, someone with a periprosthetic hip fracture will most likely go directly to the emergency room.

In the emergency room, both an emergency room physician and an orthopaedic surgeon will be involved in your care. They will closely examine the affected hip. The lower portion of the leg will be assessed for good blood flow, as well as to ensure that the main nerves that travel around the hip joint (the sciatic nerve and femoral nerve) are working well.

Tests

Imaging tests. X-rays of your pelvis, hip, and femur bones will show your doctor the complexity of the fracture pattern. These images can show the quality of the bone, how many pieces of broken bone there are, and how much displacement (gaps between broken pieces) there is.

In some cases, your doctor will also order a computed tomography (CT) scan. CT scans provide three-dimensional images of the bony structures.


Laboratory tests. You will likely be admitted to the hospital. Blood and other laboratory tests can provide your doctor with important information about your general health and help prepare you for surgery.

Injury Stabilization

You will not be allowed to put any weight on the injured leg. Your doctor may place a small traction device on your foot to help keep your leg straight and prevent any further damage.

Treatment

Most cases of periprosthetic hip fractures require surgery.

To determine the right treatment for you, your doctor will consider several factors, including:

  • The type and location of the fracture
  • The quality of the remaining bone
  • Whether the implant in the femur is loose
  • Your overall medical health

Patients who need surgery may be in the hospital for up to several days before the surgery is performed. This is often because patients with periprosthetic fractures need to be medically stabilized. This "clearance" by a team of doctors reduces the built-in risks of the surgery.

The general approaches to treating periprosthetic hip fractures include:

Open Reduction and Internal Fixation

If your implant is still firmly fixed into your femur bone, your doctor may recommend internal fixation to treat the fracture.

During this operation, the bone fragments are first repositioned (reduced) into their normal alignment, then held together with special screws or cables, or by attaching metal plates to the outer surface of the bone.


In some cases, a bone graft is also used to help the broken bone heal. Bone grafting involves transplanting bone tissue to support areas of weakened bone. Allograft bone (bone from a deceased donor that has been sterilized and stored) is most often used in treatment of periprosthetic hip fractures. 

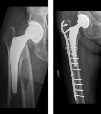
x-ray of periprosthetic hip fracture
(Left) This X-ray taken from the front shows a periprosthetic hip fracture. (Right) The fracture has been treated with a plate, screws, and cable.
Reproduced from Pike J, Davidson D, Garbuz D, et al: Principles of treatment for periprosthetic femoral shaft fractures around well-fixed total hip arthroplasty. J Am Acad Orthop Surg 2009; 17: 677-688.

Revision Total Hip Replacement

In some cases of periprosthetic hip fracture, the implant stem is loose. In these situations, the original implant must be removed from the bone and replaced with a new implant. This procedure is called a revision.

Revision surgery may require special components. Typically, the new implant will have a longer stem. In some cases, additional bone from a cadaver (an allograft) may be used to supplement (boost or replace) weak or missing bone.

x-rays of loose implant and joint revision
(Left) In this X-ray of a periprosthetic hip fracture, the implant is loose. (Right) The same fracture after treatment with joint revision surgery.
Reproduced from Della Valle CJ, Haidukewych GJ, Callaghan JJ: Periprosthetic fractures of the hip and knee: a problem on the rise but better solutions. Instr Course Lect 2010; 59:563-575.

Your Surgery

After you are admitted to the hospital, surgery will be performed as soon as it is medically safe.

Anesthesia

After admission, you will be evaluated by a member of the anesthesia team. Surgery to treat a periprosthetic hip fracture is most often performed using general anesthesia (you are put to sleep). You, your anesthesiologist, and your surgeon will discuss the type of anesthesia to be used.

Procedure

Surgery to fix a fracture around a total hip replacement can be challenging. Factors such as poor bone quality, fracture comminution (multiple bone fragments), and, in some cases, the presence of bone cement, increase the complexity of the case. It is not uncommon for these surgeries to last more than 3 hours.

After surgery, you will be moved to the recovery room, where you will remain for several hours while your recovery from anesthesia is monitored. After you wake up, you will be taken to your hospital room.

Recovery

You will most likely stay in the hospital for a few days after surgery.

After surgery, you will likely be on intravenous (IV) antibiotics for a period of time to help prevent infection. In addition, your surgeon will prescribe a blood thinning medication to help reduce the risk of developing a blood clot in your leg (deep vein thrombosis).

Pain Management

After surgery, you will feel some pain. This is a natural part of the healing process. Your doctor and nurses will work to reduce your pain, which can help you recover from surgery faster.

Medications are often prescribed for short-term pain relief after surgery. Many types of medicines are available to help manage pain, including non-steroidal anti-inflammatory drugs (NSAIDs), opioids, and local anesthetics. Your doctor may use a combination of these medications to improve pain relief and lessen the need for opioids.


Be aware that although opioids help relieve pain after surgery, they are narcotics and can be addictive. Opioid dependency and overdose have become critical public health issues in the U.S. It is important to use opioids only as directed by your doctor and to stop taking them as soon as your pain begins to improve. Talk to your doctor if your pain has not begun to improve within a few days of your surgery.

Rehabilitation

In most cases, physical therapy begins soon after the operation. Your surgeon will determine how much weight you can place on your healing leg. A physical therapist will teach you how to put partial weight on your leg and use a walker safely.

You may also require a hip brace for several weeks after surgery to further protect your hip while the fracture heals. Both physical and occupational therapists may work with you to improve your mobility, and help you safely observe your hip precautions.


The process of regaining strength and the ability to walk may take several months. After the initial hospitalization, you may spend several weeks in a skilled nursing facility or a rehabilitation center to improve your strength and general health.

Possible Complications of Surgery

Complications after surgery for periprosthetic fractures can be serious. The most common complications include:

  • Infection
  • Blood clots
  • Dislocation
  • Limb length inequality
  • Poor fracture healing
  • Repeat fracture
  • Lack of in-growth of the new stem placed in the femur bone
  • Nerve or blood vessel injury

Additional Surgery

In some cases, a repeat operation is necessary to address the complication. It is important to talk with your orthopaedic surgeon about the risks and benefits of the procedure before having surgery.

Last Reviewed

April 2023

Contributed and/or Updated by

Neil P. Sheth, MDJared R. H. Foran, MD

Peer-Reviewed by

Thomas Ward Throckmorton, MD, FAAOSStuart J. Fischer, MD

AAOS does not endorse any treatments, procedures, products, or physicians referenced herein. This information is provided as an educational service and is not intended to serve as medical advice. Anyone seeking specific orthopaedic advice or assistance should consult his or her orthopaedic surgeon, or locate one in your area through the AAOS Find an Orthopaedist program on this website.