Our knowledge of orthopaedics. Your best health.

SYSTEM ALERT: OrthoInfo will be down for maintenance from  8:00 a.m. to 9:00 a.m.(CST) on 2/17/2026.  We apologize for the inconvenience.

SYSTEM ALERT: OrthoInfo will be down for maintenance from  8:00 a.m. to 9:00 a.m.(CST) on 2/17/2026.  We apologize for the inconvenience.

from the American Academy of Orthopaedic Surgeons

Diseases & Conditions

Treatment

Recovery

Staying Healthy

Shoulder Dislocation

This article was written and/or reviewed by a member of American Shoulder and Elbow Surgeons (ASES).

The shoulder joint is the most mobile joint in the human body. It can turn in many directions, allowing us to position our hands in multiple positions. However, this advantage also makes the shoulder an easy joint to come out of the socket (dislocate).

Shoulder dislocations can be complete or partial, and usually occur after a trauma, such as a fall or motor vehicle collision.

  • In a complete dislocation, the joint surfaces are completely separated.
  • In a partial dislocation, the joint surfaces are only partially separated. A partial dislocation is also called a subluxation.

Other potential causes of a shoulder dislocation include seizures and electrocutions. Following a seizure, the shoulder often dislocates backward.

Anatomy

The shoulder is a ball and socket joint made up of three bones:

  • The clavicle (collarbone) connects the shoulder to the body.
  • The head, or ball, of the humerus (upper arm bone) fits into a rounded socket in the scapula (shoulder blade). This socket is called the glenoid. The humerus and glenoid have a very distinct shape, and this allows the shoulder to move in all directions.

In addition to the bones, there are other important structures that help to stabilize the shoulder.

  • The labrum runs around the edge of the shoulder socket. This acts as a bumper to help hold the bones in the proper position.
  • Ligaments connected to the bones also help keep the shoulder from dislocating.
  • There are four muscles that wrap around the ball of the shoulder. These muscles are collectively called the rotator cuff. They move the arm and squeeze the humerus into the glenoid to make it stay in the socket.   

Injuries and dislocations to the shoulder can affect any or all of these structures.

Shoulder Anatomy Showing Ligaments

(Left) The bones of the shoulder. (Right). Strong ligaments connect the shoulder bones and help keep them from dislocating. 

Cause

Shoulder dislocations are relatively common. They typically occur as the result of a traumatic injury, such as from a fall or motor vehicle accident.

Other potential causes of a shoulder dislocation include seizures and electrocutions.

  • Most commonly, the shoulder dislocates by sliding forward (anterior) out of the socket. This occurs when the shoulder dislocates while the arm is raised away from the body.
  • The shoulder can also dislocate by sliding backward (posterior). This can occur when the shoulder dislocates while the arm is raised in front of the body. Following a seizure, the shoulder often dislocates backward.
Dislocated shoulder

(Top) Normal shoulder stability. (Middle) A shoulder that has dislocated backward out of the socket (posterior dislocation). (Bottom) A shoulder that has dislocated forward out of the socket (anterior dislocation).

The shoulder is stable because of the combined stabilizing effects of bone surfaces, ligaments, and muscles. When a shoulder dislocates, any or all of these structures can be injured to different degrees.

  • When the head of the humerus dislocates, the glenoid socket and the ligaments in the front of the shoulder are often injured.
  • The labrum — the cartilage rim around the edge of the glenoid — may also tear. This is known as a Bankart lesion. Learn more: Labral Tears
  • In some instances, the trauma may be severe enough that there is also a break in either the glenoid socket or upper arm bone.

In very severe dislocations, such as those that result from motor vehicle accidents, damage to nerves or blood vessels can also occur.

Risk Factors

  • Some people are born with greater laxity or looseness in their ligaments. These people are at greater risk of dislocating their shoulders.
  • People who have had shoulder dislocations in the past also have a high risk of future dislocations — and these can happen even without an injury. When your shoulder dislocates repeatedly — again and again — this leads to a condition known as chronic shoulder instability.

Symptoms

Symptoms of a dislocated shoulder include:

  • Deformity
  • Swelling
  • Numbness
  • Weakness
  • Bruising
  • Pain — you may experience muscle spasms from the dislocation, and this can make it hurt more

Usually, a dislocation from an injury is very painful and obvious. The shoulder may look deformed and does not move normally.


A partial shoulder dislocation, or subluxation, can be harder to detect. Because the shoulder is only partially dislocated, the bones can move back into place (relocate) on their own, and the joint may appear fairly normal. The shoulder will usually move fairly well, but there may be pain. Partial dislocations can continue to happen over time if the ligaments never heal.

A complete dislocation may tear the ligaments and/or tendons in the shoulder and/or damage nerves.

Doctor Examination

Medical History and Physical Examination

It is important that your doctor knows how the dislocation happened and whether the shoulder has ever been dislocated before.

When the doctor examines your shoulder, they will:

  • Check for tenderness, swelling, and deformity.
  • Evaluate the skin and circulation to the arm, including checking the pulses at the wrist. If an artery is injured at the time of dislocation, the hand will be cool to touch and may have a white or purple hue. This is caused by the lack of warm blood reaching the hand. 
  • Check the nerve supply to the shoulder and arm. If nerves have been injured during the dislocation, some or all of the shoulder and arm may be numb and not able to move.

Imaging Tests

An X-ray is necessary to determine if there is a bone injury. X-rays can also help show the direction of the dislocation.

  • X-rays are the best way to confirm that the shoulder is dislocated.
  • If bone detail is difficult to identify on an X-ray, the doctor may order a computed tomography (CT) scan.
  • Often, it is important to evaluate the ligaments, and a magnetic resonance imaging (MRI) scan is helpful in doing so. However, an MRI  is rarely required at the time of the dislocation.
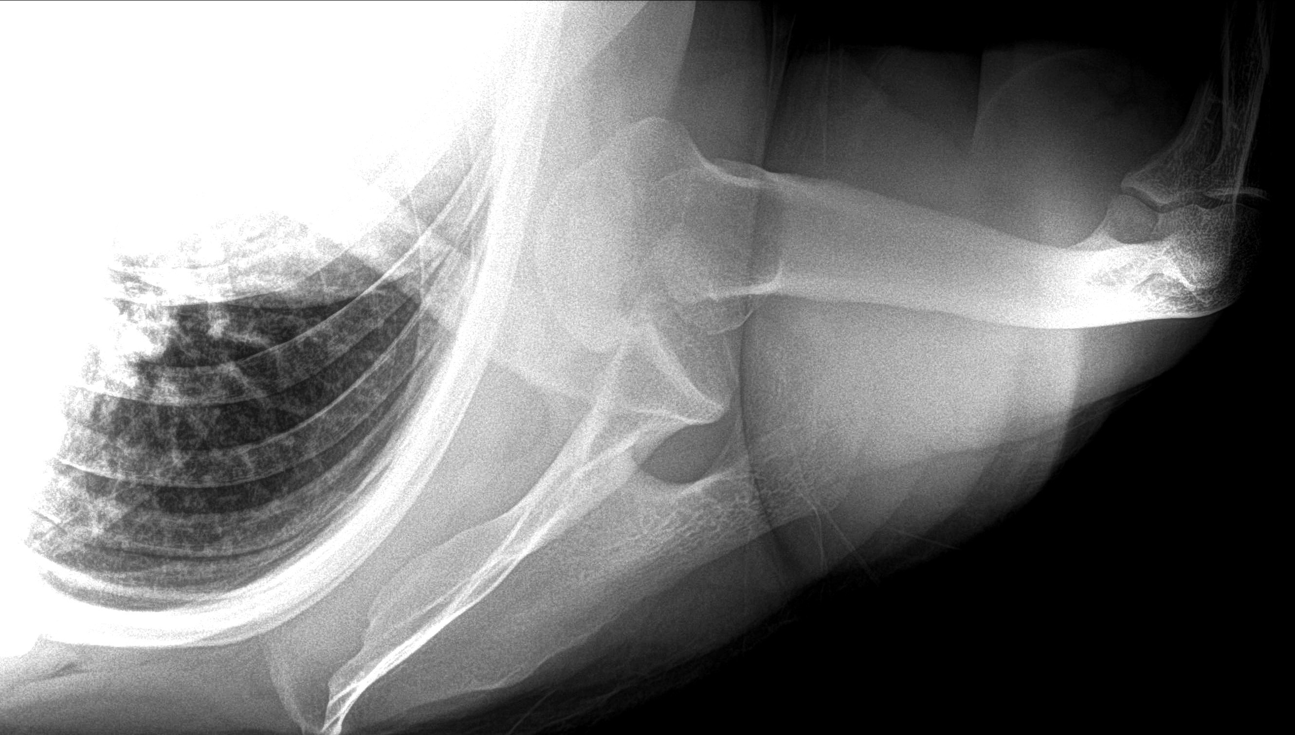
X-ray of Anterior Dislocation of Shoulder

An X-ray showing a simple anterior dislocation of the shoulder, meaning the shoulder slid forward out of the socket.

 

After the X-ray confirms the dislocation, the doctor will set (reduce) the shoulder. If  a CT scan and/or MRI scan is needed, they are usually done after the dislocated shoulder has been put back in place and may not be ordered until you see an orthopedic surgeon.

Treatment

A shoulder dislocation should be considered an emergency injury.

  • The goal of immediate treatment of a dislocated shoulder is to return the shoulder to its normal alignment.
  • The long-term goal is to restore function to the arm.

Nonsurgical Treatment

Closed reduction. The normal alignment of the shoulder can usually be restored in an emergency room (ER) at the hospital. Before this is done, the patient will usually be given sedatives and pain medications. The act of restoring alignment to the shoulder is called a closed reduction. It is done gently and slowly. 


If the shoulder dislocation occurs during a sporting event, medical personnel may be able to put the shoulder back into place at the time of the injury.

Severe pain usually stops almost immediately once the shoulder joint is back in place.

X-ray of Dislocated Shoulder After Reduction

An X-ray showing normal alignment after the shoulder has been reduced.

Immobilization. After the shoulder has been restored to the correct position (reduced), a sling is applied to keep the shoulder still. This protects the shoulder to avoid further injury. The splint should be worn until you follow up with a physician.

When you follow up with a physician, the physician will examine your shoulder and determine whether more information is needed. If so, they may order a CT scan or MRI at this time.

If there is not much damage to the shoulder, a shoulder dislocation may be treated without surgery.

Icing. The sore area can be iced 3 to 4 times a day to help with swelling and pain. Do not apply ice directly to your skin. Use an ice pack or wrap the ice in a towel.

Pain medications. Non-steroidal anti-inflammatory drugs (NSAIDs) like aspirin, ibuprofen, and naproxen can help reduce pain and swelling.

Rehabilitation. Physical therapy can be helpful during this period of recovery. Physical therapy will help restore the shoulder's range of motion and strengthen the muscles. Rehabilitation may also help prevent dislocation of the shoulder again in the future.

Rehabilitation will begin with gentle muscle toning exercises. Later, weight training can be added.

Some people are able to return to full activity after a shoulder dislocation. Other people continue to have a feeling that the shoulder is sliding out of place, even after physical therapy. These patients may use a brace to help protect the shoulder during certain activities.

Surgical Treatment

If the shoulder joint is unable to be put back into socket, or has dislocated multiple times, surgery may be required. Often, a shoulder dislocation needs surgery if there are injuries to the muscles or bones that make up the shoulder.

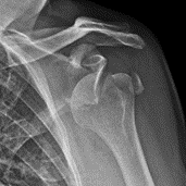
Shoulder Dislocation With Multiple Fractures

An X-ray showing a dislocation of the shoulder that also contains multiple fractures.

Depending on how severe the injury is, surgery may include:

  • Tightening or repairing ligaments
  • Fixing damage to the labrum
  • Filling gaps in bone
  • Rebuilding bone

Different types of surgery are best for different people.

Some patients, particularly young athletes, may want surgery after a first dislocation to help prevent recurrent dislocations (chronic shoulder instability). Your surgeon will discuss and review your risk factors for recurrent dislocations, as well as the pros and cons of nonsurgical treatment vs. surgery.

After surgery, it is possible to have some stiffness of the shoulder. Physical therapy after surgery is very important to help restore range of motion.

Outcomes

Treatment for shoulder dislocations is usually straightforward, and the results are usually good.

Whether you have nonsurgical treatment or surgery, maintaining good muscle strength and control of your shoulder and shoulder blade muscles is important. This can improve your results after a shoulder dislocation and limit your risk of the shoulder dislocating again and again (chronic shoulder instability).

Contributed and/or Updated by

James M. Gregory, MD, FAAOSWilliam R. Aibinder, MDGeorge S. Athwal, MD

Peer-Reviewed by

Thomas Ward Throckmorton, MD, FAAOSStuart J. Fischer, MD

AAOS does not endorse any treatments, procedures, products, or physicians referenced herein. This information is provided as an educational service and is not intended to serve as medical advice. Anyone seeking specific orthopaedic advice or assistance should consult his or her orthopaedic surgeon, or locate one in your area through the AAOS Find an Orthopaedist program on this website.