Our knowledge of orthopaedics. Your best health.

from the American Academy of Orthopaedic Surgeons

Diseases & Conditions

Treatment

Recovery

Staying Healthy

Diabetic (Charcot) Foot

Diabetes is a condition of elevated blood sugar that affects about 9% of the population in the U.S., or about 30 million people. Diabetic foot problems are a major health concern and a common cause of hospitalization.

Most foot problems that people with diabetes face arise from the damage that the disease causes to small blood vessels. In the foot, damage to small vessels leads to two major issues:

  • First, poor blood supply to nerves impairs sensation in the feet, making diabetics less likely to feel cuts or other injuries.
  • Second, poor blood supply to the skin and the foot as a whole makes it difficult to heal wounds. Therefore, diabetic patients are both more likely to get wounds and less likely to heal them appropriately. Wounds that don't heal create an opportunity for bacteria to enter the foot, leading to diabetic foot infections.

There are many treatment options for the wide range of diabetic foot problems. The most effective treatment, however, is prevention. For people with diabetes, strict blood sugar control and careful, daily inspection of the feet are essential to both overall health and the prevention of devastating foot problems. 

The nerve damage that results from diabetes is called diabetic neuropathy. One of the more critical foot problems that can result from diabetic neuropathy is Charcot arthropathy (also known as Charcot neuroarthropathy or, simply, Charcot foot).

This condition is the result of undetected injuries to the bones of the foot, which can lead to significant deformity and disability. The remainder of this article will focus mostly on Charcot arthropathy.

infected big toe

A severely infected big toe. This infection began two days earlier as a small blister at the tip of the toe.

Description

Charcot arthropathy is a condition of the foot and ankle caused by an inability to sense injuries, which can result in significant deformities. Neuropathy (nerve damage) must be present for Charcot foot to develop, and the most common cause of that neuropathy is diabetes.

Diabetic patients with neuropathy can sustain fractures or dislocations in the foot without realizing it. These injuries can:

  • Occur from obvious traumatic events, such as falls or ankle sprains.
  • Develop slowly over time because of altered weight distribution on a diabetic foot (microtrauma). In a normal patient, these abnormal forces would generate pain, causing the patient to automatically adjust their stance and redistribute weight before any injury or damage occurs in the foot. A diabetic, however, will not sense pain or adjust their weight, so these forces can cause fractures and other injuries over time.

Without normal pain sensation, a diabetic may continue to walk on an injured foot, worsening the injury and leading to significant deformity. Only about 25 to 50% of patients with Charcot foot report a specific injury that they can recall.

As previously mentioned, neuropathy must be present for Charcot to develop. There are, however, other risk factors that can contribute to Charcot:

  • The most significant risk factor is obesity. Simply put, excess weight on a foot that cannot sense pain is a perfect storm for Charcot to develop.
  • The risk of a diabetic developing Charcot also increases with age.

The resulting deformities in Charcot foot can lead to several problems:

  • They can make normal shoe wear difficult or even impossible.
  • They can be significant enough to make the foot and ankle unstable and thus unable to support normal walking.
  • The ultimate problem in Charcot, however, is that the deformities can create areas of prominent bone under the skin (the bone is immediately below the skin surface). This leads to ulcers, or wounds that are caused by excess pressure on the skin. Once the skin breaks, the risk of developing an infection in the foot is very high, and due to poor blood flow, diabetics have a difficult time both healing wounds and fighting infections. For this reason, diabetics with Charcot foot have a 50% chance of ending up with an amputation if they develop an ulcer, as opposed to only a 10% chance without an ulcer. 
chronic sore on the ankle

(Left) This patient with Charcot of the ankle has developed a deformity that places abnormal pressure on the outside of the ankle. (Right) This pressure has led to the development of a chronic sore (ulcer) that can be extremely difficult to treat.

charcot arthropathy
This patient with Charcot arthropathy has a severe deformity.
Reproduced from Harrelson JM: The diabetic foot: Charcot arthropathy. Instr Course Lect 1993; 42;141-146.

Symptoms

Although patients with Charcot arthropathy typically will not have much pain, they may have other symptoms.

  • The earliest sign of Charcot is swelling of the foot, which can occur without an obvious injury. The first thing you may realize is that you have difficulty fitting into your shoes.
  • Redness and warmth of the foot can also occur in the early stages. These changes are a normal inflammatory response to the injuries that are occurring in the foot.
  • The swelling, redness, and warmth may be confused for an infection. However, an infection is very unlikely if the skin is intact (unbroken) and there is no wound present. Therefore, in a diabetic with a newly swollen foot and no wound, the most likely diagnosis is Charcot. Another way to quickly tell the difference between Charcot and an infection is to elevate the foot for several minutes. In Charcot, the swelling, warmth, and redness should improve; in an infected foot, they likely will not.

Doctor Examination

Medical History and Physical Examination

Your doctor will talk with you about your symptoms and your overall health. They will want to know:

  • How you may have injured your foot.
  • About your diabetes, such as your most recent hemoglobin A1C number, and any history of wounds or infections in the foot.

After discussing your symptoms and medical history, your doctor will carefully examine your foot.

  • If your foot is warm, red, and swollen, the doctor may elevate the foot to see if these symptoms improve.
  • They will look for ulcers or bony prominences (bones that are immediately below the skin surface) that could lead to ulcers.
  • They will carefully examine the shape of your foot to look for obvious deformities, and they will try to determine whether the deformities are correctible ("flexible") or rigid.
  • They will assess the blood flow and sensation (feeling) in your foot.

Imaging Tests

X-rays. X-rays provide detailed pictures of dense structures, like bone. In the very early setting of Charcot, the X-rays may be normal. However, in more severe cases, fractures and bone fragments may be present. As the condition progresses, deformities may become more drastic, resulting in dislocations, destruction of joints, and formation of new bone. 

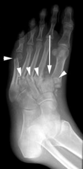
fractures and dislocation of metatarsals

The patient shown in the X-ray had noticed swelling of the foot for approximately 3 weeks without any known injury. The X-ray shows several fractures (arrowheads) and a dislocation of the first metatarsal (arrow). Such a severe injury in patients without diabetes would be seen only after a high-energy trauma.

Computed tomography (CT) scan. A CT scan can be thought of as a three-dimensional X-ray and therefore can provide a very detailed picture of the bones. Your doctor will likely order a CT scan if they believe that you need surgery for Charcot foot. The detailed CT scan can help greatly with planning exactly which type of surgery you need.


Magnetic resonance imaging (MRI) and ultrasound. An MRI scan and ultrasound can create better images than X-rays of soft tissues in the foot and ankle. They may be ordered if your doctor suspects an infection. Infections in the bone (osteomyelitis) can be hard to distinguish from the inflammation that is normally present in a Charcot foot. However, if there is a pocket of infection in the soft tissues (abscess), this should be obvious on an MRI.

Bone scan/indium scan. A bone scan is a nuclear medicine test that can be effective in determining whether there is a bone infection. There are different types of bone scans, and the doctor must determine which type(s) are best to use for a particular problem. These tests are slightly more effective than MRI at distinguishing Charcot from a bone infection, but they can still be inconclusive. An indium scan is a specialized test that involves placing a marker on white blood cells. These cells are then traced to see whether they are going to the bone to fight an infection.


Both Charcot foot and bone infection will cause a positive bone scan, but only an infection will show significantly increased activity on the indium scan.

Treatment

The comprehensive goal of treating Charcot foot is to create an ulcer-free, plantigrade (able to rest flat on the floor) foot that allows the patient to walk safely using a commercially available diabetic shoe. To achieve this, treatment aims to ensure that the foot is:

  • Stable — the foot and ankle have the necessary shape and strength to support the patient's weight and allow for walking without leading to new deformities.
  • Plantigrade — the foot can rest flat on the floor as it normally should. To understand this concept, think of the foot as a three-legged stool consisting of the heel, big toe, and little toe. If all three of these points can rest on the ground with the patient standing normally, then the foot is plantigrade.
  • Braceable — even if the foot is not in a perfectly normal position on its own, if it can be made stable and plantigrade by adding shoe inserts and braces, then deformities and ulcers can likely be prevented.
  • Ulcer-free — the ultimate goal in the treatment of Charcot. If you can prevent ulcers, you can prevent infections and likely avoid amputations. Preventing or fixing bony prominences under the skin is the key to preventing ulcers. The treatment goals mentioned above can be thought of as ways to minimize the risk of developing an ulcer in addition to helping the patient walk normally. 

Nonsurgical Treatment

Casting. The early stages of Charcot are usually treated with a cast or special boot to protect the foot and ankle. The goal of casting is to get the bones to heal in a stable position and prevent further deformities from developing. The use of a cast is very effective in reducing the swelling and protecting the bones.

The most common type of cast used for Charcot foot is a "total contact cast." This is similar in many ways to normal casts but covers the entire foot.


Casting requires that the patient not put weight on the foot until the bones begin to heal. Crutches, a knee scooter, or a wheelchair are usually necessary.

Healing can sometimes take 3 months or more.

  • The cast will usually be changed every week or two to make sure that it continues to fit the leg as the swelling goes down and to ensure that ulcers are not developing.
  • After swelling has come down, patients are sometimes transitioned to a specialized heavy-duty boot that similarly covers the whole foot but is removeable. The benefits of getting out of the cast and into the boot is that it allows for walking and can be taken off to allow for examination and cleaning of the foot.
  • Eventually, the goal is to return to wearing normal shoes.

Custom shoes, braces, and orthotics. Some diabetics may not be able to wear regular, over-the-counter shoes because they do not fit the deformed foot correctly. You may need specialized over-the-counter diabetic shoes or even need to order custom shoes to fit the foot. You may also need custom shoe inserts or braces to help support the foot and ankle, thus preventing injuries and deformities. 

Surgical Treatment

When the above goals of Charcot treatment cannot be achieved by casting and custom footwear alone, surgery may be the best option.

  • Surgery may be recommended if the deformities prevent normal walking or put you at a high risk for ulcers.
  • Unstable fractures and dislocations also require surgery to heal.

The following are just some of the surgical options for the various problems that Charcot may present. These operations are often performed in combination to meet a patient's specific needs.

  • Debridement of ulcers. Ulcers may require surgical help to get them to heal. Debridement simply means cleaning the ulcer and removing any dead skin that is unlikely to heal. Casting may be used after debridement to keep pressure off of the ulcer as it heals.
  • Lengthening the calf muscle or Achilles tendon. Though not caused directly by an injury, the calf muscle or Achilles tendon may be tight. This tightness can create pressure points on the sole, specifically toward the front, or ball, of the foot, that may lead to ulcers. Lengthening the calf muscle or Achilles can help relieve this pressure.
  • Removal of bony prominences (exostectomy). Deformities can lead to prominent bones under the skin, and the pressure on the skin caused by those bones can lead to ulcers. The simplest way to prevent a bony prominence from causing an ulcer is to remove that piece of bone. Prominences on the bottom and inside parts of the foot are at especially high risk of causing ulcers.
  • Charcot deformity correction. When fractures and dislocations are unstable and/or the bones are significantly out of place, plates, screws, and/or rods may be required to correct the deformities and get the bones to heal in an appropriate position. Due to poor bone quality, fractures that occur in diabetics are typically more complex. Therefore, operations to fix them generally require more hardware (plates and screws) than would be needed in patients without diabetes. Bone graft material may also be used to help bones heal if any of these operations are performed.
    • An arthrodesis (joint fusion) is a type of surgery in which dislocated bones are made to heal into one solid piece of bone. Joint fusions are powerful operations for correcting deformity and improving stability and are therefore a mainstay of Charcot treatment.
    • For acute fractures without major joint dislocations, simply repairing the broken bones (open reduction and internal fixation) may be sufficient.
    • For significant deformities, particularly of the heel or ankle, a large rod may need to be inserted in the ankle to maintain stability.
x-ray of surgery for charcot of hindfoot

(Top) In this X-ray taken from the side, the patient has unstable Charcot of the back of the foot (hindfoot). The dislocation of the joints is seen where the two bones in the back of the foot do not line up (arrowhead). (Bottom) A complex realignment and fusion was performed to prevent the patient from developing a prominence and ulceration.

  • Amputation. In severe cases of Charcot arthropathy, such as those complicated by severe deformity, deep bone infection, or loss of blood supply to the foot, it may not be possible to save part or all of the foot. In these situations, the doctor may recommend amputation above the level of the disease, followed by fitting of a prosthetic device to help the patient remain mobile.

Surgical Outcomes

Because of the underlying diabetes and the significant deformities that are often present, surgery in a Charcot foot carries a higher risk of wound complications, infections, and amputation compared to routine foot and ankle fracture surgery. The best ways to reduce risks are to:

  • Keep blood sugar under control (complication rates are directly related to the patient's hemoglobin A1C level).
  • Not put weight on the foot after surgery until the doctor says it is OK to do so.

The risks and benefits of surgery should be carefully weighed in each case. Because of the wide range of problems and deformities being treated, specific success or complication rates vary.


Although the risk of a complication from surgery is high, the risk of poor outcomes from untreated Charcot foot is often even higher. For instance, Charcot patients with an ulcer have a 50% chance of ending up with an amputation, so if surgery is necessary to correct deformities and prevent ulcers, it is often worth the risk.


If surgery is done before the development of an ulcer, success rates are actually quite good (typically greater than 80%). The presence of an ulcer, however, makes surgery significantly more challenging, mostly because of the increased risk of infection.

After surgery, there is typically a period of no weightbearing on the foot for at least 3 months. Placing weight on the foot early and failing to follow the doctor's instructions will likely lead to complications, such as:

  • Difficulty healing the incisions
  • New injuries
  • Return or even worsening of the deformity
infection leading to amputation

This patient developed an infection of the bone 9 months after an ankle joint fusion to reconstruct a Charcot deformity. After attempts to cure the infection were unsuccessful, it was necessary to amputate his foot and ankle. He returned to walking pain-free with a prosthesis.

Conclusion

The best treatment for diabetic foot problems is prevention. Keys to prevention include:

  • Strict control of blood glucose
  • Daily foot checks to ensure that wounds and ulcers are not developing

Strong, supportive, full-coverage footwear is also essential to prevent wounds and injuries.


Get more tips on foot care for people with diabetes: Care of the Diabetic Foot

If you notice any changes in the appearance of the foot (swelling, redness, warmth, or a wound), see your doctor as soon as possible. The sooner Charcot arthropathy is diagnosed and treated, the better the final outcome.


Once diagnosed with Charcot, the keys to treatment are getting bones to heal in a stable position that minimizes the risk of developing ulcers. Sometimes this can be achieved without surgery, but often surgery is the best way to prevent major deformities and ulcers. It is vitally important to do everything possible to prevent ulcers, as they increase a Charcot patient's amputation risk by 40%.

To ensure the best outcome from treatment:

  • It is essential that the patient follows the doctor's instructions regarding when it is safe to put weight on the injured foot.
  • Patients must commit to a lifetime of carefully inspecting their feet every day and controlling their blood sugar levels.

Both of these habits are important in recognizing Charcot foot early and avoiding long-term complications.

Last Reviewed

May 2022

Contributed and/or Updated by

Carson James Smith, MDTaylor Beahrs, MDBrian M. Weatherford, MD

Peer-Reviewed by

Thomas Ward Throckmorton, MD, FAAOSStuart J. Fischer, MD

AAOS does not endorse any treatments, procedures, products, or physicians referenced herein. This information is provided as an educational service and is not intended to serve as medical advice. Anyone seeking specific orthopaedic advice or assistance should consult his or her orthopaedic surgeon, or locate one in your area through the AAOS Find an Orthopaedist program on this website.