Our knowledge of orthopaedics. Your best health.

from the American Academy of Orthopaedic Surgeons

Diseases & Conditions

Treatment

Recovery

Staying Healthy

Bunions

A bunion is a painful bony bump that develops on the inside of the foot at the big toe joint. Bunions are related to hallux valgus, a progressive condition where the big toe drifts toward the smaller toes and the outside of the foot over time.

Pain from bunions develops over the bony bump due to shoe irritation. It develops in the other toes due to crowding and changes in the mechanical forces in the ball of the foot.

Bunions usually develop slowly.

  • Pressure on the big toe joint causes the big toe to lean toward the second toe.
  • Over time, the normal position of the bone, tendons, and ligaments changes, resulting in the bunion deformity.
  • Often, this deformity continues to get worse and may make it painful to wear shoes or walk.

Bunions are more common in women than men, and they develop more often in adulthood than childhood.

In most cases, bunion pain is relieved by wearing wider shoes with enough toe room and by using other simple treatments to reduce pressure on the big toe. If pain continues despite nonsurgical treatment, surgery is performed to correct the bunion and hallux valgus deformity.

Photo of bunions on both feet

Bunions sometimes develop in both feet.

Anatomy of the Foot

The big toe is made up of two joints. The largest of the two is the metatarsophalangeal joint (MTP), where the first long bone of the foot (metatarsal) meets the first bone of the toe (phalanx). Bunions develop at the MTP joint.

Normal foot anatomy

The bones of the foot and the metatarsophalangeal (MTP) joint.

Description

A bunion forms when the bones that make up the MTP joint move out of alignment:

  • The long metatarsal bone shifts toward the inside of the foot
  • The phalanx bones of the big toe angle toward the second toe.
  • The MTP joint gets larger and sticks out from the inside of the forefoot.
Inflammation of the MTP joint

The MTP joint becomes enlarged and inflamed.

The enlarged joint is often inflamed due to both abnormal mechanics and direct irritation. The word "bunion" comes from the Greek word for turnip, and the bump on the inside of the foot typically looks red and swollen like a turnip.

Bunion Progression

Bunions start out small, but they often get worse over time. Because the MTP joint flexes with every step, the bigger the bunion gets, the more painful and difficult walking can become.

An advanced bunion changes how your foot looks.

  • In severe bunions, the big toe may angle all the way under or over the second toe.
  • Pressure from the big toe may force the second toe out of alignment, causing it to come in contact with the third toe. This can result in hammer toe deformities of the smaller toes.
  • Calluses may also develop where the toes rub against each other, causing more discomfort and trouble walking.
Large bunion

Bunions often worsen over time. As the big toe angles toward the second toe, it can cross over it and cause additional problems.

Foot Problems Related to Bunions

In some cases, an enlarged MTP joint may lead to bursitis, a painful condition in which the fluid-filled sac (bursa) that cushions the bone near the joint becomes inflamed. It may also lead to chronic pain and arthritis if the smooth articular cartilage that covers the joint becomes damaged from the joint not gliding smoothly.

Adolescent Bunion

In addition to the common bunion, there are other types of bunions. As the name implies, bunions that occur in young people are called adolescent bunions. These bunions are most common in girls between the ages of 10 and 15.

While a bunion on an adult often limits motion in the MTP joint, a young person with a bunion can normally move the big toe up and down. An adolescent bunion may still be painful, however, and make it difficult to wear shoes.

Bunionette

A bunionette, or "tailor's bunion," occurs on the outside of the foot near the base of the little toe. Although it is in a different spot on the foot, a bunionette is very much like a bunion. You may develop painful bursitis and a hard corn or callus over the bump.

Bunionette

A bunion that forms in the main joint of the little toe is called a bunionette.

Causes of Bunions

Bunions may be caused by:

  • Wearing poorly fitting shoes — in particular, shoes with a narrow, pointed toe box that forces the toes into an unnatural position. Learn more: Tight Shoes and Foot Problems
  • Heredity — some people inherit feet that are more likely to develop bunions due to their shape and structure. In fact, up to 70% of people who develop bunions have a family history. This suggests that genetics play a large role in whether you develop bunions. This is especially true for adolescent bunions, which develop early in life.
  • Having an inflammatory condition, such as rheumatoid arthritis, or a neuromuscular condition, such as Charcot-Marie-Tooth disease or polio.

Symptoms of Bunions

In addition to the visible bump on the inside of the foot, symptoms of a bunion may include:

  • Pain and tenderness
  • Redness and inflammation
  • Hardened skin on the bottom of the foot
  • A callus or corn on the bump
  • Stiffness and limited motion in the big toe, which may lead to trouble walking

Diagnosing a Bunion

Physical Examination

Your doctor will ask you about your medical history, general health, and symptoms. They will also perform a careful examination of your foot. Although your doctor will probably be able to diagnose your bunion based on your symptoms and the appearance of your toe, they will also order an X-ray.

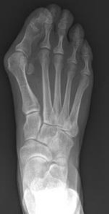
X-Rays

X-rays provide images of bone. An X-ray will allow your doctor to:

  • Check the alignment of your toes and look for damage to the MTP joint. The alignment of your foot bones changes when you stand or sit. Your doctor will take an X-ray while you are standing to more clearly see the incorrect alignment of the bones in your foot. 
  • Determine whether there is arthritis associated with the bunion.
  • Determine how severe the bunion is, and how best to correct it.
X-ray of bunion
X-rays of your foot will show your doctor how far out of alignment the bones have become.
Reproduced from Wagner E, Ortiz C: Proximal Oblique Sliding Closing-wedge Osteotomy for Wide-angle Hallux Valgus. Orthopaedic Knowledge Online Journal: Vol 12, No 4, 4/1/2014; Accessed December 4, 2015.

Nonsurgical Treatment for Bunions

In most cases, bunions can be treated without surgery. Bunions that are not painful can be observed without any treatment at all. Although nonsurgical treatment cannot actually reverse a bunion, it can help reduce pain and keep the bunion from getting worse.

Changes in Footwear

You can often manage pain from a bunion by switching to shoes that fit properly, with a wide or open toe box that does not squeeze your toes. With some shoes, you can use a stretcher to stretch out the areas that put pressure on your toes.

Your doctor can give you information about proper shoe fit and the type of shoes that would be best for you. (See "Tips for Proper Shoe Fit" below)

Padding

Protective silicone pads, worn inside of your shoe, can help cushion the painful area over the bunion. You can buy these pads at a drugstore or pharmacy or find them online.

Be sure to test the pads for a short time period first. The size of the pad may increase the pressure on the bump, and this could worsen your pain rather than reduce it.

Orthotics and Other Devices

To take pressure off your bunion, your doctor may recommend:

  • Over-the-counter or custom-made shoe inserts (orthotics).
  • Toe spacers, which are placed between your toes.
  • In some cases, a splint worn at night that places your big toe in a straighter position, which may help relieve pain. Braces or splints have not, however, been shown to permanently fix bunions.

Medications

Nonsteroidal anti-inflammatory drugs (NSAIDs) such as ibuprofen and naproxen can help relieve pain and reduce swelling. Other medications can be prescribed to help pain and swelling in patients whose bunions are caused by arthritis.

Tips for Proper Shoe Fit

If you have bunions, it is important that your shoes fit correctly. In general:

  • Choose shoes with wide insteps, broad toe boxes, soft soles, and plenty of stability.
  • Avoid shoes that are too short, tight, or sharply pointed, and shoes with heels higher than a couple of inches. Higher-heeled shoes put more pressure on the forefoot and increase the chance of foot problems or injury.
  • If you have pain with motion on the MTP joint, a shoe with a slight rocker bottom will be helpful.

The following tips will help you choose a shoe that fits correctly:

  • Do not select shoes by the size marked inside the shoe. Sizes vary among shoe brands and styles. Judge the shoe by how it fits on your foot.
  • Select a shoe that matches the shape of your foot as closely as possible.
  • Have your feet measured regularly. The size of your feet changes as you grow older.
  • Have both feet measured. In most people, one foot is larger than the other. Fit shoes to the largest foot.
  • Try on shoes at the end of the day when your feet are the largest.
  • Stand during the fitting process and check that there is enough space (3/8- to 1/2-inch) for your longest toe at the end of the shoe.
  • Make sure the ball of your foot fits well into the widest part (ball pocket) of the shoe.
  • Do not buy shoes that feel too tight, expecting them to eventually stretch to fit properly.
  • Your heel should fit comfortably in the shoe with a minimum amount of slippage.
  • Walk in the shoe before you buy it to make sure it fits and feels right. If possible, walk on different surfaces to make sure the shoe is as comfortable on a hard surface as it is on carpet.
Improper and proper toe box

(Left) Avoid narrow, pointed shoes that squeeze the toes. (Right) Instead, look for shoes with a roomy toe box.

When To Consider Bunion Surgery

Your doctor may recommend surgery for a bunion or bunionette if, after a period of time, you have pain and trouble walking after you have tried changing footwear and other nonsurgical treatments.

The goal of bunion surgery is to relieve pain by realigning the bone, ligaments, tendons, and nerves so that the big toe can be brought back to its correct position. You should only consider surgery for a bunion that is painful.

There are many surgical options to correct adult bunions. There are two main approaches for surgical correction of bunions:

  • Open bunion surgery is the traditional method. The surgeon makes an incision over the bunion and removes the enlarged bony bump. The surgeon then repositions the bones using a procedure called an osteotomy. Screws or small plates are often used to hold the bones in their corrected position while they heal.
  • Minimally invasive surgical (MIS) techniques have been growing in popularity among surgeons for bunions. In a minimally invasive procedure, the surgeon uses smaller incisions and specialized instruments. As with an open procedure, the surgeon usually removes the bony bump and performs an osteotomy to realign the bones. The big toe is then fixed with one or two screws to secure the repair during recovery. Depending on the technique, different types of fixation may be used.

Minimally invasive approaches may result in less early swelling and faster early recovery, though long-term outcomes are similar to traditional open techniques. MIS is not suitable for all bunions. Your surgeon will recommend the best approach and type of bunion surgery that is right for you based on your X-rays and physical exam finings.

Bunion surgery is typically performed as a same-day procedure with no hospital stay, but a long recovery is common after bunion surgery. 

Surgery to remove an adolescent bunion is not recommended unless the bunion causes extreme pain that does not improve with a change in footwear or use of orthotics. 

If an adolescent has bunion surgery, especially before reaching skeletal maturity, there is a strong chance the bunion will return. Therefore, surgery is usually delayed until growth is nearly complete to reduce the risk of the bunion coming back.

Learn more about surgery for bunions: Bunion Surgery

Contributed and/or Updated by

Amiel Clarke, BSArianna Gianakos, DO

Peer-Reviewed by

Mary K. Mulcahey, MD, FAAOS

AAOS does not endorse any treatments, procedures, products, or physicians referenced herein. This information is provided as an educational service and is not intended to serve as medical advice. Anyone seeking specific orthopaedic advice or assistance should consult his or her orthopaedic surgeon, or locate one in your area through the AAOS Find an Orthopaedist program on this website.